Skip to Content
Merck
CN

ZRB1357

Anti-CXCR4 Antibody, clone 2L2, ZooMAb® Rabbit Monoclonal

greener alternative

recombinant, expressed in HEK 293 cells

Synonym(s):

C-X-C chemokine receptor type 4, CD184, CXC-R4, FB22, Fusin, HM89, LAP-3, LCR1, LESTR, LPS-associated protein 3, Leukocyte-derived seven transmembrane domain receptor, Lipopolysaccharide-associated protein 3, NPYRL, SDF-1 receptor, Stromal cell-derived factor 1 receptor

Sign In to View Organizational & Contract Pricing.

Select a Size

Change View

About This Item

NACRES:
NA.41
UNSPSC Code:
12352203
Conjugate:
unconjugated
Clone:
2L2, monoclonal, recombinant monoclonal
Application:
ELISA, ICC, IHC (p), affinity binding assay
Citations:
-
Technical Service
Need help? Our team of experienced scientists is here for you.
Let Us Assist


biological source

rabbit (recombinant)

Quality Level

recombinant

expressed in HEK 293 cells

conjugate

unconjugated

antibody form

purified antibody

antibody product type

primary antibodies

clone

2L2, monoclonal, recombinant monoclonal

product line

ZooMAb® learn more

form

lyophilized

mol wt

calculated mol wt ~39.75 kDa

species reactivity

human

packaging

antibody small pack of 25 μL

greener alternative product characteristics

Designing Safer Chemicals
Design for Energy Efficiency
Learn more about the Principles of Green Chemistry.

enhanced validation

recombinant expression
Learn more about Antibody Enhanced Validation

sustainability

Greener Alternative Product

technique(s)

ELISA: suitable, affinity binding assay: suitable, immunocytochemistry: suitable, immunohistochemistry (formalin-fixed, paraffin-embedded sections): suitable

isotype

IgG

UniProt accession no.

greener alternative category

shipped in

ambient

storage temp.

2-8°C

target post-translational modification

unmodified

Gene Information

human ... CXCR4(7852)

General description

C-X-C chemokine receptor type 4 (UniProt: P61073; also known as CXC-R4, CXCR-4, FB22, Fusin, HM89, LCR1, Leukocyte-derived seven transmembrane domain receptor, LESTR, Lipopolysaccharide-associated protein 3, LAP-3, LPS-associated protein 3, NPYRL, Stromal cell-derived factor 1 receptor, SDF-1 receptor, CD184) is encoded by the CXCR4 gene (Gene ID: 7852) in human. CXCR-4 is a receptor for the C-X-C chemokine CXCL12/SDF-1 that transduces a signal by increasing intracellular calcium levels and enhancing MAPK1/MAPK3 activation. CXCR-4 is expressed in numerous tissues and two isoforms have been reported that are generated by alternative splicing. Isoform 1 is the predominant form in all tissues tested. CXCR-4 is rapidly phosphorylated on serine and threonine residues in the C-terminal region upon agonist stimulation. Phosphorylation at serine 324 and serine 325 leads to recruitment of ITCH (E3 ubiquitin-protein ligase), ubiquitination and protein degradation. Sulfation on tyrosine 21 is shown to be essential for efficient binding of CXCL12/SDF-1alpha and it promotes its dimerization. Tyrosine 7 and tyrosine 12 are sulfated in a sequential manner following complete sulfation of tyrosine 21. CXCR-4 acts as a co-receptor for human HIV-1 virus isolates (CD4 being the primary receptor) and as a primary receptor for HIV-2 isolates. CXCR-4 can also bind bacterial lipopolysaccharide (LPS) and mediate LPS-induced inflammatory response, including TNF-alpha secretion by monocytes. CXCR-4 is reported to be essential for metastatic spread to organs where CXCL12 is expressed, which allows tumor cells to access cellular niches that favor tumor-cell survival and growth. Mutations in CXCR4 gene are reported to cause WHIM syndrome that is characterized by neutropenia, hypogammaglobulinemia and extensive human papillomavirus (HPV) infection. This ZooMAb recombinant monoclonal antibody, generated by our propriety technology, offers significantly enhanced specificity, affinity, reproducibility, and stability over conventional monoclonals. (Ref.: Burger, JA., and Kipps, TJ (2006). Blood 107(5);1761-1767).
We are committed to bringing you greener alternative products, which adhere to one or more of The 12 Principles of Green Chemistry.This antibody is Preservative-free, produced without the harm or sacrifice of animals and exceptionally stable to allow for ambient shipping and storage if needed and thus aligns with "Waste Prevention", "Designing Safer Chemicals" and "Design for Energy Efficiency". Click here for more information.
ZooMAb antibodies represent an entirely new generation of recombinant monoclonal antibodies.

