Skip to Content
Merck
CN

ZRB1215

Anti-EpCAM Antibody, clone 1B8 , ZooMAb® Rabbit Monoclonal

greener alternative

recombinant, expressed in HEK 293 cells

Synonym(s):

Adenocarcinoma-associated antigen, CD326, Cell surface glycoprotein Trop-1, EGP, EGP314, Epithelial cell adhesion molecule, Epithelial cell surface antigen, Epithelial glycoprotein, Epithelial glycoprotein 314, KS 1/4 antigen, KSA, Major gastrointestinal tumor-associated protein GA733-2, Tumor-associated calcium signal transducer 1, hEGP314

Sign In to View Organizational & Contract Pricing.

Select a Size

Change View

About This Item

NACRES:
NA.43
UNSPSC Code:
12352203
Conjugate:
unconjugated
Clone:
1B8, recombinant monoclonal
Application:
FACS, IF, IHC (p), WB
Citations:
-
Technical Service
Need help? Our team of experienced scientists is here for you.
Let Us Assist


biological source

rabbit (recombinant)

Quality Level

recombinant

expressed in HEK 293 cells

conjugate

unconjugated

antibody form

purified antibody

antibody product type

primary antibodies

clone

1B8, recombinant monoclonal

product line

ZooMAb® learn more

form

lyophilized

mol wt

calculated mol wt 34.93 kDa, observed mol wt ~38 kDa

species reactivity

human

packaging

antibody small pack of 25 μL

greener alternative product characteristics

Waste Prevention
Designing Safer Chemicals
Design for Energy Efficiency
Learn more about the Principles of Green Chemistry.

enhanced validation

recombinant expression
Learn more about Antibody Enhanced Validation

sustainability

Greener Alternative Product

technique(s)

flow cytometry: suitable, immunofluorescence: suitable, immunohistochemistry (formalin-fixed, paraffin-embedded sections): suitable, western blot: suitable

isotype

IgG

UniProt accession no.

greener alternative category

shipped in

ambient

storage temp.

2-8°C

target post-translational modification

unmodified

Gene Information

human ... EPCAM(4072)

General description

Epithelial cell adhesion molecule (UniProt: P16422; also known as Ep-CAM, Adenocarcinoma-associated antigen, Cell surface glycoprotein Trop-1, Epithelial cell surface antigen, Epithelial glycoprotein, EGP, Epithelial glycoprotein 314, EGP314, hEGP314, KS 1/4 antigen, KSA, Major gastrointestinal tumor-associated protein GA733-2, Tumor-associated calcium signal transducer 1, CD326) is encoded by the EPCAM (also known as GA733-2, M1S2, M4S1, MIC18, TACSTD1, TROP1) gene (Gene ID: 4072) in human. Ep-CAM is single-pass type I membrane monomeric protein that may act as a physical homophilic interaction molecule between intestinal epithelial cells and intraepithelial lymphocytes at the mucosal epithelium for providing immunological barrier as a first line of defense against mucosal infection. It plays a role in embryonic stem cells proliferation and differentiation. It is selectively expressed by undifferentiated cells and its levels decline rapidly upon embryonic stem cell differentiation. Its expression is observed in almost all epithelial cell membranes, but not on mesodermal or neural cell membranes. It is also reported to be expressed on the surface of adenocarcinoma. On carcinoma tissue it is found in a hyperglycosylated state. Glycosylation at asparagine 198 is shown to be essential for its stability. EpCAM is synthesized with a signal peptide (aa 1-23), which is subsequently cleaved off to generate the mature form that contains an extracellular domain (aa 24-265), a short transmembrane domain (aa 266-288), and the cytoplasmic domain (aa 289-314). Mutations in EPCAM gene have been linked to Hereditary non-polyposis colorectal cancer 8 that is characterized by a familial predisposition to early-onset colorectal carcinoma and extra-colonic tumors of the gastrointestinal, urological and female reproductive tracts. This ZooMAb recombinant monoclonal antibody, generated by our propriety technology, offers significantly enhanced specificity, affinity, reproducibility, and stability over conventional monoclonals.
We are committed to bringing you greener alternative products, which adhere to one or more of The 12 Principles of Green Chemistry.This antibody is Preservative-free, produced without the harm or sacrifice of animals and exceptionally stable to allow for ambient shipping and storage if needed and thus aligns with "Waste Prevention", "Designing Safer Chemicals" and "Design for Energy Efficiency". Click here for more information.
ZooMAb antibodies represent an entirely new generation of recombinant monoclonal antibodies.

