Skip to Content
Merck
CN

ZRB1897

Anti-UTX Antibody, clone 4G9 ZooMAb® Rabbit Monoclonal

greener alternative

recombinant, expressed in HEK 293 cells

Synonym(s):

Lysine-specific demethylase 6A;EC:1.14.11.68;Histone demethylase UTX;Ubiquitously-transcribed TPR protein on the X chromosome;Ubiquitously-transcribed X chromosome tetratricopeptide repeat protein;[histone H3]-trimethyl-L-lysine(27) demethylase 6A, KDM6A

Sign In to View Organizational & Contract Pricing.

Select a Size

Change View

About This Item

NACRES:
NA.43
UNSPSC Code:
12352203
Conjugate:
unconjugated
Clone:
4G9, recombinant monoclonal
Application:
ICC, IHC, WB
Citations:
-
Technical Service
Need help? Our team of experienced scientists is here for you.
Let Us Assist


biological source

rabbit

Quality Level

recombinant

expressed in HEK 293 cells

conjugate

unconjugated

antibody form

purified antibody

antibody product type

primary antibodies

clone

4G9, recombinant monoclonal

description

4G9 Clone

product line

ZooMAb® learn more

form

lyophilized

mol wt

calculated mol wt 154.18 kDa, observed mol wt ~160 kDa

purified by

using Protein A

species reactivity

human, monkey

species reactivity (predicted by homology)

mouse, rat

packaging

antibody small pack of 25 μL

greener alternative product characteristics

Waste Prevention
Designing Safer Chemicals
Design for Energy Efficiency
Learn more about the Principles of Green Chemistry.

enhanced validation

recombinant expression
Learn more about Antibody Enhanced Validation

sustainability

Greener Alternative Product

technique(s)

immunocytochemistry: suitable, immunohistochemistry: suitable, western blot: suitable

isotype

IgG

epitope sequence

Internal

Protein ID accession no.

UniProt accession no.

greener alternative category

shipped in

ambient

storage temp.

2-8°C

target post-translational modification

unmodified

Gene Information

human ... KDM6A(7403)

General description

Lysine-specific demethylase 6A (UniProt: O15550; also known as EC:1.14.11.68, Histone demethylase UTX, Ubiquitously-transcribed TPR protein on the X chromosome, Ubiquitously-transcribed X chromosome tetratricopeptide repeat protein, [histone H3]-trimethyl-L-lysine(27) demethylase 6A, KDM6A, UTX) is encoded by the KDM6A (also known as UTX) gene (Gene ID: 7403) in human. UTX is a histone demethylase that specifically demethylates lysine 27 of histone H3 and plays a central role in histone code. It is shown to demethylate trimethylated and dimethylated, but not monomethylated H3 lysine 27. It mediates muscle regeneration through its demethylase activity, while it regulates mesoderm differentiation of embryonic stem cells and mammary gland development independent of its demethylase activity. It also plays a role in regulating brown adipocyte thermogenic program. Its levels are shown to be up-regulated during brown adipocyte differentiation and by cold exposure in both brown and white adipose tissue in mice, indicating its potential role in thermogenesis. Mutations in KDM6A gene are a causative factor in Kabuki syndrome that is characterized by congenital mental retardation, postnatal dwarfism, large prominent earlobes, a cleft or high-arched palate, scoliosis, and other abnormalities. This ZooMAbZooMAb® recombinant monoclonal antibody, generated by our propriety technology, offers significantly enhanced specificity, affinity, reproducibility, and stability over conventional monoclonals. (Ref.: Zha, L., et al. (2015). J. Biol. Chem. 290(41); 25151-25163; Lederer, D., et al. (2012). Am. J. Hum. Genet. 90(1); 119-124).
We are committed to bringing you greener alternative products, which adhere to one or more of The 12 Principles of Green Chemistry.This antibody is Preservative-free, produced without the harm or sacrifice of animals and exceptionally stable to allow for ambient shipping and storage if needed and thus aligns with "Waste Prevention", "Designing Safer Chemicals" and "Design for Energy Efficiency". Click here for more information.
ZooMAb® antibodies represent an entirely new generation of recombinant monoclonal antibodies.Each ZooMAb® antibody is manufactured using our proprietary recombinant expression system, purified to homogeneity, and precisely dispensed to produce robust and highly reproducible lot-to-lot consistency. Only top-performing clones are released for use by researchers. Each antibody is validated for high specificity and affinity across multiple applications, including its most commonly used application. ZooMAb® antibodies are reliably available and ready to ship when you need them.

