Skip to Content
Merck
CN

ZRB1817

Anti-ASS1 Antibody, clone 2E22 ZooMAb® Rabbit Monoclonal

greener alternative

recombinant, expressed in HEK 293 cells

Sign In to View Organizational & Contract Pricing.

Select a Size

Change View

About This Item

NACRES:
NA.43
UNSPSC Code:
12352203
Conjugate:
unconjugated
Clone:
2E22, recombinant monoclonal
Application:
FACS, ICC, IHC (p), WB, affinity binding assay
Citations:
-
Technical Service
Need help? Our team of experienced scientists is here for you.
Let Us Assist


biological source

rabbit

Quality Level

recombinant

expressed in HEK 293 cells

conjugate

unconjugated

antibody form

purified antibody

antibody product type

primary antibodies

clone

2E22, recombinant monoclonal

description

2E22 Clone

product line

ZooMAb® learn more

form

lyophilized

mol wt

calculated mol wt 46.53 kDa, observed mol wt ~46 kDa

purified by

using Protein A

species reactivity

mouse, human

species reactivity (predicted by homology)

porcine, chimpanzee, bovine

packaging

antibody small pack of 25 μL

greener alternative product characteristics

Waste Prevention
Designing Safer Chemicals
Design for Energy Efficiency
Learn more about the Principles of Green Chemistry.

enhanced validation

recombinant expression
Learn more about Antibody Enhanced Validation

sustainability

Greener Alternative Product

technique(s)

affinity binding assay: suitable, flow cytometry: suitable, immunocytochemistry: suitable, immunohistochemistry (formalin-fixed, paraffin-embedded sections): suitable, western blot: suitable

isotype

IgG

epitope sequence

Internal

Protein ID accession no.

UniProt accession no.

greener alternative category

shipped in

ambient

storage temp.

2-8°C

target post-translational modification

unmodified

Gene Information

human ... ASS1(445)

General description

Arginosuccinate synthase (UniProt: P00966; also known as EC:6.3.4.5, Citrulline--aspartate ligase) is encoded by the ASS1 gene (Gene ID: 445) in human. Arginosuccinate synthase (ASS) is a cytosolic enzyme with highest expression in the liver, renal proximal tubules, and testis. In liver, it is distributed homogeneously and is not confined to periportal cells. In liver, argininosuccinate synthase is reported to associate with the outside of the mitochondria to complete the urea cycle, which involves both the mitochondrial and cytosolic compartments. ASS is a rate-limiting enzyme in the urea cycle. It catalyzes the formation of arginosuccinate from aspartate, citrulline, and ATP. ASS is shown to participate in five major pathways including urea synthesis, nitric oxide synthesis, polyamine synthesis, creatine synthesis, and de novo synthesis of arginine to maintain serum levels. Mutations in ASS1 gene has been linked to citrullinemia type I deficiency that is characterized primarily by elevated serum and urine citrulline levels and ammonia intoxication that is usually manifested in the first few days of life. This ZooMAbZooMAb® recombinant monoclonal antibody, generated by our propriety technology, offers significantly enhanced specificity, affinity, reproducibility, and stability over conventional monoclonals. (Ref.: Haines, RJ., et al. (2011). Int. J. Biochem. Mol. Biol. 2(1); 8-23; Goodwin, BL., et al. (2004). J. Biol. Chem. 279(18); 18353-18360).
We are committed to bringing you greener alternative products, which adhere to one or more of The 12 Principles of Green Chemistry.This antibody is Preservative-free, produced without the harm or sacrifice of animals and exceptionally stable to allow for ambient shipping and storage if needed and thus aligns with "Waste Prevention", "Designing Safer Chemicals" and "Design for Energy Efficiency". Click here for more information.
ZooMAb® antibodies represent an entirely new generation of recombinant monoclonal antibodies.Each ZooMAb® antibody is manufactured using our proprietary recombinant expression system, purified to homogeneity, and precisely dispensed to produce robust and highly reproducible lot-to-lot consistency. Only top-performing clones are released for use by researchers. Each antibody is validated for high specificity and affinity across multiple applications, including its most commonly used application. ZooMAb® antibodies are reliably available and ready to ship when you need them.

