Skip to Content
Merck
CN

ZRB1914

Anti-PDHA1 Antibody, clone 1B13 ZooMAb® Rabbit Monoclonal

greener alternative

recombinant, expressed in HEK 293 cells

Sign In to View Organizational & Contract Pricing.

Select a Size

Change View

About This Item

NACRES:
NA.43
UNSPSC Code:
12352203
Conjugate:
unconjugated
Clone:
1B13, recombinant monoclonal
Application:
FACS, ICC, IHC (p), WB, affinity binding assay
Citations:
-
Technical Service
Need help? Our team of experienced scientists is here for you.
Let Us Assist


biological source

rabbit

Quality Level

recombinant

expressed in HEK 293 cells

conjugate

unconjugated

antibody form

purified antibody

antibody product type

primary antibodies

clone

1B13, recombinant monoclonal

description

1B13 Clone

product line

ZooMAb® learn more

form

lyophilized

mol wt

calculated mol wt 43.3 kDa, observed mol wt ~40 kDa

purified by

using Protein A

species reactivity

human, mouse, rat

species reactivity (predicted by homology)

bovine, porcine, monkey

packaging

antibody small pack of 25 μL

greener alternative product characteristics

Waste Prevention
Designing Safer Chemicals
Design for Energy Efficiency
Learn more about the Principles of Green Chemistry.

enhanced validation

recombinant expression
Learn more about Antibody Enhanced Validation

sustainability

Greener Alternative Product

technique(s)

affinity binding assay: suitable, flow cytometry: suitable, immunocytochemistry: suitable, immunohistochemistry (formalin-fixed, paraffin-embedded sections): suitable, western blot: suitable

isotype

IgG

epitope sequence

N-terminal half

Protein ID accession no.

UniProt accession no.

greener alternative category

shipped in

ambient

storage temp.

2-8°C

target post-translational modification

unmodified

Gene Information

human ... PDHA1(5160)

General description

Pyruvate dehydrogenase E1 component subunit alpha, somatic form, mitochondrial (UniProt: P08559; also known as EC:1.2.4.1, PDHE1-A type I) is encoded by the PDHA1 (also known as PHE1A) gene (Gene ID: 5160) in human. The pyruvate dehydrogenase complex catalyzes the overall conversion of pyruvate to acetyl-CoA and CO2, and thereby links the glycolytic pathway to the tricarboxylic cycle. The pyruvate dehydrogenase complex (PDC) is a tightly organized arrangement of polypeptides and cofactors that work in a sequential manner in the multi-enzyme complex catalyzing a multi-step reaction in which pyruvate is converted into acetyl-CoA and CO2. The intermediate substrates and products remain bound to the complex, increasing overall efficiency. This complex contains three catalytic enzymes (E1, E2, E3), two regulatory enzymes, and a binding protein and requires cofactors TPP, lipoic acid, and FAD. E1 (PDHA1) is a ubiquitously distributed mitochondrial matrix protein that is synthesized with a mitochondrial transit peptide (aa 1-29), which is subsequently cleaved off to produce the mature active form. It is considered as a rate limiting step of PDC. Its activity is regulated by phosphatases that activate it and kinases that inhibit the enzyme activity. Phosphorylation at Ser-232, Ser-293 and Ser-300 by PDK family of kinases is known to inactivate the enzyme and phosphorylation at a single site is sufficient to cause this inactivation. However, dephosphorylation at all three sites is required for reactivation. E2 is responsible for transferring the hydroxyethyl group from TPP to an oxidized form of covalently bound lipoamide, and the resulting acetyl group is then transferred to free coenzyme A to form acetyl-CoA and reduced dihydrolipoamide-E2. E3 re-oxidizes the lipoyl group of dihydrolipoamide-E2 to form lipoamide-E2 and NADH. Mutations in PDHA1 gene are known to cause E1 deficiency that results in primary lactic acidosis in children. This ZooMAbZooMAb® recombinant monoclonal antibody, generated by our propriety technology, offers significantly enhanced specificity, affinity, reproducibility, and stability over conventional monoclonals.
We are committed to bringing you greener alternative products, which adhere to one or more of The 12 Principles of Green Chemistry.This antibody is Preservative-free, produced without the harm or sacrifice of animals and exceptionally stable to allow for ambient shipping and storage if needed and thus aligns with "Waste Prevention", "Designing Safer Chemicals" and "Design for Energy Efficiency". Click here for more information.
ZooMAb® antibodies represent an entirely new generation of recombinant monoclonal antibodies.Each ZooMAb® antibody is manufactured using our proprietary recombinant expression system, purified to homogeneity, and precisely dispensed to produce robust and highly reproducible lot-to-lot consistency. Only top-performing clones are released for use by researchers. Each antibody is validated for high specificity and affinity across multiple applications, including its most commonly used application. ZooMAb® antibodies are reliably available and ready to ship when you need them.

