Skip to Content
Merck
CN

ZRB1929

Anti-PKR Antibody, clone 2H14 ZooMAb® Rabbit Monoclonal

greener alternative

recombinant, expressed in HEK 293 cells

Synonym(s):

Interferon-induced, double-stranded RNA-activated protein kinase;EC:2.7.11.1;Eukaryotic translation initiation factor 2-alpha kinase 2;eIF-2A protein kinase 2;Interferon-inducible RNA-dependent protein kinase;P1/eIF-2A protein kinase;Protein kinase RNA-ac

Sign In to View Organizational & Contract Pricing.

Select a Size

Change View

About This Item

NACRES:
NA.43
UNSPSC Code:
12352203
Conjugate:
unconjugated
Clone:
2H14, recombinant monoclonal
Application:
FACS, ICC, IHC, WB, affinity binding assay
Citations:
-
Technical Service
Need help? Our team of experienced scientists is here for you.
Let Us Assist


biological source

rabbit

Quality Level

recombinant

expressed in HEK 293 cells

conjugate

unconjugated

antibody form

purified antibody

antibody product type

primary antibodies

clone

2H14, recombinant monoclonal

description

2H14 Clone

product line

ZooMAb® learn more

form

lyophilized

mol wt

calculated mol wt 62.09 kDa, observed mol wt ~62 kDa

purified by

using Protein A

species reactivity

rat, human

packaging

antibody small pack of 25 μL

greener alternative product characteristics

Waste Prevention
Designing Safer Chemicals
Design for Energy Efficiency
Learn more about the Principles of Green Chemistry.

enhanced validation

recombinant expression
Learn more about Antibody Enhanced Validation

sustainability

Greener Alternative Product

technique(s)

affinity binding assay: suitable, flow cytometry: suitable, immunocytochemistry: suitable, immunohistochemistry: suitable, western blot: suitable

isotype

IgG

epitope sequence

N-terminal half

Protein ID accession no.

UniProt accession no.

greener alternative category

shipped in

ambient

storage temp.

2-8°C

target post-translational modification

unmodified

Gene Information

human ... EIF2AK2(5610)

General description

Interferon-induced, double-stranded RNA-activated protein kinase (UniProt: P19525; also known as EC:2.7.11.1, Eukaryotic translation initiation factor 2-alpha kinase 2, eIF-2A protein kinase 2, Interferon-inducible RNA-dependent protein kinase, P1/eIF-2A protein kinase, Protein kinase RNA-activated, PKR, Protein kinase R, Tyrosine-protein kinase EIF2AK2, p68 kinase) is encoded by the EIF2AK2 (also known as PKR, PRKR) gene (Gene ID: 5610) in human. PKR is a homodimeric protein that is highly expressed in thymus, spleen, and bone marrow. Elevated levels of PKR are also detected in breast and colon carcinomas that correlates with tumor progression and invasiveness. PKR is initially produced in an inactive form and is activated by binding to viral dsRNA, which causes dimerization and autophosphorylation in the activation loop and stimulation of function. It serves as an interferon-induced dsRNA-dependent serine/threonine kinase that phosphorylates the -subunit of eukaryotic translation initiation factor 2 (eIF-2 ) and plays a key role in the innate immune response to viral infections. It inhibits viral replication via the integrated stress response and displays antiviral activity against a wide range of DNA and RNA viruses, including HCV, HBV, and HHV-1. In addition to serine/threonine-protein kinase activity, it also has tyrosine-protein kinase activity and is reported to phosphorylate Cdk1 at tyrosine 4 upon DNA damage, facilitating its ubiquitination and proteasomal degradation. Either as an adapter protein and/or via its kinase activity, it can regulate various signaling pathways, including p38 MAP kinase, NF-kB, insulin signaling, and activity of various transcription factors involved in the expression of genes encoding pro-inflammatory cytokines and interferons. This ZooMAbZooMAb® recombinant monoclonal antibody, generated by our propriety technology, offers significantly enhanced specificity, affinity, reproducibility, and stability over conventional monoclonals. (Ref.: MacAllister, CS., et al. (2012). J. Biol. Chem. 287(43); 36384-36392; Park, IH., et al. (2011). Mol. Cell. 32(2); 167-172; Su, Q., et al. (2006). Proc. Natl. Acad. Sci. USA. 103(1); 63-68).
We are committed to bringing you greener alternative products, which adhere to one or more of The 12 Principles of Green Chemistry.This antibody is Preservative-free, produced without the harm or sacrifice of animals and exceptionally stable to allow for ambient shipping and storage if needed and thus aligns with "Waste Prevention", "Designing Safer Chemicals" and "Design for Energy Efficiency". Click here for more information.
ZooMAb® antibodies represent an entirely new generation of recombinant monoclonal antibodies.Each ZooMAb® antibody is manufactured using our proprietary recombinant expression system, purified to homogeneity, and precisely dispensed to produce robust and highly reproducible lot-to-lot consistency. Only top-performing clones are released for use by researchers. Each antibody is validated for high specificity and affinity across multiple applications, including its most commonly used application. ZooMAb® antibodies are reliably available and ready to ship when you need them.