Each ZooMAb antibody is manufactured using our proprietary recombinant expression system, purified to homogeneity, and precisely dispensed to produce robust and highly reproducible lot-to-lot consistency. Only top-performing clones are released for use by researchers. Each antibody is validated for high specificity and affinity across multiple applications, including its most commonly used application. ZooMAb antibodies are reliably available and ready to ship when you need them.

Learn more about ZooMAb here.

Immunogen

GST/His-tagged recombinant fragment corresponding to 140 amino acids from the extracellular domain of human Epithelial cell adhesion molecule (EpCAM).

Application

Anti-EpCAM, clone 1B8 ZooMAb, Cat. No. ZRB1215, is a highly specific rabbit recombinant monoclonal antibody that targets Epithelial cell adhesion molecule (EpCAM) and has been tested for use in Immunofluorescence, Immunohistochemistry (Paraffin), and Western Blotting.
Western Blotting Analysis: A 1:100-1,000 dilution from a representative lot detected EpCAM in HT-29 and MCF7 cell lysates.

Immunofluorescence Analysis: A 1:100 dilution from a representative lot detected EpCAM in human small intestine tissue sections.

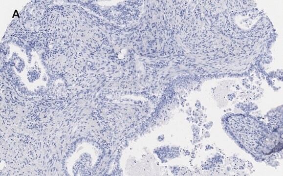
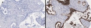
Immunohistochemistry (Paraffin) Analysis: A 1:10 dilution from a representative lot detected EpCAM in human colon cancer and human cervical cancer tissue sections.

Flow Cytometry Analysis: 1 µg of a representative lot of this antibody detected EpCAM in one million fixed and permeabilized HT29 cells.

Note: Actual optimal working dilutions must be determined by end user as specimens and experimental conditions may vary.

Biochem/physiol Actions

Clone 1B8 is a ZooMAb rabbit recombinant monoclonal antibody that specifically detects human Epithelial cell adhesion molecule (EpCAM). It targets an epitope within the extracellular domain.

Physical form

Purified recombinant rabbit monoclonal antibody IgG, lyophilized in PBS with 5% Trehalose, normal appearance a coarse or translucent resin. Contains no biocide or preservatives, such as azide, or any animal by-products. Larger pack sizes provided as multiples of 25 μL.

Preparation Note

Recommend storage of lyophilized product at 2-8°C; Before reconstitution, micro-centrifuge vials briefly to spin down material to bottom of the vial; Reconstitute each vial by adding 25 μL of filtered lab grade water or PBS; Reconstituted antibodies can be stored at 2-8°C, or -20°C for long term storage. Avoid repeated freeze-thaws.
Reconstitute lyophilized antibody pellet with 25μL of ultrapure water or Phosphate Buffered Saline (PBS). Please refer to our reconstitution protocol and the specific application guidance on the suggested starting dilutions and sample type.

Legal Information

ZooMAb is a registered trademark of Merck KGaA, Darmstadt, Germany

Disclaimer

Unless otherwise stated in our catalog or other company documentation accompanying the product(s), our products are intended for research use only and are not to be used for any other purpose, which includes but is not limited to, unauthorized commercial uses, in vitro diagnostic uses, ex vivo or in vivo therapeutic uses or any type of consumption or application to humans or animals.


Still not finding the right product?

Try our Product Selector Tool to narrow your options


Storage Class

11 - Combustible Solids

wgk

WGK 1

flash_point_f

Not applicable

flash_point_c

Not applicable

Regulatory Information

常规特殊物品

This item has



Choose from one of the most recent versions:

Certificates of Analysis (COA)

Lot/Batch Number

Don't see the Right Version?

If you require a particular version, you can look up a specific certificate by the Lot or Batch number.

Already Own This Product?

Find documentation for the products that you have recently purchased in the Document Library.

Visit the Document Library



Global Trade Item Number

SKUGTIN
ZRB1215-4X25UL04061841039976
ZRB1215-25UL04061841039969