Skip to Content
Merck
CN

ZRB1308

Anti-Myosin Heavy Chain 7 Antibody, clone 1B19, ZooMAb® Rabbit Monoclonal

greener alternative

recombinant, expressed in HEK 293 cells

Synonym(s):

MyHC-beta, MyHC-slow, Myosin heavy chain cardiac muscle beta isoform, Myosin heavy chain slow isoform, Myosin-7

Sign In to View Organizational & Contract Pricing.

Select a Size

Change View

About This Item

NACRES:
NA.43
UNSPSC Code:
12352203
Conjugate:
unconjugated
Clone:
1B19, monoclonal, recombinant monoclonal
Application:
ELISA, IHC (p), WB, affinity binding assay
Citations:
-
Technical Service
Need help? Our team of experienced scientists is here for you.
Let Us Assist


biological source

rabbit (recombinant)

Quality Level

recombinant

expressed in HEK 293 cells

conjugate

unconjugated

antibody form

purified antibody

antibody product type

primary antibodies

clone

1B19, monoclonal, recombinant monoclonal

product line

ZooMAb® learn more

form

lyophilized

mol wt

calculated mol wt 223.10 kDa

species reactivity

rat, mouse, human

packaging

antibody small pack of 25 μL

greener alternative product characteristics

Waste Prevention
Designing Safer Chemicals
Design for Energy Efficiency
Learn more about the Principles of Green Chemistry.

enhanced validation

recombinant expression
Learn more about Antibody Enhanced Validation

sustainability

Greener Alternative Product

technique(s)

ELISA: suitable, affinity binding assay: suitable, immunohistochemistry (formalin-fixed, paraffin-embedded sections): suitable, western blot: suitable

isotype

IgG

UniProt accession no.

greener alternative category

shipped in

ambient

storage temp.

2-8°C

target post-translational modification

unmodified

Gene Information

human ... MYH7(4625)
mouse ... Myh7(140781)
rat ... Myh7(29557)

General description

Myosin-7 (UniProt: P12883; also known as Myosin heavy chain 7, Myosin heavy chain slow isoform, MyHC-slow, Myosin heavy chain cardiac muscle beta isoform, MyHC-beta) is encoded by the MYH7 (also known as MYHCB) gene (Gene ID: 4625) in human. Myosins are actin-based motor molecules with ATPase activity essential for muscle contraction. Myosins form regular bipolar thick filaments that, together with actin thin filaments, constitute the fundamental contractile unit of skeletal and cardiac muscle. Muscle myosin is a hexameric protein that consists of 2 heavy chain subunits (MHC), 2 alkali light chain subunits (MLC) and 2 regulatory light chain subunits (MLC-2). Fast and slow mammalian muscle myosins differ in their heavy chain sequences. Muscles expressing the two isoforms contract at markedly different velocities. Myosin-7 is a component of thick filaments of the myofibrils. It contains actin- and ATP-binding sites in its conserved catalytic head domain. Mutations in MYH7 gene are known to cause familial hypertrophic cardiomyopathy that is characterized by ventricular hypertrophy leading to dyspnea, syncope, collapse, palpitations, and chest pain. This ZooMAb recombinant monoclonal antibody, generated by our propriety technology, offers significantly enhanced specificity, affinity, reproducibility, and stability over conventional monoclonals. (Ref.: Iorga, B., et al. (2007). J. Biol. Chem. 282(6); 3559-3670).
We are committed to bringing you greener alternative products, which adhere to one or more of The 12 Principles of Green Chemistry.This antibody is Preservative-free, produced without the harm or sacrifice of animals and exceptionally stable to allow for ambient shipping and storage if needed and thus aligns with "Waste Prevention", "Designing Safer Chemicals" and "Design for Energy Efficiency". Click here for more information.
ZooMAb antibodies represent an entirely new generation of recombinant monoclonal antibodies.

