Skip to Content
Merck
CN

ZRB2065

Anti-Ku70/XRCC6 Antibody, clone 1D19-L1 ZooMAb® Rabbit Monoclonal

greener alternative

recombinant, expressed in HEK 293 cells

Synonym(s):

5′-dRP lyase Ku70, 5′-deoxyribose-5-phosphate lyase Ku70, 70 kDa subunit of Ku antigen, ATP-dependent DNA helicase 2 subunit 1, ATP-dependent DNA helicase II 70 kDa subunit, CTC box-binding factor 75 kDa subunit, CTC75, CTCBF, DNA repair protein XRCC6, Lupus Ku autoantigen protein p70, TLAA, Thyroid-lupus autoantigen, X-ray repair complementing defective repair in Chinese hamster cells 6, X-ray repair cross-complementing protein 6

Sign In to View Organizational & Contract Pricing.

Select a Size

Change View

About This Item

NACRES:
NA.41
UNSPSC Code:
12352203
Conjugate:
unconjugated
Clone:
1D19-L1, recombinant monoclonal
Application:
IF, IHC, WB
Citations:
-
Technical Service
Need help? Our team of experienced scientists is here for you.
Let Us Assist


biological source

rabbit

Quality Level

recombinant

expressed in HEK 293 cells

conjugate

unconjugated

antibody form

purified antibody

antibody product type

primary antibodies

clone

1D19-L1, recombinant monoclonal

description

1D19-L1 Clone

product line

ZooMAb® learn more

form

lyophilized

mol wt

calculated mol wt 69.84 kDa, observed mol wt ~70 kDa

purified by

using Protein A

species reactivity

human

packaging

antibody small pack of 25 μL

greener alternative product characteristics

Waste Prevention
Designing Safer Chemicals
Design for Energy Efficiency
Learn more about the Principles of Green Chemistry.

enhanced validation

recombinant expression
Learn more about Antibody Enhanced Validation

technique(s)

immunofluorescence: suitable, immunohistochemistry: suitable, western blot: suitable

isotype

IgG

epitope sequence

C-terminal half

Protein ID accession no.

UniProt accession no.

greener alternative category

shipped in

ambient

storage temp.

2-8°C

Gene Information

human ... XRCC6(2547)

General description

We are committed to bringing you greener alternative products, which adhere to one or more of The 12 Principles of Green Chemistry. This antibody is Preservative-free, produced without the harm or sacrifice of animals and exceptionally stable to allow for ambient shipping and storage if needed and thus aligns with "Waste Prevention", "Designing Safer Chemicals" and "Design for Energy Efficiency". Click here for more information.
X-ray repair cross-complementing protein 6 (UniProt: P12956; also known as 5′-deoxyribose-5-phosphate lyase Ku70, 5′-dRP lyase Ku70, 70 kDa subunit of Ku antigen, ATP-dependent DNA helicase 2 subunit 1, ATP-dependent DNA helicase II 70 kDa subunit, CTC box-binding factor 75 kDa subunit, CTC75, CTCBF, DNA repair protein XRCC6. Lupus Ku autoantigen protein p70, Ku70, Thyroid-lupus autoantigen, TLAA, X-ray repair complementing defective repair in Chinese hamster cells 6) is encoded by the XRCC6 (also known as G22P1) gene (Gene ID: 2547) in human. Ku autoantigen is a heterodimeric protein composed of Ku70 and Ku80. Ku70 is an evolutionarily conserved protein that binds to DNA double-strand break ends and helps repair DNA via the non-homologous end-joining (NHEJ) pathway. The Ku70/Ku80 dimer associates in a DNA-dependent manner with PRKDC to form the DNA-dependent protein kinase complex DNA-PK, and with the LIG4-XRCC4 complex to form the core of the non-homologous end joining (NHEJ) complex. The assembly of the DNA-PK complex to DNA ends is required for the NHEJ ligation step. Ku70 serves as a cytosolic DNA sensor that induces the production of IFN-λ1, a type III IFN, in primary human cell lines after viral infection after translocating from nucleus to cytosol to interact with STING. Its Ku domain is localized in amino acids 261-468. Two isoforms of Ku70 have been described that are produced by alternative splicing. This ZooMAb® recombinant monoclonal antibody, generated by our propriety technology, offers significantly enhanced specificity, affinity, reproducibility, and stability over conventional monoclonals. (Ref.: Sui, H., et al. (2017). Sci. Signaling 10(488); eaah5054; Fell, VL., and Schild-Poulter, C. (2012). Mol. Cell Biol. 32(1); 76-87; Walker, JR., et al. (2001). Nature. 412(6847); 607-614).
ZooMAb® antibodies represent an entirely new generation of recombinant monoclonal antibodies. Each ZooMAb® antibody is manufactured using our proprietary recombinant expression system, purified to homogeneity, and precisely dispensed to produce robust and highly reproducible lot-to-lot consistency. Only top-performing clones are released for use by researchers. Each antibody is validated for high specificity and affinity across multiple applications, including its most commonly used application. ZooMAb® antibodies are reliably available and ready to ship when you need them.

