Skip to Content
Merck
CN

ZRB2138

Anti-NDUFB8 Antibody, clone 1E7 ZooMAb® Rabbit Monoclonal

greener alternative

recombinant, expressed in HEK 293 cells

Synonym(s):

NADH dehydrogenase [ubiquinone] 1 beta subcomplex subunit 8 mitochondrial; (UniProt: O95169; also known as Complex I-ASHI, CI-ASHI, NADH-ubiquinone oxidoreductase ASHI subunit

Sign In to View Organizational & Contract Pricing.

Select a Size

Change View

About This Item

NACRES:
NA.43
UNSPSC Code:
12352203
Conjugate:
unconjugated
Clone:
1E7, recombinant monoclonal
Application:
ICC, IHC, WB, affinity binding assay
Citations:
-
Technical Service
Need help? Our team of experienced scientists is here for you.
Let Us Assist


biological source

rabbit

Quality Level

recombinant

expressed in HEK 293 cells

conjugate

unconjugated

antibody form

purified antibody

antibody product type

primary antibodies

clone

1E7, recombinant monoclonal

description

1E7 Clone

product line

ZooMAb® learn more

form

lyophilized

mol wt

calculated mol wt 21.77 kDa, observed mol wt ~18 kDa

purified by

using Protein A

species reactivity

human, rat

packaging

antibody small pack of 25 μL

greener alternative product characteristics

Waste Prevention
Designing Safer Chemicals
Design for Energy Efficiency
Learn more about the Principles of Green Chemistry.

enhanced validation

recombinant expression
Learn more about Antibody Enhanced Validation

sustainability

Greener Alternative Product

technique(s)

affinity binding assay: suitable, immunocytochemistry: suitable, immunohistochemistry: suitable, western blot: suitable

isotype

IgG

epitope sequence

Internal

Protein ID accession no.

UniProt accession no.

greener alternative category

shipped in

ambient

storage temp.

2-8°C

target post-translational modification

unmodified

Gene Information

human ... NDUFB8(4714)

General description

NADH dehydrogenase [ubiquinone] 1 beta subcomplex subunit 8, mitochondrial (UniProt: O95169; also known as Complex I-ASHI, CI-ASHI, NADH-ubiquinone oxidoreductase ASHI subunit) is encoded by the NDUFB8 gene (Gene ID: 4714) in human. In order to efficiently produce energy for all anabolic and maintenance functions, mitochondria are endowed with five different enzyme complexes. Complexes I, II, III, and IV are the electron transfer complexes, whereas complex V is an energy-conserving complex. NDUFB8 is an accessory subunit of the mitochondrial membrane respiratory chain NADH dehydrogenase (Complex I), that is not involved in catalysis. Complex I, which is embedded in the mitochondrial inner membrane, is composed of 45 different subunits and functions in the transfer of electrons from NADH to the respiratory chain. The immediate electron acceptor for the enzyme is believed to be ubiquinone. NDUFB8 is a single-pass membrane protein that is synthesized with a transit peptide (aa 1-28), which is subsequently cleaved off. Its transmembrane domain is localized in amino acids 133-154. Mutations in NDUFB8 gene are known to cause mitochondrial complex ! deficiency of nuclear type 32. It is the most common biochemical signature of mitochondrial disorders that leads to defective oxidative phosphorylation. Reactive nitrogen species is shown to induce nitration of NDUFB8 in endothelial cells and leads to alterations in mitochondrial membrane potential and inhibition of mitochondrial bioenergetics. Three isoforms of NDUFB8 have been described that are produced by alternative splicing. This ZooMAbZooMAb® recombinant monoclonal antibody, generated by our propriety technology, offers significantly enhanced specificity, affinity, reproducibility, and stability over conventional monoclonals. (Ref.: Stroud, DA., et al. (2016). Nature. 538(7623); 123-126; Szklarczyk, R., et al. (2011). FEBS Lett. 585(5); 737-743; Davis, CW., et al. (2010). Free Radic. Biol. Med. 48(2); 306-317).
We are committed to bringing you greener alternative products, which adhere to one or more of The 12 Principles of Green Chemistry.This antibody is Preservative-free, produced without the harm or sacrifice of animals and exceptionally stable to allow for ambient shipping and storage if needed and thus aligns with "Waste Prevention", "Designing Safer Chemicals" and "Design for Energy Efficiency". Click here for more information.
ZooMAb® antibodies represent an entirely new generation of recombinant monoclonal antibodies.Each ZooMAb® antibody is manufactured using our proprietary recombinant expression system, purified to homogeneity, and precisely dispensed to produce robust and highly reproducible lot-to-lot consistency. Only top-performing clones are released for use by researchers. Each antibody is validated for high specificity and affinity across multiple applications, including its most commonly used application. ZooMAb® antibodies are reliably available and ready to ship when you need them.

