Skip to Content
Merck
CN

ZRB1449

Anti-iNOS (NOSII) Antibody, clone 2G17 ZooMAb® Rabbit Monoclonal

greener alternative

recombinant, expressed in HEK 293 cells

Synonym(s):

EC:1.14.13.39, Inducible NO synthase, Inducible NOS, MAC-NOS, Macrophage NOS, NOS type II, Nitric oxide synthase inducible, Peptidyl-cysteine S-nitrosylase NOS2

Sign In to View Organizational & Contract Pricing.

Select a Size

Change View

About This Item

NACRES:
NA.43
UNSPSC Code:
12352203
Conjugate:
unconjugated
Clone:
2G17, monoclonal, recombinant monoclonal
Application:
ICC, IHC, WB, affinity binding assay
Citations:
-
Technical Service
Need help? Our team of experienced scientists is here for you.
Let Us Assist


biological source

rabbit (recombinant)

Quality Level

recombinant

expressed in HEK 293 cells

conjugate

unconjugated

antibody form

purified antibody

antibody product type

primary antibodies

clone

2G17, monoclonal, recombinant monoclonal

product line

ZooMAb® learn more

form

lyophilized

mol wt

calculated mol wt 130.58 kDa, observed mol wt 125 kDa

species reactivity

rat, mouse

packaging

antibody small pack of 25 μL

greener alternative product characteristics

Waste Prevention
Designing Safer Chemicals
Design for Energy Efficiency
Learn more about the Principles of Green Chemistry.

enhanced validation

recombinant expression
Learn more about Antibody Enhanced Validation

sustainability

Greener Alternative Product

technique(s)

affinity binding assay: suitable, immunocytochemistry: suitable, immunohistochemistry: suitable, western blot: suitable

isotype

IgG

UniProt accession no.

greener alternative category

shipped in

ambient

storage temp.

2-8°C

target post-translational modification

unmodified

Gene Information

mouse ... Nos2(18126)

General description

Nitric oxide synthase, inducible (UniProt: P29477; also known as EC:1.14.13.39, Inducible NO synthase, Inducible NOS, iNOS, Macrophage NOS, MAC-NOS, NOS type II, Peptidyl-cysteine S-nitrosylase NOS2) is encoded by the Nos2 (also known as Inosl) gene (Gene ID: 18126) in murine species. Nitric oxide synthases (nNOS, iNOS, eNOS) are single polypeptides that differ in their rates of Nitric oxide (•NO) synthesis, Ca2+- dependence, cytochrome c reduction, and NADPH utilization. For their catalytic activities NOS isoforms require three distinct domains: (a) a reductase domain, (b) a calmodulin-binding domain, and (c) an oxygenase domain. The reductase domain contains the FAD and FMN moieties. The oxygenase domain, which contains the binding sites for heme, tetrahydrobiopterin, and arginine, catalyzes the conversion of L-arginine to citrulline and •NO. The maximal rate of •NO synthesis is established by the intrinsic maximum ability of the reductase domain to deliver electrons to the heme domain. The iNOS is expressed in a variety of cells and is localized mainly in the cytoplasm. It binds tightly to calmodulin at very low Ca2+ levels, hence the enzyme activity is unaffected by changes in intracellular Ca2+ levels. The complete Ca2+-independence of inducible NOS requires interactions of calmodulin with both the calmodulin-binding motif and the flavoprotein domain. This property is important in assuring a long-lasting release of •NO. The iNOS is capable of producing large amounts of •NO when induced by mediators such as TNF-α, IL-1, IL-2, IL-6, and γ-IFN. The amount of •NO released by iNOS falls in the nanomolar range. The iNOS-induced release of •NO plays an important role in the macrophage-mediated response to infections, where •NO acts as an effector molecule to kill the invading organism. This toxic effect is achieved via the production of highly reactive nitrogen and oxygen intermediates. The induction of iNOS has been implicated in increased blood flow to the tumor site resulting in tumor growth. The cytotoxic effects of •NO have also been reported against cancer cells. Over-expression of iNOS has been implicated in a number of pathologies including septic shock where excessive generation of •NO, in response to infection, leads to a serious drop in blood pressure and subsequent dysfunction of multiple organs. This ZooMAb recombinant monoclonal antibody, generated by our propriety technology, offers significantly enhanced specificity, affinity, reproducibility, and stability over conventional monoclonals.
We are committed to bringing you greener alternative products, which adhere to one or more of The 12 Principles of Green Chemistry.This antibody is Preservative-free, produced without the harm or sacrifice of animals and exceptionally stable to allow for ambient shipping and storage if needed and thus aligns with "Waste Prevention", "Designing Safer Chemicals" and "Design for Energy Efficiency". Click here for more information.
ZooMAb antibodies represent an entirely new generation of recombinant monoclonal antibodies.

