Skip to Content
Merck
CN

ZRB2623

Anti-MICU1 Antibody, clone 1H13 ZooMAb® Rabbit Monoclonal

greener alternative

recombinant, expressed in HEK 293 cells

Synonym(s):

Calcium uptake protein 1, mitochondrial

Sign In to View Organizational & Contract Pricing.

Select a Size

Change View

About This Item

UNSPSC Code:
12352203
Conjugate:
unconjugated
Clone:
1H13, recombinant monoclonal
Application:
ICC, IHC, affinity binding assay
Citations:
-
Technical Service
Need help? Our team of experienced scientists is here for you.
Let Us Assist


biological source

rabbit

Quality Level

recombinant

expressed in HEK 293 cells

conjugate

unconjugated

antibody form

purified antibody

antibody product type

primary antibodies

clone

1H13, recombinant monoclonal

description

recombinant, expressed in HEK 293 cells

product line

ZooMAb® learn more

form

lyophilized

mol wt

calculated mol wt 54.5 kDa, observed mol wt ~no kDa

purified by

using Protein A

species reactivity

human

species reactivity (predicted by homology)

monkey

packaging

antibody small pack of 25

greener alternative product characteristics

Waste Prevention
Designing Safer Chemicals
Design for Energy Efficiency
Learn more about the Principles of Green Chemistry.

enhanced validation

recombinant expression
Learn more about Antibody Enhanced Validation

sustainability

Greener Alternative Product

technique(s)

affinity binding assay: suitable, immunocytochemistry: suitable, immunohistochemistry: suitable

isotype

IgG

epitope sequence

N-terminal half

Protein ID accession no.

UniProt accession no.

greener alternative category

shipped in

ambient

storage temp.

2-8°C

Gene Information

human ... MICU1(10367)

General description

We are committed to bringing you greener alternative products, which adhere to one or more of the 12 Principles of Green Chemistry. This antibody is preservative-free, produced without the harm or sacrifice of animals and exceptionally stable to allow for ambient shipping and storage if needed, and thus aligns with "Waste Prevention", "Designing Safer Chemicals" and "Design for Energy Efficiency". Click here for more information.
ZooMAb® antibodies represent an entirely new generation of recombinant monoclonal antibodies. Each ZooMAb® antibody is manufactured using our proprietary recombinant expression system, purified to homogeneity, and precisely dispensed to produce robust and highly reproducible lot-to-lot consistency. Only top-performing clones are released for use by researchers. Each antibody is validated for high specificity and affinity across multiple applications, including its most commonly used application. ZooMAb® antibodies are reliably available and ready to ship when you need them.
Calcium uptake protein 1, mitochondrial (UniProt: Q9BPX6) is encoded by the MICU1 gene (Gene ID: 10367) in human. Mitochondrial Calcium Uptake 1 (MICU1) is a protein that plays a crucial role in regulating calcium levels within mitochondria. It is a key component of the mitochondrial calcium uniporter (MCU) complex, which is responsible for facilitating calcium entry into the mitochondria. The structure of MICU1 consists of several domains, including two EF-hand calcium-binding domains that enable it to interact with and sense changes in calcium levels. MICU1 forms a complex with other proteins, such as MICU2, MCU, and EMRE, to regulate mitochondrial calcium uptake. The primary function of MICU1 is to act as a gatekeeper for mitochondrial calcium uptake. It helps maintain optimal calcium levels within mitochondria, which is essential for mitochondrial bioenergetics, oxidative phosphorylation, and cell survival. By sensing changes in cytoplasmic calcium concentrations, MICU1 modulates the opening and closing of the mitochondrial calcium uniporter, ensuring proper calcium uptake in response to cellular demands. MICU1 is widely expressed in various tissues and cell types. It is particularly abundant in tissues with high-energy demands, such as the heart, skeletal muscle, and brain. The expression of MICU1 is tightly regulated and can be influenced by factors such as calcium levels, cellular stress, and signaling pathways involved in mitochondrial function. Dysregulation or dysfunction of MICU1 has been associated with various human diseases. Mutations in the MICU1 gene have been linked to calcium-related disorders, including muscle disorders such as myopathy with extrapyramidal signs (MPX), mitochondrial myopathy, and epileptic encephalopathy. Impaired MICU1 function can disrupt mitochondrial calcium homeostasis and lead to mitochondrial dysfunction, energy imbalance, and cellular damage. This ZooMAb® recombinant monoclonal antibody, generated by our proprietary technology, offers significantly enhanced specificity, affinity, reproducibility, and stability over conventional monoclonals.

