Skip to Content
Merck
CN

ZRB2447

Anti-NOX2/gp91phox Antibody, clone 1J16 ZooMAb® Rabbit Monoclonal

greener alternative

recombinant, expressed in HEK 293 cells

Synonym(s):

CGD91-phox, Cytochrome b(558) subunit beta, Cytochrome b-245 heavy chain, Cytochrome b558 subunit beta, EC:1.6.3.-, Heme-binding membrane glycoprotein gp91phox, NADPH oxidase 2, Neutrophil cytochrome b 91 kDa polypeptide

Sign In to View Organizational & Contract Pricing.

Select a Size

Change View

About This Item

NACRES:
NA.46
UNSPSC Code:
12352203
Technique(s):
affinity binding assay: suitable, immunocytochemistry: suitable, immunohistochemistry: suitable, western blot: suitable
Uniprot accession no.:
Application:
ICC, IHC, WB, affinity binding assay
Citations:
-
Technical Service
Need help? Our team of experienced scientists is here for you.
Let Us Assist


biological source

rabbit

Quality Level

recombinant

expressed in HEK 293 cells

conjugate

unconjugated

antibody form

purified antibody

antibody product type

primary antibodies

clone

1J16, recombinant monoclonal

description

recombinant, expressed in HEK 293 cells

product line

ZooMAb® learn more

form

lyophilized

mol wt

calculated mol wt 65.34 kDa, observed mol wt ~65 kDa

purified by

using Protein A

species reactivity

human

packaging

antibody small pack of 25

greener alternative product characteristics

Waste Prevention
Designing Safer Chemicals
Design for Energy Efficiency
Learn more about the Principles of Green Chemistry.

enhanced validation

recombinant expression
Learn more about Antibody Enhanced Validation

sustainability

Greener Alternative Product

technique(s)

affinity binding assay: suitable, immunocytochemistry: suitable, immunohistochemistry: suitable, western blot: suitable

isotype

IgG

epitope sequence

N-terminal half

Protein ID accession no.

UniProt accession no.

greener alternative category

shipped in

ambient

storage temp.

2-8°C

Gene Information

human ... CYBB(1536)

General description

We are committed to bringing you greener alternative products, which adhere to one or more of the 12 Principles of Green Chemistry. This antibody is preservative-free, produced without the harm or sacrifice of animals and exceptionally stable to allow for ambient shipping and storage if needed, and thus aligns with "Waste Prevention", "Designing Safer Chemicals" and "Design for Energy Efficiency". Click here for more information.
ZooMAb® antibodies represent an entirely new generation of recombinant monoclonal antibodies. Each ZooMAb® antibody is manufactured using our proprietary recombinant expression system, purified to homogeneity, and precisely dispensed to produce robust and highly reproducible lot-to-lot consistency. Only top-performing clones are released for use by researchers. Each antibody is validated for high specificity and affinity across multiple applications, including its most commonly used application. ZooMAb® antibodies are reliably available and ready to ship when you need them.

Immunogen

KLH-conjugated linear peptide corresponding to 17 amino acids from the N-terminal half of human NOX2/gp91phox.

Application

Quality Control Testing

Evaluated by Western Blotting in MCF7 cell lysate.

Western Blotting Analysis: A 1:1,000 dilution of this antibody detected NOX2/gp91phox in MCF7 cell lysate.

Tested Applications

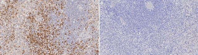
Immunohistochemistry (Paraffin) Analysis: A 1:1,000 dilution from a representative lot detected NOX2/gp91phox in human liver tissue and human spleen tissue sections.

Immunocytochemistry Analysis: A 1:100 dilution from a representative lot detected NOX2/gp91phox in MCF7 cells.

Affinity Binding Assay: A representative lot of this antibody bound NOX2/gp91phox peptide with at least ten thousand-fold (10,000X) higher affinity than with non-specific control peptide.

Note: Actual optimal working dilutions must be determined by end user as specimens, and experimental conditions may vary with the end user.

