Skip to Content
Merck
CN

ZRB1407

Anti-Anillin Antibody, clone 2C6 ZooMAb® Rabbit Monoclonal

greener alternative

recombinant, expressed in HEK 293 cells

Synonym(s):

ANLN, Anillin actin binding protein

Sign In to View Organizational & Contract Pricing.

Select a Size

Change View

About This Item

NACRES:
NA.41
UNSPSC Code:
12352203
Conjugate:
unconjugated
Clone:
recombinant monoclonal
Application:
ICC, IHC (p), WB
Citations:
-
Technical Service
Need help? Our team of experienced scientists is here for you.
Let Us Assist


biological source

rabbit

Quality Level

recombinant

expressed in HEK 293 cells

conjugate

unconjugated

antibody form

purified antibody

antibody product type

primary antibodies

clone

recombinant monoclonal

product line

ZooMAb® learn more

form

lyophilized

mol wt

calculated mol wt 124.2 kDa, observed mol wt ~130 kDa

species reactivity

human, mouse

packaging

antibody small pack of 25 μL

greener alternative product characteristics

Waste Prevention
Designing Safer Chemicals
Design for Energy Efficiency
Learn more about the Principles of Green Chemistry.

enhanced validation

recombinant expression
Learn more about Antibody Enhanced Validation

sustainability

Greener Alternative Product

technique(s)

immunocytochemistry: suitable, immunohistochemistry (formalin-fixed, paraffin-embedded sections): suitable, western blot: suitable

isotype

IgG

UniProt accession no.

greener alternative category

shipped in

ambient

storage temp.

2-8°C

target post-translational modification

unmodified

Gene Information

human ... ANLN(54443)

General description

Anillin (UniProt: Q9NQW6; also known as ANLN, Anillin acting binding protein) is encoded by the ANLN gene (Gene ID: 54443) in human. Anillin is a scaffold protein that links the actomyosin ring to membrane and RhoA. It is ubiquitously expressed with high levels found in the brain, placenta, and testis. It is also overexpressed in many tumor types including breast, colorectal, hepatic, pancreatic, and kidney tumors. In dividing cells, Anillin expression increases during S and G2 phases, peaks at mitosis and subsequently drops as cells enter the G1 phase. It is mainly found in the nucleus during interphase and colocalizes with cortical F-actin upon nuclear envelope breakdown in mitosis. Subsequently it concentrates in the area of the prospective contractile ring in anaphase. This pattern persists until telophase, when the protein becomes concentrated in the midbody. Anillin is shown to be essential for cytokinesis and it maintains the structural integrity of the cleavage furrow. Anillin contains a conserved N-terminal actin and myosin binding domains, an Anillin homology domain and PH domain at the C terminus that is required for robust furrow localization and for its function. Anillin is reported to both enhance and limit contractility during cytokinesis through binding directly to active RhoA as well as several proteins that positively or negatively regulate Rho, and by crosslinking F-actin. Anillin is shown to be highly phosphorylated in mitosis and serves as a substrate for mitotic kinases. In human cells Anillin can be phosphorylated on 46 different residues. Phosphorylation at serine 635 is a key to mediate cytokinesis. This ZooMAb® recombinant monoclonal antibody, generated by our propriety technology, offers significantly enhanced specificity, affinity, reproducibility, and stability over conventional monoclonals. (Ref.: Piekny, AJ., and, Glotzer, M. (2008). Curr. Biol. 18(1); 30-36; Kim, H., et al. (2017). PLoS Genet 13(1); e1006511; Arnold, TR., et al., (2019). eLife.8; e39065).
We are committed to bringing you greener alternative products, which adhere to one or more of The 12 Principles of Green Chemistry.This antibody is Preservative-free, produced without the harm or sacrifice of animals and exceptionally stable to allow for ambient shipping and storage if needed and thus aligns with "Waste Prevention", "Designing Safer Chemicals" and "Design for Energy Efficiency". Click here for more information.
ZooMAb antibodies represent an entirely new generation of recombinant monoclonal antibodies.

Each ZooMAb antibody is manufactured using our proprietary recombinant expression system, purified to homogeneity, and precisely dispensed to produce robust and highly reproducible lot-to-lot consistency. Only top-performing clones are released for use by researchers. Each antibody is validated for high specificity and affinity across multiple applications, including its most commonly used application. ZooMAb antibodies are reliably available and ready to ship when you need them.

Learn more about ZooMAb here.

Immunogen

GST/His-tagged recombinant fragment corresponding to 150 amino acids from the N-terminal region of human Anillin.

Application

Anti-Anillin, clone 2C6 ZooMAb, Cat. No. ZRB1407, is a recombinant Rabbit monoclonal antibody that specifically targets Anillin and is tested in Immunocytochemistry, Immunohistochemistry (Paraffin), and Western Blotting.
Western Blotting Analysis: A 1:1,000 dilution from a representative lot detected Anillin in NIH/3T3 cell lysate.

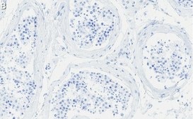
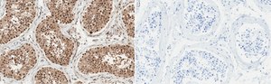
Immunohistochemistry (Paraffin) Analysis: A 1:100 dilution from a representative lot detected Anillin in human testis tissue sections.

Immunocytochemistry Analysis: A 1:100 dilution from a representative lot detected Anillin in HUVEC and HeLa cells.

Note: Actual optimal working dilutions must be determined by end user as specimens, and experimental conditions may vary with the end user.

Biochem/physiol Actions

Clone 2C6 is a ZooMAb rabbit recombinant monoclonal antibody that specifically detects Anillin. It targets an epitope within the N-terminal region.

Physical form

Purified recombinant rabbit monoclonal antibody IgG, lyophilized in PBS with 5% Trehalose, normal appearance a coarse or translucent resin. Contains no biocide or preservatives, such as azide, or any animal by-products. Larger pack sizes provided as multiples of 25 μL.

Preparation Note

Recommended storage of lyophilized product at 2-8°C; Before reconstitution, micro-centrifuge vials briefly to spin down material to bottom of the vial; Reconstitute each vial by adding 25 μL of filtered lab grade water or PBS; Reconstituted antibodies can be stored at 2-8°C, or -20°C for long term storage. Avoid repeated freeze-thaws.
Reconstitute lyophilized antibody pellet with 25μL of ultrapure water or Phosphate Buffered Saline (PBS). Please refer to our reconstitution protocol and the specific application guidance on the suggested starting dilutions and sample type.

Legal Information

ZooMAb is a registered trademark of Merck KGaA, Darmstadt, Germany

Disclaimer

Unless otherwise stated in our catalog or other company documentation accompanying the product(s), our products are intended for research use only and are not to be used for any other purpose, which includes but is not limited to, unauthorized commercial uses, in vitro diagnostic uses, ex vivo or in vivo therapeutic uses or any type of consumption or application to humans or animals.


Still not finding the right product?

Try our Product Selector Tool to narrow your options


Storage Class

11 - Combustible Solids

wgk

WGK 2

Regulatory Information

常规特殊物品

This item has



Choose from one of the most recent versions:

Certificates of Analysis (COA)

Lot/Batch Number

Don't see the Right Version?

If you require a particular version, you can look up a specific certificate by the Lot or Batch number.

Already Own This Product?

Find documentation for the products that you have recently purchased in the Document Library.

Visit the Document Library