Immunogen

KLH-conjugated linear peptide corresponding to 24 amino acids from the internal region of human Arginosuccinate synthase (ASS1).

Application

Quality Control Testing

Evaluated by Western Blotting in HepG2 cell lysate.

Western Blotting Analysis: A 1:1,000 dilution of this antibody detected Arginosuccinate Synthase (ASS1) in HepG2 cell lysate.

Tested applications

Western Blotting Analysis: A 1:1,000 dilution from a representative lot detected ASS1 in Raji cell lysates.

Affinity Binding Assay: A representative lot of this antibody bound ASS1 with a KD of 1.3 x 10-7 in an affinity binding assay.

Immunocytochemistry Analysis: A 1:100 dilution from a representative lot detected ASS1 in NIH3T3 cells.

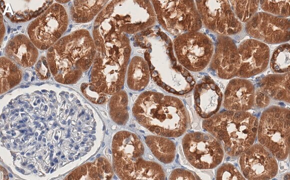
Immunohistochemistry (Paraffin) Analysis: A 1:100 dilution from a representative lot detected ASS1 in human kidney tissue sections.

Flow Cytometry Analysis: 0.1 μg from a representative lot detected ASS1 in one million Jurkat cells.

Note: Actual optimal working dilutions must be determined by end user as specimens, and experimental conditions may vary with the end user

Biochem/physiol Actions

Clone 2E22 is a C13 Arginosuccinate synthase (ASS1). It targets an epitope within 24 amino acids from the internal region.

Physical form

Purified recombinant rabbit monoclonal antibody IgG, lyophilized in PBS, 5% Trehalose, normal appearance a coarse or translucent resin. The PBS/trehalose components in the ZooMAb formulation can have the appearance of a semi-solid (bead like gel) after lyophilization. This is a normal phenomenon. Please follow the recommended reconstitution procedure in the data sheet to dissolve the semi-solid, bead-like, gel-appearing material. The resulting antibody solution is completely stable and functional as proven by full functional testing. Contains no biocide or preservatives, such as azide, or any animal by-products. Larger pack sizes provided as multiples of 25 μL.

Preparation Note

Recommend storage of lyophilized product at 2-8°C; Before reconstitution, micro-centrifuge vials briefly to spin down material to bottom of the vial; Reconstitute each vial by adding 25 μL of filtered lab grade water or PBS; Reconstituted antibodies can be stored at 2-8°C, or -20°C for long term storage. Avoid repeated freeze-thaws.
Reconstitute lyophilized antibody pellet with 25μL of ultrapure water or Phosphate Buffered Saline (PBS). Please refer to our reconstitution protocol and the specific application guidance on the suggested starting dilutions and sample type.

Legal Information

ZooMAb is a registered trademark of Merck KGaA, Darmstadt, Germany

Disclaimer

Unless otherwise stated in our catalog or other company documentation accompanying the product(s), our products are intended for research use only and are not to be used for any other purpose, which includes but is not limited to, unauthorized commercial uses, in vitro diagnostic uses, ex vivo or in vivo therapeutic uses or any type of consumption or application to humans or animals.


Still not finding the right product?

Try our Product Selector Tool to narrow your options


Storage Class

13 - Non Combustible Solids

wgk

WGK 1

flash_point_f

Not applicable

flash_point_c

Not applicable

Regulatory Information

常规特殊物品

This item has



Choose from one of the most recent versions:

Certificates of Analysis (COA)

Lot/Batch Number

It looks like we've run into a problem, but you can still download Certificates of Analysis from our Documents section.

If you need assistance, please contact Customer Support

Already Own This Product?

Find documentation for the products that you have recently purchased in the Document Library.

Visit the Document Library


Articles

Learn about the hallmarks of cancer and find reliable ZooMAb® recombinant antibodies to study them, conveniently organized by cancer hallmark.





Global Trade Item Number

SKUGTIN
ZRB1817-4X25UL04065268021217
ZRB1817-25UL04065268021200