Each ZooMAb antibody is manufactured using our proprietary recombinant expression system, purified to homogeneity, and precisely dispensed to produce robust and highly reproducible lot-to-lot consistency. Only top-performing clones are released for use by researchers. Each antibody is validated for high specificity and affinity across multiple applications, including its most commonly used application. ZooMAb antibodies are reliably available and ready to ship when you need them.

Learn more about ZooMAb here.

Immunogen

KLH-conjugated linear peptide corresponding to 13 amino acids from the N-terminal region of human Myosin heavy chain 7.

Application

Anti-Myosin Heavy Chain 7, clone 1B19 ZooMAb, Cat. No. ZRB1308, is a recombinant rabbit monoclonal antibody that specifically detects Myosin Heavy Chain 7 and has been tested for use in Affinity Binding Assay ELISA, Immunohistochemistry (Paraffin), and Western Blotting.
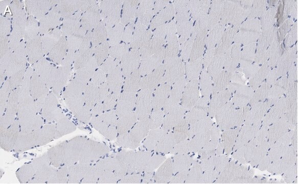
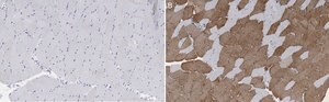
ELISA Analysis: 0.5 μg/mL from a representative lot of Anti-Myosin Heavy Chain 7, clone 1B19 ZooMAb Rabbit Monoclonal detected Myosin Heavy Chain 7, but not any other peptide from 6 other proteins.Immunohistochemistry (Paraffin) Analysis: A 1:100-1,000 dilution from a representative lot detected Myosin Heavy Chain 7 in human skeletal muscle and mouse skeletal muscle tissue sections.Affinity Binding Assay: A representative lot of this antibody bound Myosin Heavy Chain 7 with a KD value of 2.51 x 10-7 in an affinity binding assay. Note: Actual optimal working dilutions must be determined by end user as specimens, and experimental conditions may vary with the end user.

Biochem/physiol Actions

Clone 1B19 is a ZooMAb rabbit recombinant monoclonal antibody that specifically detects Myosin -7. It targets an epitope within 13 amino acids from the N-terminal region.

Physical form

Purified recombinant rabbit monoclonal antibody IgG, lyophilized in PBS with 5% Trehalose, normal appearance a coarse or translucent resin. Contains no biocide or preservatives, such as azide, or any animal by-products. Larger pack sizes provided as multiples of 25 μL.

Preparation Note

Recommend storage of lyophilized product at 2-8°C; Before reconstitution, micro-centrifuge vials briefly to spin down material to bottom of the vial; Reconstitute each vial by adding 25 μL of filtered lab grade water or PBS; Reconstituted antibodies can be stored at 2-8°C, or -20°C for long term storage. Avoid repeated freeze-thaws.
Reconstitute lyophilized antibody pellet with 25μL of ultrapure water or Phosphate Buffered Saline (PBS). Please refer to our reconstitution protocol and the specific application guidance on the suggested starting dilutions and sample type.

Legal Information

ZooMAb is a registered trademark of Merck KGaA, Darmstadt, Germany

Disclaimer

Unless otherwise stated in our catalog or other company documentation accompanying the product(s), our products are intended for research use only and are not to be used for any other purpose, which includes but is not limited to, unauthorized commercial uses, in vitro diagnostic uses, ex vivo or in vivo therapeutic uses or any type of consumption or application to humans or animals.


Still not finding the right product?

Try our Product Selector Tool to narrow your options


Storage Class

11 - Combustible Solids

wgk

WGK 2

flash_point_f

Not applicable

flash_point_c

Not applicable

Regulatory Information

常规特殊物品
常规特殊物品

This item has



Choose from one of the most recent versions:

Certificates of Analysis (COA)

Lot/Batch Number

Don't see the Right Version?

If you require a particular version, you can look up a specific certificate by the Lot or Batch number.

Already Own This Product?

Find documentation for the products that you have recently purchased in the Document Library.

Visit the Document Library



Global Trade Item Number

SKUGTIN
ZRB1308-25UL04061841221265
ZRB1308-4X25UL04061841221272