General description
Serine/threonine-protein phosphatase 2A catalytic subunit alpha isoform (UniProt: P67775; also known as EC:3.1.3.16, PP2A-alpha, Replication protein C, RP-C) is encoded by the PPP2CA gene (Gene ID: 5515) in human. Protein phosphatase 2A (PP2A) is a ubiquitously expressed enzyme that contributes 0.3 to 1% of the total cellular protein in the mammalian cell and regulates various functions by dephosphorylating many critical molecules, such as Akt, p53, c-Myc, CK2, S6 kinase, and -catenin. It is the major phosphatase for microtubule-associated proteins (MAPs). PP2A acts as a pivotal cellular switch controlling important events in cell, such as cell cycle, apoptosis, and autophagy. It suppresses mitogenic signals and is suggested as a tumor suppressor. PP2A is made up of a functional heterotrimeric complex, which includes a structural subunit (PP2AA), a regulatory subunit (PP2AB), and a catalytic subunit (PP2AC). The regulatory subunit determines its substrate specificity. Over 20 different interchangeable regulatory subunits have been described that allows it to act on a large number of substrates. PP2AC has multiple metal ion binding sites and binds two manganese ions per subunit. Two isoforms of PP2AC (alpha and beta) have been described that display high degree of homology. PP2AC alpha also has two isoforms (PP2AC alpha 1 and alpha 2). The PP2AC alpha 2 isoform is shown to be catalytically inactive because it lacks amino acids 193-246. Aberrant expression and mutations in the PP2AA and PP2AB subunits are reported in various human malignancies. This ZooMAb® recombinant monoclonal antibody, generated by our propriety technology, offers significantly enhanced specificity, affinity, reproducibility, and stability over conventional monoclonals.
We are committed to bringing you greener alternative products, which adhere to one or more of The 12 Principles of Green Chemistry.This antibody is Preservative-free, produced without the harm or sacrifice of animals and exceptionally stable to allow for ambient shipping and storage if needed and thus aligns with "Waste Prevention", "Designing Safer Chemicals" and "Design for Energy Efficiency".
Click here for more information.
ZooMAb
® antibodies represent an entirely new generation of recombinant monoclonal antibodies.
Each ZooMAb
® antibody is manufactured using our proprietary recombinant expression system, purified to homogeneity, and precisely dispensed to produce robust and highly reproducible lot-to-lot consistency. Only top-performing clones are released for use by researchers. Each antibody is validated for high specificity and affinity across multiple applications, including its most commonly used application. ZooMAb
® antibodies are reliably available and ready to ship when you need them.
Learn more about ZooMAb here.Immunogen
KLH-conjugated linear peptide corresponding to 15 amino acids from the C-terminal region of human Serine/threonine-protein phosphatase 2A catalytic subunit alpha isoform (PP2A C-subunit).
Application
Quality Control Testing
Evaluated by Western Blotting in Human brain tissue lysate.
Western Blotting Analysis: A 1:1,000 dilution of this antibody detected PP2A, C subunit in Human brain tissue lysate.
Tested applications
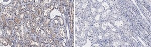
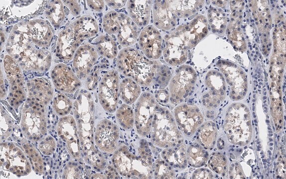
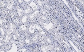
Immunohistochemistry (Paraffin) Analysis: A 1:100 dilution from a representative lot detected PP2A, C subunit in human kidney tissue sections.
Immunocytochemistry Analysis: A 1:100 dilution from a representative lot detected PP2A, C subunit in A431, HepG2, and NIH 3T3 cells.
Note: Actual optimal working dilutions must be determined by end user as specimens, and experimental conditions may vary with the end user
Anti-PP2A C subunit, clone 2B15 ZooMAb®, Cat. No. ZRB1154, is a recombinant Rabbit monoclonal antibody that specifically detects PP2A C subunit and is tested for use in used in Immunocytochemistry, Immunohistochemistry (Paraffin), and Western Blotting.
Biochem/physiol Actions
Clone 2B15 is a ZooMAb® rabbit recombinant monoclonal antibody that specifically detects Serine/threonine-protein phosphatase 2A catalytic subunit alpha isoform (PP2A C-subunit). It targets an epitope within 15 amino acids from the C-terminal region.
Physical form
Purified recombinant rabbit monoclonal antibody IgG, lyophilized in PBS with 5% Trehalose, normal appearance a coarse or translucent resin. The PBS/trehalose components in the ZooMAb formulation can have the appearance of a semi-solid (bead like gel) after lyophilization. This is a normal phenomenon. Please follow the recommended reconstitution procedure in the data sheet to dissolve the semi-solid, bead-like, gel-appearing material. The resulting antibody solution is completely stable and functional as proven by full functional testing. Contains no biocide or preservatives, such as azide, or any animal by-products. Larger pack sizes provided as multiples of 25 μL.
Preparation Note
Recommend storage of lyophilized product at 2-8°C; Before reconstitution, micro-centrifuge vials briefly to spin down material to bottom of the vial; Reconstitute each vial by adding 25 μL of filtered lab grade water or PBS; Reconstituted antibodies can be stored at 2-8°C, or -20°C for long term storage. Avoid repeated freeze-thaws.
Reconstitute lyophilized antibody pellet with 25μL of ultrapure water or Phosphate Buffered Saline (PBS). Please refer to our
reconstitution protocol and the specific application guidance on the suggested starting dilutions and sample type.
Legal Information
ZooMAb is a registered trademark of Merck KGaA, Darmstadt, Germany
Disclaimer
Unless otherwise stated in our catalog or other company documentation accompanying the product(s), our products are intended for research use only and are not to be used for any other purpose, which includes but is not limited to, unauthorized commercial uses, in vitro diagnostic uses, ex vivo or in vivo therapeutic uses or any type of consumption or application to humans or animals.