Skip to Content
Merck
CN

ZRB1687

Anti-ATR Antibody, clone 1B15 ZooMAb® Rabbit Monoclonal

greener alternative

recombinant, expressed in HEK 293 cells

Synonym(s):

Serine/threonine-protein kinase ATR;EC:2.7.11.1;Ataxia telangiectasia and Rad3-related protein;FRAP-related protein 1

Sign In to View Organizational & Contract Pricing.

Select a Size

Change View

About This Item

NACRES:
NA.41
UNSPSC Code:
12352203
Conjugate:
unconjugated
Clone:
1B15, recombinant monoclonal
Application:
ICC, IHC (p), WB, affinity binding assay
Citations:
-
Technical Service
Need help? Our team of experienced scientists is here for you.
Let Us Assist


biological source

rabbit

Quality Level

recombinant

expressed in HEK 293 cells

conjugate

unconjugated

antibody form

purified antibody

antibody product type

primary antibodies

clone

1B15, recombinant monoclonal

description

recombinant, expressed in HEK 293 cells

product line

ZooMAb® learn more

form

lyophilized

mol wt

calculated mol wt 301.37 kDa, observed mol wt ~260 kDa

purified by

using Protein A

species reactivity

human, rat, mouse

species reactivity (predicted by homology)

monkey

packaging

antibody small pack of 25 μL

greener alternative product characteristics

Waste Prevention
Designing Safer Chemicals
Design for Energy Efficiency
Learn more about the Principles of Green Chemistry.

enhanced validation

recombinant expression
Learn more about Antibody Enhanced Validation

sustainability

Greener Alternative Product

technique(s)

affinity binding assay: suitable, immunocytochemistry: suitable, immunohistochemistry (formalin-fixed, paraffin-embedded sections): suitable, western blot: suitable

isotype

IgG

epitope sequence

N-terminal

Protein ID accession no.

UniProt accession no.

greener alternative category

shipped in

ambient

storage temp.

2-8°C

target post-translational modification

unmodified

General description

Serine/threonine-protein kinase ATR (UniProt: Q13535; also known as EC:2.7.11.1, Ataxia telangiectasia and Rad3-related protein, FRAP-related protein 1) is encoded by the ATR (also known as FRP1) gene (Gene ID: 545) in human. ATR is a serine/threonine protein kinase of the phosphatidyl inositol 3-kinase-like kinase (PIKK) family that is activated in response to DNA damage. It activates checkpoint signaling upon genotoxic stresses such as ionizing radiation, ultraviolet light, or DNA replication stalling. It is shown to bind to UV-damaged DNA with higher affinity. It forms a heterodimer its binding partner, ATR-interacting protein (ATRIP), and this heterodimer is recruited to stalled forks through direct interactions with the replication protein A-single-stranded DNA (RPA-ssDNA) complex that forms at stressed replication forks. In ssDNA bound form its kinase activity is stimulated by the ATR-activating domains of topoisomerase II binding protein 1 (TOPBP1) or Ewing tumor-associated antigen 1 (ETAA1), which are independently recruited to junctions between ssDNA and double-stranded DNA (dsDNA) and to RPA-ssDNA, respectively. ATR is reported to phosphorylate a number of substrates, including BRCA1, CHEK1, MCM2, RAD17, RPA2, and p53/TP53, which are known to collectively inhibit DNA replication and mitosis and promote DNA repair or induce apoptosis in severely damaged cells. Defects in ATR signaling are commonly seen in human cancers and affect the sensitivity of tumors to DNA-damaging chemo- and radiation therapies. This ZooMAb® recombinant monoclonal antibody, generated by our propriety technology, offers significantly enhanced specificity, affinity, reproducibility, and stability over conventional monoclonals. (Ref.: Moiseeva, TN., et al. (2019). Proc. Natl. Acad. Sci. USA. 116(27); 13374-13383; Saldivar, JC., et al. (2017). Nat. Rev. Mol. Cell Biol. 18(10); 622-636).
We are committed to bringing you greener alternative products, which adhere to one or more of The 12 Principles of Green Chemistry.This antibody is Preservative-free, produced without the harm or sacrifice of animals and exceptionally stable to allow for ambient shipping and storage if needed and thus aligns with "Waste Prevention", "Designing Safer Chemicals" and "Design for Energy Efficiency". Click here for more information.
ZooMAb® antibodies represent an entirely new generation of recombinant monoclonal antibodies.Each ZooMAb® antibody is manufactured using our proprietary recombinant expression system, purified to homogeneity, and precisely dispensed to produce robust and highly reproducible lot-to-lot consistency. Only top-performing clones are released for use by researchers. Each antibody is validated for high specificity and affinity across multiple applications, including its most commonly used application. ZooMAb® antibodies are reliably available and ready to ship when you need them.

