Skip to Content
Merck
CN

ZRB2319

Anti-LATS1 Antibody, clone 1D18 ZooMAb® Rabbit Monoclonal

greener alternative

recombinant, expressed in HEK 293 cells

Synonym(s):

EC: 2.7.11.1, Large tumor suppressor homolog 1, Serine/threonine-protein kinase LATS1, WARTS protein kinase, h-warts

Sign In to View Organizational & Contract Pricing.

Select a Size

Change View

About This Item

NACRES:
NA.43
UNSPSC Code:
12352203
Conjugate:
unconjugated
Clone:
1D18, recombinant monoclonal
Application:
ICC, IHC, WB
Citations:
-
Technical Service
Need help? Our team of experienced scientists is here for you.
Let Us Assist


biological source

rabbit

Quality Level

recombinant

expressed in HEK 293 cells

conjugate

unconjugated

antibody form

purified antibody

antibody product type

primary antibodies

clone

1D18, recombinant monoclonal

description

recombinant, expressed in HEK 293 cells

product line

ZooMAb® learn more

form

lyophilized

purified by

using Protein A

species reactivity

mouse, human

packaging

antibody small pack of 25 μL

greener alternative product characteristics

Waste Prevention
Designing Safer Chemicals
Design for Energy Efficiency
Learn more about the Principles of Green Chemistry.

enhanced validation

recombinant expression
Learn more about Antibody Enhanced Validation

sustainability

Greener Alternative Product

technique(s)

immunocytochemistry: suitable, immunohistochemistry: suitable, western blot: suitable

isotype

IgG

epitope sequence

N-terminal

Protein ID accession no.

UniProt accession no.

greener alternative category

shipped in

ambient

storage temp.

2-8°C

Gene Information

human ... LATS1(9113)

General description

Serine/threonine-protein kinase LATS1 (UniProt: O95835; also known as EC: 2.7.11.1, Large tumor suppressor homolog 1, WARTS protein kinase, h-warts) is encoded by the LATS1 (also known as WARTS) gene (Gene ID: 9113) in human.  Serine/threonine-protein kinase LATS1 serves as a negative regulator of YAP1 in the Hippo signaling pathway, which plays a pivotal role in organ size control and tumor suppression by restricting proliferation and promoting apoptosis. YAP1 phosphorylation by LATS1 inhibits its translocation into the nucleus to regulate cellular genes that are important for cell proliferation, cell death, and cell migration. LATS1 is shown to be expressed in all adult tissues except in lung and kidney.  It acts as a tumor suppressor and plays a critical role in maintenance of ploidy through its actions in both mitotic progression and the G1 tetraploidy checkpoint. It localizes to the centrosomes throughout interphase but migrates to the mitotic apparatus, including spindle pole bodies, mitotic spindle, and midbody, during mitosis.  LATS1 negatively regulate G2/M transition by down-regulating CDK1 kinase activity.  It is shown to be phosphorylated by STK3/MST2 at Serine 909 and Threonine 1079, which results in its activation. However, phosphorylation at Serine 464 by NUAK1 and NUAK2 LEADS to diminished protein level and it is essential for regulation of cellular senescence and cellular ploidy.  Blocking of LATS1 and 2 is reported to promote the luminal phenotype and increases the number of bipotent and luminal progenitor cells in most human breast cancers. Absence of LATS stabilizes ERα and the Hippo effectors YAP/TAZ, which control breast cell fate via intrinsic and paracrine mechanisms. This ZooMAb® recombinant monoclonal antibody, generated by our propriety technology, offers significantly enhanced specificity, Affinity, reproducibility, and stability over conventional monoclonals. (Ref.: Britschgi, A., et al. (2017). Nature. 541(7638); 541-545; Hao, Y., et al. (2008). J. Biol. Chem. 283(9); 5496-5509).
We are committed to bringing you greener alternative products, which adhere to one or more of The 12 Principles of Green Chemistry.This antibody is Preservative-free, produced without the harm or sacrifice of animals and exceptionally stable to allow for ambient shipping and storage if needed and thus aligns with "Waste Prevention", "Designing Safer Chemicals" and "Design for Energy Efficiency". Click here for more information.
ZooMAb® antibodies represent an entirely new generation of recombinant monoclonal antibodies. Each ZooMAb® antibody is manufactured using our proprietary recombinant expression system, purified to homogeneity, and precisely dispensed to produce robust and highly reproducible lot-to-lot consistency. Only top-performing clones are released for use by researchers. Each antibody is validated for high specificity and affinity across multiple applications, including its most commonly used application. ZooMAb® antibodies are reliably available and ready to ship when you need them.

