Skip to Content
Merck
CN

ZRB2249

Anti-Hexokinase-2 Antibody, clone 1F3 ZooMAb® Rabbit Monoclonal

greener alternative

recombinant, expressed in HEK 293 cells

Synonym(s):

EC:2.7.1.1, HK II, Hexokinase type II, Hexokinase-B, Muscle form hexokinase

Sign In to View Organizational & Contract Pricing.

Select a Size

Change View

About This Item

NACRES:
NA.41
UNSPSC Code:
12352203
Conjugate:
unconjugated
Clone:
1F3, recombinant monoclonal
Application:
FACS, IHC, WB, affinity binding assay
Citations:
-
Technical Service
Need help? Our team of experienced scientists is here for you.
Let Us Assist


biological source

rabbit

Quality Level

recombinant

expressed in HEK 293 cells

conjugate

unconjugated

antibody form

purified antibody

antibody product type

primary antibodies

clone

1F3, recombinant monoclonal

description

1F3 Clone

product line

ZooMAb® learn more

form

lyophilized

mol wt

calculated mol wt 102.38 kDa, observed mol wt ~110 kDa

purified by

using Protein A

species reactivity

mouse, human

species reactivity (predicted by homology)

monkey

packaging

antibody small pack of 25 μL

greener alternative product characteristics

Waste Prevention
Designing Safer Chemicals
Design for Energy Efficiency
Learn more about the Principles of Green Chemistry.

enhanced validation

recombinant expression
Learn more about Antibody Enhanced Validation

technique(s)

affinity binding assay: suitable, flow cytometry: suitable, immunohistochemistry: suitable, western blot: suitable

isotype

IgG

epitope sequence

N-terminal half

Protein ID accession no.

UniProt accession no.

greener alternative category

shipped in

ambient

storage temp.

2-8°C

Gene Information

human ... HK2(3099)

General description

Hexokinase-2 (UniProt: P52789; also known as EC:2.7.1.1, Hexokinase type II, HK II, Hexokinase-B, Muscle form hexokinase) is encoded by the HK2 gene (Gene ID: 3099) in human. Hexokinase-2 is a monomeric enzyme that is predominantly expressed in insulin-responsive tissues. It catalyzes the phosphorylation of glucose to produce glucose-6-phosphate, the initial step in glycolysis. It plays a key role in maintaining the integrity of the outer mitochondrial membrane by preventing the release of apoptogenic molecules from the intermembrane space and subsequent apoptosis. It is synthesized with a mitochondrial binding peptide (aa 1-16) and its N-and C-terminal halves contain a hexokinase domain, both of which display catalytic activity. Hexokinase-2 activity is elevated in tumor cells, which is crucial for the Warburg effect and for supporting the highly glycolytic nature of cancer cells.  The elevated amount of hexokinase-2 binds both the ATP and the incoming glucose to produce large amounts of glucose-6-phosphate that supports cell proliferation. In contrast to normal brain and low-grade glioma, which express hexokinase-1, glioblastoma multiforme has elevated levels of hexokinase-2 that correlates with worse overall survival rates. This ZooMAb® recombinant monoclonal antibody, generated by our propriety technology, offers significantly enhanced specificity, affinity, reproducibility, and stability over conventional monoclonals. (Ref.: Wolf, A., et al. (2011). J. Exp. Med. 208(2); 313-326; Chiara, F., et al. (2008). PLoS One. 3(3); e1852; Mathupala,SP., et al. (2006). Oncogene. 25(34); 4777-4786).
We are committed to bringing you greener alternative products, which adhere to one or more of The 12 Principles of Green Chemistry. This antibody is Preservative-free, produced without the harm or sacrifice of animals and exceptionally stable to allow for ambient shipping and storage if needed and thus aligns with "Waste Prevention", "Designing Safer Chemicals" and "Design for Energy Efficiency". Click here for more information.
ZooMAb® antibodies represent an entirely new generation of recombinant monoclonal antibodies. Each ZooMAb® antibody is manufactured using our proprietary recombinant expression system, purified to homogeneity, and precisely dispensed to produce robust and highly reproducible lot-to-lot consistency. Only top-performing clones are released for use by researchers. Each antibody is validated for high specificity and affinity across multiple applications, including its most commonly used application. ZooMAb® antibodies are reliably available and ready to ship when you need them.