Immunogen

KLH-conjugated linear peptide corresponding to 22 amino acids from the N-terminal region of human ATR.

Application

Quality Control Testing

Evaluated by Western Blotting in nuclear extract of NIH3T3 cells.

Western Blotting Analysis (WB): A 1:10,000 dilution of this antibody detected ATR in nuclear extract of NIH3T3 cells.

Tested applications

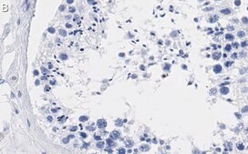
Immunohistochemistry (Paraffin) Analysis: A 1:100 dilution from a representative lot detected ATR in human testis and human tonsil tissue sections.

Affinity Binding Assay: A representative lot of this antibody bound ATR with a KD of 6.8 x 10-8 in an affinity binding assay.

Immunocytochemistry Analysis: A 1:100 dilution from a representative lot detected ATR in HeLa, A431, HepG2 and NIH 3T3 cells..

Note: Actual optimal working dilutions must be determined by end user as specimens, and experimental conditions may vary with the end user

Biochem/physiol Actions

Clone 1B15 is a Rabbit recombinant monoclonal antibody that detects ATR. It targets an epitope within 22 amino acids from the N-terminal region.

Physical form

Purified recombinant rabbit monoclonal antibody IgG, lyophilized in PBS, 5% Trehalose, normal appearance a coarse or translucent resin. The PBS/trehalose components in the ZooMAb formulation can have the appearance of a semi-solid (bead like gel) after lyophilization. This is a normal phenomenon. Please follow the recommended reconstitution procedure in the data sheet to dissolve the semi-solid, bead-like, gel-appearing material. The resulting antibody solution is completely stable and functional as proven by full functional testing. Contains no biocide or preservatives, such as azide, or any animal by-products. Larger pack sizes provided as multiples of 25 μL.

Preparation Note

Recommend storage of lyophilized product at 2-8°C; Before reconstitution, micro-centrifuge vials briefly to spin down material to bottom of the vial; Reconstitute each vial by adding 25 μL of filtered lab grade water or PBS; Reconstituted antibodies can be stored at 2-8°C, or -20°C for long term storage. Avoid repeated freeze-thaws.
Reconstitute lyophilized antibody pellet with 25μL of ultrapure water or Phosphate Buffered Saline (PBS). Please refer to our reconstitution protocol and the specific application guidance on the suggested starting dilutions and sample type.

Legal Information

ZooMAb is a registered trademark of Merck KGaA, Darmstadt, Germany

Disclaimer

Unless otherwise stated in our catalog or other company documentation accompanying the product(s), our products are intended for research use only and are not to be used for any other purpose, which includes but is not limited to, unauthorized commercial uses, in vitro diagnostic uses, ex vivo or in vivo therapeutic uses or any type of consumption or application to humans or animals.


Still not finding the right product?

Try our Product Selector Tool to narrow your options


Storage Class

13 - Non Combustible Solids

wgk

WGK 1

flash_point_f

Not applicable

flash_point_c

Not applicable

Regulatory Information

常规特殊物品

This item has



Choose from one of the most recent versions:

Certificates of Analysis (COA)

Lot/Batch Number

Don't see the Right Version?

If you require a particular version, you can look up a specific certificate by the Lot or Batch number.

Already Own This Product?

Find documentation for the products that you have recently purchased in the Document Library.

Visit the Document Library


Articles

Learn about the hallmarks of cancer and find reliable ZooMAb® recombinant antibodies to study them, conveniently organized by cancer hallmark.





Global Trade Item Number

SKUGTIN
ZRB1687-25UL04065267213309
ZRB1687-4X25UL04065267213316