Each ZooMAb antibody is manufactured using our proprietary recombinant expression system, purified to homogeneity, and precisely dispensed to produce robust and highly reproducible lot-to-lot consistency. Only top-performing clones are released for use by researchers. Each antibody is validated for high specificity and affinity across multiple applications, including its most commonly used application. ZooMAb antibodies are reliably available and ready to ship when you need them.

Learn more about ZooMAb here.

Immunogen

KLH-conjugated linear peptide corresponding to 12 amino acids from the N-terminal region of human C-X-C chemokine receptor type 4 (CXCR4).

Application

Anti-CXCR4, clone 2L2 ZooMAb, Cat. No. ZRB1357, a recombinant Rabbit monoclonal antibody that targets human CXCR4 and is tested in Affinity Binding Assay, ELISA, Immunocytochemistry, and Immunohistochemistry (Paraffin).
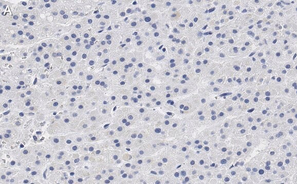
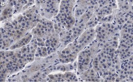
Immunohistochemistry (Paraffin) Analysis: A 1:100 dilution from a representative lot detected CXCR4 in human adrenal gland tissue sections.

ELISA Analysis: A representative lot specifically detected CXCR4 peptide in ELISA application, but not peptides from five other proteins.

Immunocytochemistry Analysis: A 1:100 dilution from a representative lot detected CXCR4 in Jurkat and K562 cell lines.

Affinity Binding Assay: A representative lot of this antibody bound CXCR4 with a KD of 3.6 x 10-10 in an affinity binding assay.

Note: Actual optimal working dilutions must be determined by end user as specimens, and experimental conditions may vary with the end user.

Biochem/physiol Actions

Clone 2L2 is a ZooMAb rabbit recombinant monoclonal antibody that specifically detects human C-X-C chemokine receptor 4 (CXCR4). It targets an epitope within 12 amino acids from the N-terminal region.

Physical form

Purified recombinant rabbit monoclonal antibody IgG, lyophilized in PBS with 5% Trehalose, normal appearance a coarse or translucent resin. Contains no biocide or preservatives, such as azide, or any animal by-products. Larger pack sizes provided as multiples of 25 μL.

Preparation Note

Recommend storage of lyophilized product at 2-8°C; Before reconstitution, micro-centrifuge vials briefly to spin down material to bottom of the vial; Reconstitute each vial by adding 25 μL of filtered lab grade water or PBS; Reconstituted antibodies can be stored at 2-8°C, or -20°C for long term storage. Avoid repeated freeze-thaws.
Reconstitute lyophilized antibody pellet with 25μL of ultrapure water or Phosphate Buffered Saline (PBS). Please refer to our reconstitution protocol and the specific application guidance on the suggested starting dilutions and sample type.

Legal Information

ZooMAb is a registered trademark of Merck KGaA, Darmstadt, Germany

Disclaimer

Unless otherwise stated in our catalog or other company documentation accompanying the product(s), our products are intended for research use only and are not to be used for any other purpose, which includes but is not limited to, unauthorized commercial uses, in vitro diagnostic uses, ex vivo or in vivo therapeutic uses or any type of consumption or application to humans or animals.


Still not finding the right product?

Try our Product Selector Tool to narrow your options


Storage Class

11 - Combustible Solids

wgk

WGK 1

flash_point_f

Not applicable

flash_point_c

Not applicable

Regulatory Information

常规特殊物品
常规特殊物品

This item has



Choose from one of the most recent versions:

Certificates of Analysis (COA)

Lot/Batch Number

Don't see the Right Version?

If you require a particular version, you can look up a specific certificate by the Lot or Batch number.

Already Own This Product?

Find documentation for the products that you have recently purchased in the Document Library.

Visit the Document Library



Global Trade Item Number

SKUGTIN
ZRB1357-25UL04061841362135
ZRB1357-4X25UL04061841362142