Each ZooMAb antibody is manufactured using our proprietary recombinant expression system, purified to homogeneity, and precisely dispensed to produce robust and highly reproducible lot-to-lot consistency. Only top-performing clones are released for use by researchers. Each antibody is validated for high specificity and affinity across multiple applications, including its most commonly used application. ZooMAb antibodies are reliably available and ready to ship when you need them.

Learn more about ZooMAb here.

Immunogen

GST/His-tagged recombinant fragment corresponding to the first 130 amino acids from murine Inducible nitric oxide synthase (iNOS).

Application

Anti-iNOS (NOSII), clone 2G17 ZooMAb, Cat. No. ZRB1449, is a recombinant Rabbit monoclonal antibody that specifically targets iNOS (NOSII) and is tested for use in Affinity Binding Assay, Immunocytochemistry, Immunohistochemistry, and Western Blotting.
Immunocytochemistry Analysis: A 1:100 dilution from a representative lot detected iNOS (NOSII) in RAW 264.7 cells treated with Lipopolysaccharide.

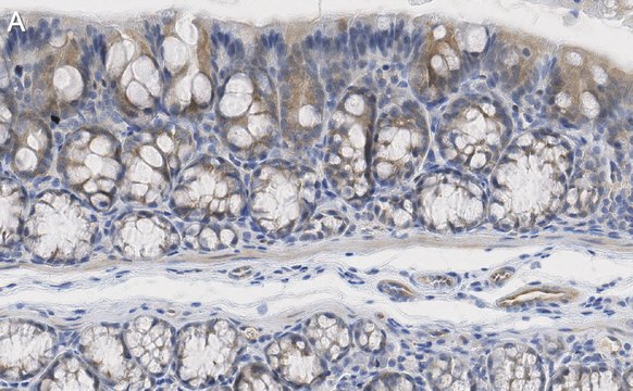
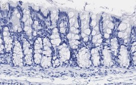
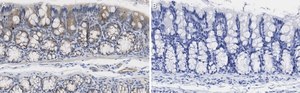
Immunohistochemistry Analysis: A 1:1,000 dilution from a representative lot detected iNOS (NOSII) in mouse colon tissue sections.

Affinity Binding Assay: A representative lot of this antibody bound recombinant murine iNOS (NOSII) protein fragment with a KD of 1.68 x 10-9 in an affinity binding assay.

Note: Actual optimal working dilutions must be determined by end user as specimens, and experimental conditions may vary with the end user

Biochem/physiol Actions

Clone 2G17 is a ZooMAb rabbit recombinant monoclonal antibody that specifically detects iNOS (NOS II). It targets an epitope within the first 130 amino acids from the N-terminal region.

Physical form

Purified recombinant rabbit monoclonal antibody IgG, lyophilized in PBS with 5% Trehalose, normal appearance a coarse or translucent resin. Contains no biocide or preservatives, such as azide, or any animal by-products. Larger pack sizes provided as multiples of 25 μL.

Preparation Note

Recommend storage of lyophilized product at 2-8°C; Before reconstitution, micro-centrifuge vials briefly to spin down material to bottom of the vial; Reconstitute each vial by adding 25 μL of filtered lab grade water or PBS; Reconstituted antibodies can be stored at 2-8°C, or -20°C for long term storage. Avoid repeated freeze-thaws.
Reconstitute lyophilized antibody pellet with 25μL of ultrapure water or Phosphate Buffered Saline (PBS). Please refer to our reconstitution protocol and the specific application guidance on the suggested starting dilutions and sample type.

Legal Information

ZooMAb is a registered trademark of Merck KGaA, Darmstadt, Germany

Disclaimer

Unless otherwise stated in our catalog or other company documentation accompanying the product(s), our products are intended for research use only and are not to be used for any other purpose, which includes but is not limited to, unauthorized commercial uses, in vitro diagnostic uses, ex vivo or in vivo therapeutic uses or any type of consumption or application to humans or animals.


Still not finding the right product?

Try our Product Selector Tool to narrow your options


Storage Class

11 - Combustible Solids

wgk

WGK 1

Regulatory Information

常规特殊物品

This item has



Choose from one of the most recent versions:

Certificates of Analysis (COA)

Lot/Batch Number

Don't see the Right Version?

If you require a particular version, you can look up a specific certificate by the Lot or Batch number.

Already Own This Product?

Find documentation for the products that you have recently purchased in the Document Library.

Visit the Document Library


Articles

Learn about the hallmarks of cancer and find reliable ZooMAb® recombinant antibodies to study them, conveniently organized by cancer hallmark.





Global Trade Item Number

SKUGTIN
ZRB1449-4X25UL04061841793427
ZRB1449-25UL04061841793410