Immunogen

KLH-conjugated linear peptide corresponding to 22 amino acids from the N-terminal region of human Serine/threonine-protein kinase LATS1.

Application

Quality Control Testing

Evaluated by Western Blotting in HepG2 cell lysate.

Western Blotting Analysis: A 1:1,000 dilution of this antibody detected LATS1 in HepG2 cell lysate.

Tested Applications

Western Blotting Analysis: A 1:1,000 dilution from a representative lot detected LATS1 in NIH3T3 and HeLa cell lysates.

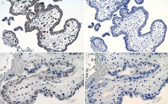
Immunohistochemistry (Paraffin) Analysis: A 1:100 dilution from a representative lot detected LATS1 in Human placenta tissue sections.

Immunocytochemistry Analysis: A 1:100 dilution from a representative lot detected LATS1 in NIH3T3 cells.

Note: Actual optimal working dilutions must be determined by end user as specimens, and experimental conditions may vary with the end user.

Biochem/physiol Actions

Clone 1D18 is a ZooMAb® rabbit recombinant monoclonal antibody that specifically detects LATS1. It targets an epitope within 22 amino acids from the N-terminal region.

Physical form

Purified recombinant rabbit monoclonal antibody IgG, lyophilized in PBS, 5% Trehalose, normal appearance a coarse or translucent resin. The PBS/trehalose components in the ZooMAb formulation can have the appearance of a semi-solid (bead like gel) after lyophilization. This is a normal phenomenon. Please follow the recommended reconstitution procedure in the data sheet to dissolve the semi-solid, bead-like, gel-appearing material. The resulting antibody solution is completely stable and functional as proven by full functional testing. Contains no biocide or preservatives, such as azide, or any animal by-products. Larger pack sizes provided as multiples of 25 µL.

Preparation Note

Recommend storage of lyophilized product at 2-8°C; Before reconstitution, micro-centrifuge vials briefly to spin down material to bottom of the vial; Reconstitute each vial by adding 25 µL of filtered lab grade water or PBS; Reconstituted antibodies can be stored at 2-8°C, or -20°C for long term storage. Avoid repeated freeze-thaws.
Reconstitute lyophilized antibody pellet with 25μL of ultrapure water or Phosphate Buffered Saline (PBS). Please refer to our reconstitution protocol and the specific application guidance on the suggested starting dilutions and sample type.

Other Notes

Concentration: Please refer to the Certificate of Analysis for the lot-specific concentration.

Legal Information

Affinity is a trademark of Mine Safety Appliances Co.
LEADS is a trademark of Compugen
ZooMAb is a registered trademark of Merck KGaA, Darmstadt, Germany

Disclaimer

Unless otherwise stated in our catalog or other company documentation accompanying the product(s), our products are intended for research use only and are not to be used for any other purpose, which includes but is not limited to, unauthorized commercial uses, in vitro diagnostic uses, ex vivo or in vivo therapeutic uses or any type of consumption or application to humans or animals.


Still not finding the right product?

Try our Product Selector Tool to narrow your options


Storage Class

11 - Combustible Solids

wgk

WGK 1

flash_point_f

Not applicable

flash_point_c

Not applicable

Regulatory Information

常规特殊物品

This item has



Choose from one of the most recent versions:

Certificates of Analysis (COA)

Lot/Batch Number

It looks like we've run into a problem, but you can still download Certificates of Analysis from our Documents section.

If you need assistance, please contact Customer Support

Already Own This Product?

Find documentation for the products that you have recently purchased in the Document Library.

Visit the Document Library


Articles

Learn about the hallmarks of cancer and find reliable ZooMAb® recombinant antibodies to study them, conveniently organized by cancer hallmark.





Global Trade Item Number

SKUGTIN
ZRB2319-4X25UL04065270010834
ZRB2319-25UL04065270010827