Immunogen

KLH-conjugated linear peptide corresponding to 19 amino acids from the N-terminal half of human Pyruvate dehydrogenase E1a (PDHA1).

Application

Quality Control Testing

Evaluated by Western Blotting in Rat liver tissue lysate.

Western Blotting Analysis: A 1:1,000 dilution of this antibody detected PDHA1 in Rat liver tissue lysate.

Tested applications

Western Blotting Analysis: A 1:1,000 dilution from a representative lot detected PDHA1 in lysates from human kidney tissue and NIH3T3 cells.

Affinity Binding Assay: A representative lot of this antibody bound PDHA1 with a KD of 2.6 x 10-7 in an affinity binding assay.

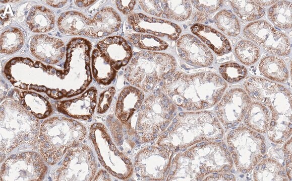
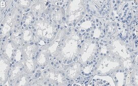
Immunohistochemistry (Paraffin) Analysis: A 1:100 dilution from a representative lot detected PDHA1 in human kidney tissue sections.

Flow Cytometry Analysis: 1 μg from a representative lot detected PDHA1 in one million A549 cells.

Immunocytochemistry Analysis: A 1:100 dilution from a representative lot detected PDHA1 in A549 cells.

Note: Actual optimal working dilutions must be determined by end user as specimens, and experimental conditions may vary with the end user

Biochem/physiol Actions

Clone 1B13 is a ZooMAb® rabbit recombinant monoclonal antibody that specifically detects PDHA1. It targets an epitope within 19 amino acids from the N-terminal half.

Physical form

Purified recombinant rabbit monoclonal antibody IgG, lyophilized in PBS, 5% Trehalose, normal appearance a coarse or translucent resin. The PBS/trehalose components in the ZooMAb formulation can have the appearance of a semi-solid (bead like gel) after lyophilization. This is a normal phenomenon. Please follow the recommended reconstitution procedure in the data sheet to dissolve the semi-solid, bead-like, gel-appearing material. The resulting antibody solution is completely stable and functional as proven by full functional testing. Contains no biocide or preservatives, such as azide, or any animal by-products. Larger pack sizes provided as multiples of 25 μL.

Preparation Note

Recommend storage of lyophilized product at 2-8°C; Before reconstitution, micro-centrifuge vials briefly to spin down material to bottom of the vial; Reconstitute each vial by adding 25 μL of filtered lab grade water or PBS; Reconstituted antibodies can be stored at 2-8°C, or -20°C for long term storage. Avoid repeated freeze-thaws.
Reconstitute lyophilized antibody pellet with 25μL of ultrapure water or Phosphate Buffered Saline (PBS). Please refer to our reconstitution protocol and the specific application guidance on the suggested starting dilutions and sample type.

Legal Information

ZooMAb is a registered trademark of Merck KGaA, Darmstadt, Germany

Disclaimer

Unless otherwise stated in our catalog or other company documentation accompanying the product(s), our products are intended for research use only and are not to be used for any other purpose, which includes but is not limited to, unauthorized commercial uses, in vitro diagnostic uses, ex vivo or in vivo therapeutic uses or any type of consumption or application to humans or animals.


Still not finding the right product?

Try our Product Selector Tool to narrow your options


Storage Class

13 - Non Combustible Solids

wgk

WGK 1

flash_point_f

Not applicable

flash_point_c

Not applicable

Regulatory Information

常规特殊物品

This item has



Choose from one of the most recent versions:

Certificates of Analysis (COA)

Lot/Batch Number

It looks like we've run into a problem, but you can still download Certificates of Analysis from our Documents section.

If you need assistance, please contact Customer Support

Already Own This Product?

Find documentation for the products that you have recently purchased in the Document Library.

Visit the Document Library


Articles

Learn about the hallmarks of cancer and find reliable ZooMAb® recombinant antibodies to study them, conveniently organized by cancer hallmark.





Global Trade Item Number

SKUGTIN
ZRB1914-25UL04065268021163
ZRB1914-4X25UL04065268021170