Skip to Content
Merck
CN

ZRB1385

Anti-Ataxin-3 Antibody, clone 2C14 ZooMAb® Rabbit Monoclonal

greener alternative

recombinant, expressed in HEK 293 cells

Synonym(s):

EC:3.4.19.12, Machado-Joseph disease protein 1, Spinocerebellar ataxia type 3 protein, ATXN3

Sign In to View Organizational & Contract Pricing.

Select a Size

Change View

About This Item

NACRES:
NA.43
UNSPSC Code:
12352203
Conjugate:
unconjugated
Clone:
2C14, recombinant monoclonal
Application:
IHC, WB, affinity binding assay
Citations:
-
Technical Service
Need help? Our team of experienced scientists is here for you.
Let Us Assist


biological source

rabbit

Quality Level

recombinant

expressed in HEK 293 cells

conjugate

unconjugated

antibody form

purified antibody

antibody product type

primary antibodies

clone

2C14, recombinant monoclonal

description

recombinant, expressed in HEK 293 cells

product line

ZooMAb® learn more

form

lyophilized

mol wt

calculated mol wt 41.25 kDa, observed mol wt ~41 kDa

purified by

using Protein A

species reactivity

human

species reactivity (predicted by homology)

porcine, feline, canine, monkey

packaging

antibody small pack of 25 μL

greener alternative product characteristics

Waste Prevention
Designing Safer Chemicals
Design for Energy Efficiency
Learn more about the Principles of Green Chemistry.

enhanced validation

recombinant expression
Learn more about Antibody Enhanced Validation

sustainability

Greener Alternative Product

technique(s)

affinity binding assay: suitable, immunohistochemistry: suitable, western blot: suitable

isotype

IgG

epitope sequence

Internal

Protein ID accession no.

UniProt accession no.

greener alternative category

shipped in

ambient

storage temp.

2-8°C

target post-translational modification

unmodified

Gene Information

human ... ATXN3(4287)

General description

ZooMAb® antibodies represent an entirely new generation of recombinant monoclonal antibodies.Each ZooMAb® antibody is manufactured using our proprietary recombinant expression system, purified to homogeneity, and precisely dispensed to produce robust and highly reproducible lot-to-lot consistency. Only top-performing clones are released for use by researchers. Each antibody is validated for high specificity and affinity across multiple applications, including its most commonly used application. ZooMAb® antibodies are reliably available and ready to ship when you need them.
Ataxin-3 (UniProt: P54252; also known as EC:3.4.19.12, Machado-Joseph disease protein 1, Spinocerebellar ataxia type 3 protein, ATXN3) is encoded by the ATXN3 (also known as ATX3, MJD, MJD1, SCA3) gene (Gene ID: 4287) in human. Ataxin-3 is a ubiquitously expressed nuclear protein that serves as a deubiquitinating enzyme (DUB) involved in protein homeostasis and quality control, myogenesis and degradation of misfolded chaperone substrates. As a DUB, it has two distinct features. Its N-terminal Josephin domain confers cysteine protease activity to Ataxin-3 which is important for hydrolyzing ubiquitin (Ub) linkages. The second important feature is its three Ub-interacting motifs (UIMs) through which it binds Ub conjugates and ubiquitinated proteins and bring them into proximity to trim or edit specific linkages within these Ub conjugates. It binds long poly-Ub chains and trims them. However, it has weak or no activity against chains of 4 or less Ub. Ataxin-3 is also involved in degradation of misfolded chaperone substrates via its interaction with STUB1/CHIP (C- terminus of HSC70-Interacting Protein). It is recruited to monoubiquitinated STUB1/CHIP and restricts the length of Ub chain attached to STUB1/CHIP substrates and prevents further chain extension. It is reported to regulate autophagy via deubiquitination of lysine 402 of Beclin 1. Mutations in ATXN3 gene are known to cause Spinocerebellar ataxia 3 (SCA3), an autosomal disorder that is manifested in progressive incoordination of gait and poor coordination of hands, speech, and eye movements. This ZooMAbZooMAb® recombinant monoclonal antibody, generated by our propriety technology, offers significantly enhanced specificity, affinity, reproducibility, and stability over conventional monoclonals. (Ref.: Durcan, DM., and Fon, EA. (2013). Front. Neurol. 4; 46; Tzvetkov, N., and Breuer, P. (2007). Biol. Chem. 388(9); 973-978; Mao, Y., et al. (2005). Proc. Natl. Acad. Sci. USA. 102(36); 12700-127005).
We are committed to bringing you greener alternative products, which adhere to one or more of The 12 Principles of Green Chemistry.This antibody is Preservative-free, produced without the harm or sacrifice of animals and exceptionally stable to allow for ambient shipping and storage if needed and thus aligns with "Waste Prevention", "Designing Safer Chemicals" and "Design for Energy Efficiency". Click here for more information.

