Skip to Content
Merck
CN

ZRB1769

Anti-Keratin 7 Antibody, clone 3O4 ZooMAb® Rabbit Monoclonal

greener alternative

recombinant, expressed in HEK 293 cells

Synonym(s):

Keratin;type II cytoskeletal 7;Cytokeratin-7;CK-7;K7;Sarcolectin;Type-II keratin Kb7

Sign In to View Organizational & Contract Pricing.

Select a Size

Change View

About This Item

NACRES:
NA.43
UNSPSC Code:
12352203
Conjugate:
unconjugated
Clone:
3O4, recombinant monoclonal
Application:
FACS, ICC, IF, IHC (p), WB, affinity binding assay
Citations:
-
Technical Service
Need help? Our team of experienced scientists is here for you.
Let Us Assist


biological source

rabbit

Quality Level

recombinant

expressed in HEK 293 cells

conjugate

unconjugated

antibody form

purified antibody

antibody product type

primary antibodies

clone

3O4, recombinant monoclonal

description

recombinant, expressed in HEK 293 cells

product line

ZooMAb® learn more

form

lyophilized

mol wt

calculated mol wt 51.39 kDa, observed mol wt ~48 kDa

purified by

using Protein A

species reactivity

human

packaging

antibody small pack of 25 μL

greener alternative product characteristics

Waste Prevention
Designing Safer Chemicals
Design for Energy Efficiency
Learn more about the Principles of Green Chemistry.

enhanced validation

recombinant expression
Learn more about Antibody Enhanced Validation

sustainability

Greener Alternative Product

technique(s)

affinity binding assay: suitable, flow cytometry: suitable, immunocytochemistry: suitable, immunofluorescence: suitable, immunohistochemistry (formalin-fixed, paraffin-embedded sections): suitable, western blot: suitable

isotype

IgG

epitope sequence

C-terminal

Protein ID accession no.

UniProt accession no.

greener alternative category

shipped in

ambient

storage temp.

2-8°C

target post-translational modification

unmodified

Gene Information

human ... KRT7(3855)

General description

Keratin, type II cytoskeletal 7 (UniProt: P08729; also known as Cytokeratin-7, CK-7, Keratin-7, K7, Sarcolectin, Type-II keratin Kb7) is encoded by the KRT7 (also known as SCL) gene (Gene ID: 3855) in human. Keratins are the intermediate filament proteins of epithelia that display high degree of molecular diversity. They are heteropolymeric filaments formed by pairing of type I and type II keratins that are expressed in a highly specific patterns depending on the epithelial type and stage of cellular differentiation. Keratins contain a central rod domain of about 310 amino acids with a-helical conformation bordered by non-helical head and tail domains of variable length. The head domain consists of subdomains V1 and H1. The central a-helical rod domain is composed of subdomains 1A, 1B, 2A, and 2B connected by the linkers L1, L12, and L2. The tail domain then consists of subdomains H2 and V2. They provide stability between epithelial cells and their attachment to basement membrane. Keratins also serve as tumor markers and epithelial differentiation markers. Multiple human epithelial keratins have been resolved with 2D-gels electrophoresis. These can be divided into acidic (pI 5.7) and basic (pI 6.0) subfamilies. The acidic keratins have molecular weights that range from 40 to 55 kDa. The basic keratins have molecular weights that range from 56 to 70 kDa. Members of the acidic and basic subfamilies are reported to be present in pairs. The composition of keratin pairs varies with the epithelial cell type, stage of differentiation, cellular growth environment, and the disease state. Keratin 7 is expressed in cultured epidermal, bronchial, and mesothelial cells. It is observed throughout the glandular cells in the junction between stomach and esophagus but is absent in esophagus. Its expression is also observed in tumor cells of mammary and extramammary Paget disease. Keratin-7 expression can be used to distinguish ovarian and gastrointestinal carcinomas. This ZooMAb® recombinant monoclonal antibody, generated by our propriety technology, offers significantly enhanced specificity, affinity, reproducibility, and stability over conventional monoclonals.
We are committed to bringing you greener alternative products, which adhere to one or more of The 12 Principles of Green Chemistry.This antibody is Preservative-free, produced without the harm or sacrifice of animals and exceptionally stable to allow for ambient shipping and storage if needed and thus aligns with "Waste Prevention", "Designing Safer Chemicals" and "Design for Energy Efficiency". Click here for more information.
ZooMAb® antibodies represent an entirely new generation of recombinant monoclonal antibodies.