Immunogen

His-tagged recombinant fragment corresponding to 264 amino acids from the N-terminal half of human Interferon-induced, double-stranded RNA-activated protein kinase (PKR).

Application

Quality Control Testing

Evaluated by Western Blotting in SH-SY5Y cell lysate.

Western Blotting Analysis: A 1:1,000 dilution of this antibody detected PKR in SH-SY5Y cell lysate.

Tested applications

Western Blotting Analysis: A 1:1,000 dilution from a representative lot detected PKR in HeLa and C6 cell lysates.

Immunocytochemistry Analysis: A 1:100 dilution from a representative lot detected PKR in HeLa cells.

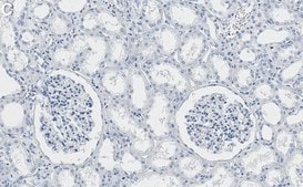
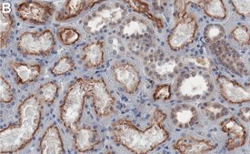
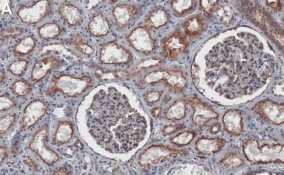
Immunohistochemistry (Paraffin) Analysis: A 1:100 dilution from a representative lot detected PKR in human kidney tissue sections.

Affinity Binding Assay: A representative lot of this antibody bound recombinant Human PKR protein fragment with a KD of 2.5 x 10-7 in an affinity binding assay.

Flow Cytometry Analysis: 0.1 μg from a representative lot detected PKR in one million HeLa and MCF-7 cells.

Note: Actual optimal working dilutions must be determined by end user as specimens, and experimental conditions may vary with the end user

Evaluated by Western Blotting in SH-SY5Y cell lysate.

Western Blotting Analysis: A 1:1,000 dilution of this antibody detected PKR in SH-SY5Y cell lysate.

Biochem/physiol Actions

Clone 2H14 is a ZooMAb® Rabbit recombinant monoclonal antibody that specifically detects Interferon-induced, double-stranded RNA-activated protein kinase (PKR). It targets an epitope within the N-terminal half.

Physical form

Purified recombinant rabbit monoclonal antibody IgG, lyophilized in PBS, 5% Trehalose, normal appearance a coarse or translucent resin. The PBS/trehalose components in the ZooMAb formulation can have the appearance of a semi-solid (bead like gel) after lyophilization. This is a normal phenomenon. Please follow the recommended reconstitution procedure in the data sheet to dissolve the semi-solid, bead-like, gel-appearing material. The resulting antibody solution is completely stable and functional as proven by full functional testing. Contains no biocide or preservatives, such as azide, or any animal by-products. Larger pack sizes provided as multiples of 25 μL.

Preparation Note

Recommend storage of lyophilized product at 2-8°C; Before reconstitution, micro-centrifuge vials briefly to spin down material to bottom of the vial; Reconstitute each vial by adding 25 μL of filtered lab grade water or PBS; Reconstituted antibodies can be stored at 2-8°C, or -20°C for long term storage. Avoid repeated freeze-thaws.
Reconstitute lyophilized antibody pellet with 25μL of ultrapure water or Phosphate Buffered Saline (PBS). Please refer to our reconstitution protocol and the specific application guidance on the suggested starting dilutions and sample type.

Legal Information

ZooMAb is a registered trademark of Merck KGaA, Darmstadt, Germany

Disclaimer

Unless otherwise stated in our catalog or other company documentation accompanying the product(s), our products are intended for research use only and are not to be used for any other purpose, which includes but is not limited to, unauthorized commercial uses, in vitro diagnostic uses, ex vivo or in vivo therapeutic uses or any type of consumption or application to humans or animals.


Still not finding the right product?

Try our Product Selector Tool to narrow your options


Storage Class

11 - Combustible Solids

wgk

WGK 1

flash_point_f

Not applicable

flash_point_c

Not applicable

Regulatory Information

常规特殊物品

This item has



Choose from one of the most recent versions:

Certificates of Analysis (COA)

Lot/Batch Number

Don't see the Right Version?

If you require a particular version, you can look up a specific certificate by the Lot or Batch number.

Already Own This Product?

Find documentation for the products that you have recently purchased in the Document Library.

Visit the Document Library



Global Trade Item Number

SKUGTIN
ZRB1929-4X25UL04065268764848
ZRB1929-25UL04065268764831