Physical form

Purified recombinant rabbit monoclonal antibody IgG, lyophilized in PBS with 5% Trehalose, normal appearance a coarse or translucent resin. The PBS/trehalose components in the ZooMAb formulation can have the appearance of a semi-solid (bead like gel) after lyophilization. This is a normal phenomenon. Please follow the recommended reconstitution procedure in the data sheet to dissolve the semi-solid, bead-like, gel-appearing material. The resulting antibody solution is completely stable and functional as proven by full functional testing. Contains no biocide or preservatives, such as azide, or any animal by-products. Larger pack sizes provided as multiples of 25 µL.

Preparation Note

300 µg/mL after reconstitution at 25 µL per vial. Please refer to guidance on suggested starting dilutions and/or titers per application and sample type.
Recommend storage of lyophilized product at 2-8°C; Before reconstitution, micro-centrifuge vials briefly to spin down material to bottom of the vial; Reconstitute each vial by adding 25 µL of filtered lab grade water or PBS; Reconstituted antibodies can be stored at 2-8°C, or -20°C for long term storage. Avoid repeated freeze-thaws.

Analysis Note

Cytochrome b-245 heavy chain (UniProt: P04839; also known as CGD91-phox, Cytochrome b(558) subunit beta, Cytochrome b558 subunit beta, Heme-binding membrane glycoprotein gp91phox, NADPH oxidase 2, Neutrophil cytochrome b 91kDa polypeptide, Superoxide-generating NADPH oxidase heavy chain subunit, gp91-1, gp91-phox, p22 phagocyte B-cytochrome) is encoded by the CYBB (also known as NOX2) gene (Gene ID: 1536) in human. Gp91phox is a multi-pass membrane glycoprotein of the NADPH oxidase family that contains three extracellular domains, six transmembrane domains, and four cytoplasmic domains. It contains four iron binding sites and has a ferric oxidoreductase domain (aa 54-286). It is a critical component of the membrane-bound oxidase of phagocytes that generates superoxide and plays an important role in the host defense function of phagocytic cells. It also functions as a voltage-gated proton channel that mediates the H+ currents of resting phagocytes. It can undergo polyubiquitination at lysine 48 by RNF145 that triggers its endoplasmic reticulum-associated degradation. Mutations in CYBB gene are known to cause granulomatous disease that is characterized by the inability of neutrophils and phagocytes to kill ingested leading to life-threatening bacterial and fungal infections. This ZooMAb® recombinant monoclonal antibody, generated by our proprietary technology, offers significantly enhanced specificity, affinity, reproducibility, and stability over conventional monoclonals. (Ref.: Burritt, JB., et al. (2003). J. Immunol. 170 (12); 6082-6089).

Other Notes

Clone 1J16 is a ZooMAb® recombinant rabbit monoclonal antibody that specifically detects NOX2/gp91phox. It targets an epitope within 17 amino acids from the N-terminal half.

Legal Information

ZooMAb is a registered trademark of Merck KGaA, Darmstadt, Germany

Disclaimer

Unless otherwise stated in our catalog or other company documentation accompanying the product(s), our products are intended for research use only and are not to be used for any other purpose, which includes but is not limited to, unauthorized commercial uses, in vitro diagnostic uses, ex vivo or in vivo therapeutic uses or any type of consumption or application to humans or animals.


Still not finding the right product?

Try our Product Selector Tool to narrow your options


Storage Class

11 - Combustible Solids

flash_point_f

Not applicable

flash_point_c

Not applicable

Regulatory Information

新产品

This item has



Choose from one of the most recent versions:

Certificates of Analysis (COA)

Lot/Batch Number

It looks like we've run into a problem, but you can still download Certificates of Analysis from our Documents section.

If you need assistance, please contact Customer Support

Already Own This Product?

Find documentation for the products that you have recently purchased in the Document Library.

Visit the Document Library



Global Trade Item Number

SKUGTIN
ZRB2447-25UL04065273336412
ZRB2447-4X25UL04065273336429