Immunogen

His-tagged recombinant fragment corresponding to 138 amino acids from the internal region of human Ataxin-3.

Application

Quality Control Testing

Evaluated by Western Blotting in MCF-7 cell lysate.

Western Blotting Analysis: A 1:1,000 dilution of this antibody detected Ataxin-3 in MCF-7 cell lysate.

Tested applications

Western Blotting Analysis: A 1:1,000 dilution from a representative lot detected Ataxin-3 in SH-SY5Y cell lysate.

Affinity Binding Assay: A representative lot of this antibody bound Ataxin-3 recombinant fragment with a KD of 9.5 x 10-8 in an affinity binding assay.

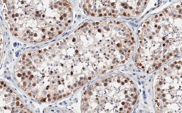
Immunohistochemistry (Paraffin) Analysis: A 1:1,000 dilution from a representative lot detected Ataxin-3 in human testis and human urinary bladder tissue sections.

Note: Actual optimal working dilutions must be determined by end user as specimens, and experimental conditions may vary with the end user

Evaluated by Western Blotting in MCF-7 cell lysate.

Western Blotting Analysis: A 1:1,000 dilution of this antibody detected Ataxin-3 in MCF-7 cell lysate.

Biochem/physiol Actions

Clone 2C14 is a ZooMAb® rabbit recombinant monoclonal antibody that specifically detects Ataxin-3. It targets an epitope within 20 amino acids from the internal region.

Physical form

Purified recombinant rabbit monoclonal antibody IgG, lyophilized in PBS, 5% Trehalose, normal appearance a coarse or translucent resin. The PBS/trehalose components in the ZooMAb formulation can have the appearance of a semi-solid (bead like gel) after lyophilization. This is a normal phenomenon. Please follow the recommended reconstitution procedure in the data sheet to dissolve the semi-solid, bead-like, gel-appearing material. The resulting antibody solution is completely stable and functional as proven by full functional testing. Contains no biocide or preservatives, such as azide, or any animal by-products. Larger pack sizes provided as multiples of 25 μL.

Preparation Note

Recommend storage of lyophilized product at 2-8°C; Before reconstitution, micro-centrifuge vials briefly to spin down material to bottom of the vial; Reconstitute each vial by adding 25 μL of filtered lab grade water or PBS; Reconstituted antibodies can be stored at 2-8°C, or -20°C for long term storage. Avoid repeated freeze-thaws.
Reconstitute lyophilized antibody pellet with 25μL of ultrapure water or Phosphate Buffered Saline (PBS). Please refer to our reconstitution protocol and the specific application guidance on the suggested starting dilutions and sample type.

Legal Information

ZooMAb is a registered trademark of Merck KGaA, Darmstadt, Germany

Disclaimer

Unless otherwise stated in our catalog or other company documentation accompanying the product(s), our products are intended for research use only and are not to be used for any other purpose, which includes but is not limited to, unauthorized commercial uses, in vitro diagnostic uses, ex vivo or in vivo therapeutic uses or any type of consumption or application to humans or animals.


Still not finding the right product?

Try our Product Selector Tool to narrow your options


Storage Class

11 - Combustible Solids

wgk

WGK 1

flash_point_f

Not applicable

flash_point_c

Not applicable

Regulatory Information

常规特殊物品

This item has



Choose from one of the most recent versions:

Certificates of Analysis (COA)

Lot/Batch Number

Don't see the Right Version?

If you require a particular version, you can look up a specific certificate by the Lot or Batch number.

Already Own This Product?

Find documentation for the products that you have recently purchased in the Document Library.

Visit the Document Library



Global Trade Item Number

SKUGTIN
ZRB1385-25UL04065268433249
ZRB1385-4X25UL04065268433256