Each ZooMAb® antibody is manufactured using our proprietary recombinant expression system, purified to homogeneity, and precisely dispensed to produce robust and highly reproducible lot-to-lot consistency. Only top-performing clones are released for use by researchers. Each antibody is validated for high specificity and affinity across multiple applications, including its most commonly used application. ZooMAb® antibodies are reliably available and ready to ship when you need them.

Immunogen

KLH-conjugated linear peptide corresponding to 20 amino acids from the C-terminal region of human Keratin-7 (CK-7).

Application

Quality Control Testing

Evaluated by Western Blotting in HeLa cell lysate.

Western Blotting Analysis: A 1:1,000 dilution of this antibody detected Keratin 7 in HeLa cell lysate.

Tested applications

Western Blotting Analysis: A 1:1,000 dilution from a representative lot detected Keratin 7 in HepG2 cell lysate.

Flow Cytometry Analysis: 0.1 μg from a representative lot detected Keratin 7 in one million HeLa cells.

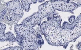
Immunohistochemistry (Paraffin) Analysis: A 1:1,000 dilution from a representative lot detected Keratin 7 in human placenta tissue sections.

Immunocytochemistry Analysis: A 1:100 dilution from a representative lot detected Keratin 7 in HeLa cells.

Affinity Binding Assay: A representative lot of this antibody bound Keratin 7 with a KD of 2.1 x 10-6 in an affinity binding assay.

Immunofluorescence Analysis: A 1:100 dilution from a representative lot detected Keratin-7 in human liver tissue, iPSC-derived liver organoid progenitor, and mature liver organoid sections.

Note: Actual optimal working dilutions must be determined by end user as specimens, and experimental conditions may vary with the end user

Biochem/physiol Actions

Clone 3O4 is a ZooMAb® Rabbit recombinant monoclonal antibody that specifically detects Keratin-7 (CK-7). It targets an epitope within 20 amino acids from the C-terminal region.

Physical form

Purified recombinant rabbit monoclonal antibody IgG, lyophilized in PBS, 5% Trehalose, normal appearance a coarse or translucent resin. The PBS/trehalose components in the ZooMAb formulation can have the appearance of a semi-solid (bead like gel) after lyophilization. This is a normal phenomenon. Please follow the recommended reconstitution procedure in the data sheet to dissolve the semi-solid, bead-like, gel-appearing material. The resulting antibody solution is completely stable and functional as proven by full functional testing. Contains no biocide or preservatives, such as azide, or any animal by-products. Larger pack sizes provided as multiples of 25 μL.

Preparation Note

Recommend storage of lyophilized product at 2-8°C; Before reconstitution, micro-centrifuge vials briefly to spin down material to bottom of the vial; Reconstitute each vial by adding 25 μL of filtered lab grade water or PBS; Reconstituted antibodies can be stored at 2-8°C, or -20°C for long term storage. Avoid repeated freeze-thaws.
Reconstitute lyophilized antibody pellet with 25μL of ultrapure water or Phosphate Buffered Saline (PBS). Please refer to our reconstitution protocol and the specific application guidance on the suggested starting dilutions and sample type.

Legal Information

ZooMAb is a registered trademark of Merck KGaA, Darmstadt, Germany

Disclaimer

Unless otherwise stated in our catalog or other company documentation accompanying the product(s), our products are intended for research use only and are not to be used for any other purpose, which includes but is not limited to, unauthorized commercial uses, in vitro diagnostic uses, ex vivo or in vivo therapeutic uses or any type of consumption or application to humans or animals.


Still not finding the right product?

Try our Product Selector Tool to narrow your options


Storage Class

13 - Non Combustible Solids

wgk

WGK 1

flash_point_f

Not applicable

flash_point_c

Not applicable

Regulatory Information

常规特殊物品

This item has



Choose from one of the most recent versions:

Certificates of Analysis (COA)

Lot/Batch Number

Don't see the Right Version?

If you require a particular version, you can look up a specific certificate by the Lot or Batch number.

Already Own This Product?

Find documentation for the products that you have recently purchased in the Document Library.

Visit the Document Library



Global Trade Item Number

SKUGTIN
ZRB1769-25UL04065267744766
ZRB1769-4X25UL04065267744773