Immunogen

KLH-conjugated linear peptide corresponding to 22 amino acids from the N-terminal half of human Hexokinase-2.

Application

Quality Control Testing

Evaluated by Western Blotting in HeLa cell lysate.

Western Blotting Analysis: A 1:1,000 dilution of this antibody detected Hexokinase-2 in HeLa cell lysate.

Tested Applications

Western Blotting Analysis: A 1:1,000 dilution of a representative lot detected Hexokinase-2 in HCT116 and RAW264.7 cell lysates.

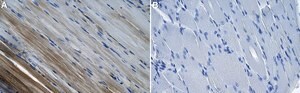
Immunohistochemistry (Paraffin) Analysis: A 1:100 dilution of a representative lot detected Hexokinase-2 in human skeletal muscle tissue sections.

Affinity Binding Assay: A representative lot of this antibody bound Hexokinase-2 peptide with a KD of 2.2 x 10-6 in an affinity binding assay.

Flow Cytometry Analysis: 0.1 µg of a representative lot detected Hexokinase-2 in one million HeLa cells.

Note: Actual optimal working dilutions must be determined by end user as specimens, and experimental conditions may vary with the end user.

Biochem/physiol Actions

Clone 1F3 is a ZooMAb® rabbit recombinant monoclonal antibody that specifically detects Hexokinase -2. It targets an epitope within 22 amino acids from the N-terminal half.

Physical form

Purified recombinant rabbit monoclonal antibody IgG, lyophilized in PBS, 5% Trehalose, normal appearance a coarse or translucent resin. The PBS/trehalose components in the ZooMAb formulation can have the appearance of a semi-solid (bead like gel) after lyophilization. This is a normal phenomenon. Please follow the recommended reconstitution procedure in the data sheet to dissolve the semi-solid, bead-like, gel-appearing material. The resulting antibody solution is completely stable and functional as proven by full functional testing. Contains no biocide or preservatives, such as azide, or any animal by-products. Larger pack sizes provided as multiples of 25 µL.

Preparation Note

Recommend storage of lyophilized product at 2-8°C; Before reconstitution, micro-centrifuge vials briefly to spin down material to bottom of the vial; Reconstitute each vial by adding 25 µL of filtered lab grade water or PBS; Reconstituted antibodies can be stored at 2-8°C, or -20°C for long term storage. Avoid repeated freeze-thaws.
Reconstitute lyophilized antibody pellet with 25μL of ultrapure water or Phosphate Buffered Saline (PBS). Please refer to our reconstitution protocol and the specific application guidance on the suggested starting dilutions and sample type.

Other Notes

Concentration: Please refer to the Certificate of Analysis for the lot-specific concentration.

Legal Information

ZooMAb is a registered trademark of Merck KGaA, Darmstadt, Germany

Disclaimer

Unless otherwise stated in our catalog or other company documentation accompanying the product(s), our products are intended for research use only and are not to be used for any other purpose, which includes but is not limited to, unauthorized commercial uses, in vitro diagnostic uses, ex vivo or in vivo therapeutic uses or any type of consumption or application to humans or animals.


Still not finding the right product?

Try our Product Selector Tool to narrow your options


Storage Class

11 - Combustible Solids

wgk

WGK 1

flash_point_f

Not applicable

flash_point_c

Not applicable

Regulatory Information

常规特殊物品

This item has



Choose from one of the most recent versions:

Certificates of Analysis (COA)

Lot/Batch Number

It looks like we've run into a problem, but you can still download Certificates of Analysis from our Documents section.

If you need assistance, please contact Customer Support

Already Own This Product?

Find documentation for the products that you have recently purchased in the Document Library.

Visit the Document Library



Global Trade Item Number

SKUGTIN
ZRB2249-4X25UL04065269847243
ZRB2249-25UL04065269847236