Immunogen

KLH-conjugated linear peptide corresponding to 18 amino acids from the N-terminal half of human MICU1.

Application

Quality Control Testing

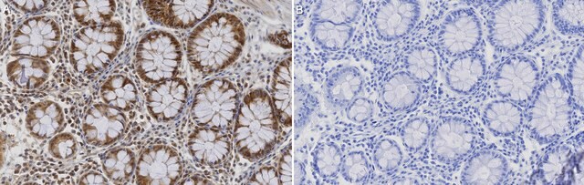
Evaluated by Immunohistochemistry (Paraffin) in human colon tissue sections.

Immunohistochemistry (Paraffin) Analysis: A 1:100 dilution of this antibody detected MICU1 in human colon tissue sections.

Tested Applications

Immunohistochemistry (Paraffin) Analysis: A 1:100 dilution from a representative lot detected MICU1 in human kidney tissue sections.

Immunocytochemistry Analysis: A 1:100 dilution from a representative lot detected MICU1 in A549 cells.

Affinity Binding Assay: The binding affinity of this antibody to MICU1 peptide was at least ten thousand-fold (10,000X) higher than that obtained with the non-specific control peptide.

Note: Actual optimal working dilutions must be determined by end user as specimens, and experimental conditions may vary with the end user.

Biochem/physiol Actions

Clone 1H13 is a ZooMAb® rabbit recombinant monoclonal antibody that detects MICU1. It targets an epitope within 18 amino acids from the N-terminal half of the protein.

Physical form

Purified recombinant rabbit monoclonal antibody IgG, lyophilized in PBS with 5% Trehalose, normal appearance a coarse or translucent resin. The PBS/trehalose components in the ZooMAb formulation can have the appearance of a semi-solid (bead like gel) after lyophilization. This is a normal phenomenon. Please follow the recommended reconstitution procedure in the data sheet to dissolve the semi-solid, bead-like, gel-appearing material. The resulting antibody solution is completely stable and functional as proven by full functional testing. Contains no biocide or preservatives, such as azide, or any animal by-products. Larger pack sizes provided as multiples of 25 µL.

Preparation Note

Recommend storage of lyophilized product at 2-8°C; Before reconstitution, micro-centrifuge vials briefly to spin down material to bottom of the vial; Reconstitute each vial by adding 25 µL of filtered lab grade water or PBS; Reconstituted antibodies can be stored at 2-8°C, or -20°C for long term storage. Avoid repeated freeze-thaws.
Reconstitute lyophilized antibody pellet with 25μL of ultrapure water or Phosphate Buffered Saline (PBS). Please refer to our reconstitution protocol and the specific application guidance on the suggested starting dilutions and sample type.

Legal Information

ZooMAb is a registered trademark of Merck KGaA, Darmstadt, Germany

Disclaimer

Unless otherwise stated in our catalog or other company documentation accompanying the product(s), our products are intended for research use only and are not to be used for any other purpose, which includes but is not limited to, unauthorized commercial uses, in vitro diagnostic uses, ex vivo or in vivo therapeutic uses or any type of consumption or application to humans or animals.


Still not finding the right product?

Try our Product Selector Tool to narrow your options


Storage Class

11 - Combustible Solids

wgk

WGK 2

flash_point_f

Not applicable

flash_point_c

Not applicable

Regulatory Information

常规特殊物品

This item has



Choose from one of the most recent versions:

Certificates of Analysis (COA)

Lot/Batch Number

It looks like we've run into a problem, but you can still download Certificates of Analysis from our Documents section.

If you need assistance, please contact Customer Support

Already Own This Product?

Find documentation for the products that you have recently purchased in the Document Library.

Visit the Document Library



Global Trade Item Number

SKUGTIN
ZRB2623-25UL04065271317673
ZRB2623-4X25UL04065271317680