Immunogen

KLH-conjugated linear peptide corresponding to 21 amino acids from the C-terminal half of human Ku70/XRCC6.

Application

Quality Control Testing

Evaluated by Western Blotting in Raji cell lysate.

Western Blotting Analysis: A 1:10,000 dilution of this antibody detected Ku70/XRCC6 in Raji cell lysate.

Tested Applications

Western Blotting Analysis: A 1:10,000 dilution from a representative lot detected Ku70/XRCC6 in HEK293 cell lysate.

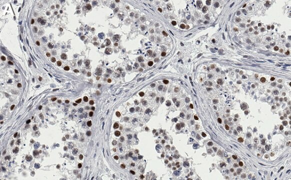
Immunohistochemistry (Paraffin) Analysis: A 1:100 dilution from a representative lot detected Ku70/XRCC6 in Human testis tissue sections.

Immunofluorescence Analysis: A 1:100 dilution from a representative lot detected Ku70/XRCC6 in Human testis tissue sections.

Note: Actual optimal working dilutions must be determined by end user as specimens, and experimental conditions may vary with the end user.

Biochem/physiol Actions

Clone 1D19-L1 is a ZooMAb® rabbit recombinant monoclonal antibody that specifically detects Ku70/XRCC6. It targets an epitope within 21 amino acids from the C-terminal half.

Physical form

Purified recombinant rabbit monoclonal antibody IgG, lyophilized in PBS, 5% Trehalose, normal appearance a coarse or translucent resin. The PBS/trehalose components in the ZooMAb formulation can have the appearance of a semi-solid (bead like gel) after lyophilization. This is a normal phenomenon. Please follow the recommended reconstitution procedure in the data sheet to dissolve the semi-solid, bead-like, gel-appearing material. The resulting antibody solution is completely stable and functional as proven by full functional testing. Contains no biocide or preservatives, such as azide, or any animal by-products. Larger pack sizes provided as multiples of 25 µL.

Preparation Note

Recommend storage of lyophilized product at 2-8°C; Before reconstitution, micro-centrifuge vials briefly to spin down material to bottom of the vial; Reconstitute each vial by adding 25 µL of filtered lab grade water or PBS; Reconstituted antibodies can be stored at 2-8°C, or -20°C for long term storage. Avoid repeated freeze-thaws.
Reconstitute lyophilized antibody pellet with 25μL of ultrapure water or Phosphate Buffered Saline (PBS). Please refer to our reconstitution protocol and the specific application guidance on the suggested starting dilutions and sample type.

Other Notes

Concentration: Please refer to the Certificate of Analysis for the lot-specific concentration.

Legal Information

ZooMAb is a registered trademark of Merck KGaA, Darmstadt, Germany

Disclaimer

Unless otherwise stated in our catalog or other company documentation accompanying the product(s), our products are intended for research use only and are not to be used for any other purpose, which includes but is not limited to, unauthorized commercial uses, in vitro diagnostic uses, ex vivo or in vivo therapeutic uses or any type of consumption or application to humans or animals.


Still not finding the right product?

Try our Product Selector Tool to narrow your options


Storage Class

11 - Combustible Solids

wgk

WGK 1

flash_point_f

Not applicable

flash_point_c

Not applicable

Regulatory Information

常规特殊物品

This item has



Choose from one of the most recent versions:

Certificates of Analysis (COA)

Lot/Batch Number

It looks like we've run into a problem, but you can still download Certificates of Analysis from our Documents section.

If you need assistance, please contact Customer Support

Already Own This Product?

Find documentation for the products that you have recently purchased in the Document Library.

Visit the Document Library



Global Trade Item Number

SKUGTIN
ZRB2065-25UL04065269092469
ZRB2065-4X25UL04065269092476