Immunogen

KLH-conjugated linear peptide corresponding to 23 amino acids from the internal region of human NADH dehydrogenase [ubiquinone] 1 beta subcomplex subunit 8, mitochondrial (NDUFB8).

Application

Quality Control Testing

Evaluated by Western Blotting in A549 cell lysate.

Western Blotting Analysis: A 1:1,000 dilution of this antibody detected NDUFB8 in A549 cell lysate.

Tested applications

Western Blotting Analysis: A 1:1,000 dilution from a representative lot detected NDUFB8 in lysates from C6 and HEK293 cells and Human heart tissue.

Affinity Binding Assay: A representative lot of this antibody bound NDUFB8 peptide with a KD of 1.2 x 10-7 in an affinity binding assay.

Immunocytochemistry Analysis: A 1:100 dilution from a representative lot detected NDUFB8 in HepG2 cells.

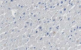
Immunohistochemistry (Paraffin) Analysis: A 1:100 dilution from a representative lot detected NDUFB8 in human heart tissue sections.

Note: Actual optimal working dilutions must be determined by end user as specimens, and experimental conditions may vary with the end user

Evaluated by Western Blotting in A549 cell lysate.

Western Blotting Analysis: A 1:1,000 dilution of this antibody detected NDUFB8 in A549 cell lysate.

Biochem/physiol Actions

Clone 1E7 is a ZooMAb® Rabbit recombinant monoclonal antibody that specifically detects NADH dehydrogenase [ubiquinone] 1 beta subcomplex subunit 8, mitochondrial (NDUFB8). It targets an epitope within 23 amino acids from the internal region.

Physical form

Purified recombinant rabbit monoclonal antibody IgG, lyophilized in PBS, 5% Trehalose, normal appearance a coarse or translucent resin. The PBS/trehalose components in the ZooMAb formulation can have the appearance of a semi-solid (bead like gel) after lyophilization. This is a normal phenomenon. Please follow the recommended reconstitution procedure in the data sheet to dissolve the semi-solid, bead-like, gel-appearing material. The resulting antibody solution is completely stable and functional as proven by full functional testing. Contains no biocide or preservatives, such as azide, or any animal by-products. Larger pack sizes provided as multiples of 25 μL.

Preparation Note

Recommend storage of lyophilized product at 2-8°C; Before reconstitution, micro-centrifuge vials briefly to spin down material to bottom of the vial; Reconstitute each vial by adding 25 μL of filtered lab grade water or PBS; Reconstituted antibodies can be stored at 2-8°C, or -20°C for long term storage. Avoid repeated freeze-thaws.
Reconstitute lyophilized antibody pellet with 25μL of ultrapure water or Phosphate Buffered Saline (PBS). Please refer to our reconstitution protocol and the specific application guidance on the suggested starting dilutions and sample type.

Legal Information

ZooMAb is a registered trademark of Merck KGaA, Darmstadt, Germany

Disclaimer

Unless otherwise stated in our catalog or other company documentation accompanying the product(s), our products are intended for research use only and are not to be used for any other purpose, which includes but is not limited to, unauthorized commercial uses, in vitro diagnostic uses, ex vivo or in vivo therapeutic uses or any type of consumption or application to humans or animals.


Still not finding the right product?

Try our Product Selector Tool to narrow your options


Storage Class

11 - Combustible Solids

wgk

WGK 1

flash_point_f

Not applicable

flash_point_c

Not applicable

Regulatory Information

常规特殊物品

This item has



Choose from one of the most recent versions:

Certificates of Analysis (COA)

Lot/Batch Number

Don't see the Right Version?

If you require a particular version, you can look up a specific certificate by the Lot or Batch number.

Already Own This Product?

Find documentation for the products that you have recently purchased in the Document Library.

Visit the Document Library



Global Trade Item Number

SKUGTIN
ZRB2138-25UL04065268764893
ZRB2138-4X25UL04065268764909