Immunogen

KLH-conjugated linear peptide corresponding to 19 amino acids from the internal region of human Lysine-specific demethylase 6A (KDMA6/UTX).

Application

Quality Control Testing

Evaluated by Western Blotting in HeLa cell lysate.

Western Blotting Analysis: A 1:1,000 dilution of this antibody detected UTX in HeLa cell lysate.

Tested applications

Western Blotting Analysis: A 1:1,000 dilution from a representative lot detected UTX in HaCat and COS-1 cell lysate.

Immunocytochemistry Analysis: A 1:1,000 dilution from a representative lot detected UTX in HeLa cells.

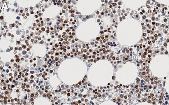
Immunohistochemistry (Paraffin) Analysis: A 1:1,000 dilution from a representative lot detected UTX in human bone marrow tissue sections.

Note: Actual optimal working dilutions must be determined by end user as specimens, and experimental conditions may vary with the end user

Evaluated by Western Blotting in HeLa cell lysate.

Western Blotting Analysis: A 1:1,000 dilution of this antibody detected UTX in HeLa cell lysate.

Biochem/physiol Actions

Clone 4G9 is a ZooMAb® Rabbit recombinant monoclonal antibody that specifically detects Lysine-specific demethylase 6A (KDMA6/UTX). It targets an epitope within 19 amino acids from the internal region.

Physical form

Purified recombinant rabbit monoclonal antibody IgG, lyophilized in PBS, 5% Trehalose, normal appearance a coarse or translucent resin. The PBS/trehalose components in the ZooMAb formulation can have the appearance of a semi-solid (bead like gel) after lyophilization. This is a normal phenomenon. Please follow the recommended reconstitution procedure in the data sheet to dissolve the semi-solid, bead-like, gel-appearing material. The resulting antibody solution is completely stable and functional as proven by full functional testing. Contains no biocide or preservatives, such as azide, or any animal by-products. Larger pack sizes provided as multiples of 25 μL.

Preparation Note

Recommend storage of lyophilized product at 2-8°C; Before reconstitution, micro-centrifuge vials briefly to spin down material to bottom of the vial; Reconstitute each vial by adding 25 μL of filtered lab grade water or PBS; Reconstituted antibodies can be stored at 2-8°C, or -20°C for long term storage. Avoid repeated freeze-thaws.
Reconstitute lyophilized antibody pellet with 25μL of ultrapure water or Phosphate Buffered Saline (PBS). Please refer to our reconstitution protocol and the specific application guidance on the suggested starting dilutions and sample type.

Legal Information

ZooMAb is a registered trademark of Merck KGaA, Darmstadt, Germany

Disclaimer

Unless otherwise stated in our catalog or other company documentation accompanying the product(s), our products are intended for research use only and are not to be used for any other purpose, which includes but is not limited to, unauthorized commercial uses, in vitro diagnostic uses, ex vivo or in vivo therapeutic uses or any type of consumption or application to humans or animals.


Still not finding the right product?

Try our Product Selector Tool to narrow your options


Storage Class

11 - Combustible Solids

wgk

WGK 1

Regulatory Information

常规特殊物品

This item has



Choose from one of the most recent versions:

Certificates of Analysis (COA)

Lot/Batch Number

Don't see the Right Version?

If you require a particular version, you can look up a specific certificate by the Lot or Batch number.

Already Own This Product?

Find documentation for the products that you have recently purchased in the Document Library.

Visit the Document Library



Global Trade Item Number

SKUGTIN
ZRB1897-25UL04065268546246
ZRB1897-4X25UL04065268546253