Skip to Content
Merck
CN

ZRB2842

Anti-RAD50 Antibody, clone 1I11 ZooMAb® Rabbit Monoclonal

greener alternative

recombinant, expressed in HEK 293 cells

Synonym(s):

DNA repair protein RAD50, EC:3.6.-.-, hRAD50

Sign In to View Organizational & Contract Pricing.

Select a Size

Change View

About This Item

UNSPSC Code:
12352203
NACRES:
NA.41
Conjugate:
unconjugated
Clone:
1I11, recombinant monoclonal
Application:
IF, IHC, WB, affinity binding assay
Citations:
-
Technical Service
Need help? Our team of experienced scientists is here for you.
Let Us Assist


Quality Level

biological source

rabbit

recombinant

expressed in HEK 293 cells

conjugate

unconjugated

antibody form

purified antibody

antibody product type

primary antibodies

clone

1I11, recombinant monoclonal

description

recombinant, expressed in HEK 293 cells

product line

ZooMAb® learn more

form

lyophilized

mol wt

calculated mol wt 153.89 kDa, observed mol wt ~154 kDa

purified by

using Protein A

species reactivity

rat, human

packaging

antibody small pack of 25

greener alternative product characteristics

Waste Prevention
Designing Safer Chemicals
Design for Energy Efficiency
Learn more about the Principles of Green Chemistry.

enhanced validation

recombinant expression
Learn more about Antibody Enhanced Validation

sustainability

Greener Alternative Product

concentration

0.3 mg/mL

technique(s)

affinity binding assay: suitable, immunofluorescence: suitable, immunohistochemistry: suitable, western blot: suitable

isotype

IgG

epitope sequence

Internal

Protein ID accession no.

UniProt accession no.

greener alternative category

shipped in

ambient

storage temp.

2-8°C

Gene Information

human ... RAD50(10111)

General description

DNA repair protein RAD50 (UniProt: Q92878; also known as hRAD50, EC:3.6.-.- ) is encoded by the RAD50 gene (Gene ID: 10111) in human. The protein encoded by this gene is homologous to Saccharomyces cerevisiae Rad50 and is a member of the structural maintenance of chromosome (SMC) family. It is mainly involved in DNA double-strand break repair, cell growth and viability. RAD50 is known to encode 2 distinct proteins. The RAD50, XRS2/NBS1 complex is required for activation of ATM which will phosphorylate TERF1, thereby promoting telomerase. Along with MRE11 and NBN, RAD50 also forms the MRE11 RAD50 NBS1 (MRN) complex, which is one of the first factors to be localized to the DNA lesion, where it might initially have a structural role by tethering together, and therefore stabilizing, broken chromosomes. Defects in the MRE11-RAD50-NBS1 complex may contribute to tumorigenesis. RAD50 is expressed at very low level in most tissues, except in testis & fibroblasts where it is expressed at higher level. RAD50 is primarily localized in the nucleus and can also be found in the cytoplasm, but its functional role is predominantly nuclear. RAD50 protein contains several coiled coil regions and the zinc-hook, which separates the large intramolecular coiled coil regions, contains 2 Cys residues that coordinate one molecule of zinc with the help of the 2 Cys residues of the zinc-hook of another RAD50 molecule, thereby forming a V-shaped homodimer. The two heads of the homodimer, which constitute the ATP-binding domain, interact with the MRE11 homodimer. Mutations or dysregulation of RAD50 has been associated with certain hereditary cancer syndromes, such as Li-Fraumeni syndrome, where defects in DNA repair mechanisms increase the risk of developing multiple types of cancers. Overexpression of RAD50 is the marker of poor prognosis and drug resistance in Breast cancer patients. This ZooMAb® recombinant monoclonal antibody, generated by our proprietary technology, offers significantly enhanced specificity, affinity, reproducibility, and stability over conventional monoclonals. (Ref.: Bian, L., et al. (2019). Molecular Cancer. 18:169).
We are committed to bringing you greener alternative products, which adhere to one or more of the 12 Principles of Green Chemistry. This antibody is preservative-free, produced without the harm or sacrifice of animals and exceptionally stable to allow for ambient shipping and storage if needed, and thus aligns with "Waste Prevention", "Designing Safer Chemicals" and "Design for Energy Efficiency". Click here for more information.
ZooMAb® antibodies represent an entirely new generation of recombinant monoclonal antibodies. Each ZooMAb® antibody is manufactured using our proprietary recombinant expression system, purified to homogeneity, and precisely dispensed to produce robust and highly reproducible lot-to-lot consistency. Only top-performing clones are released for use by researchers. Each antibody is validated for high specificity and affinity across multiple applications, including its most commonly used application. ZooMAb® antibodies are reliably available and ready to ship when you need them.

Immunogen

KLH-conjugated linear peptide corresponding to 25 amino acids from the internal region of human RAD50.

Application

Quality Control Testing

Evaluated by Western Blotting in K-562 cell lysate.

Western Blotting Analysis: A 1:10,000 dilution of this antibody detected RAD50 in K-562 cell lysate.

Tested Applications

Western Blotting Analysis: A 1:1,000-10,000 dilution from a representative lot detected RAD50 in lysate from human spleen tissue and rat thymus tissue.

Immunofluorescence Analysis: A 1:100 dilution from a representative lot detected RAD50 in human prostate tissue sections.

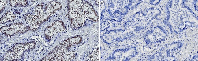
Immunohistochemistry (Paraffin) Analysis: A 1:100 dilution from a representative lot detected RAD50 in human prostate tissue sections.

Affinity Binding Assay: A representative lot of this antibody bound RAD50 peptide with at least one thousand-fold (1,000X) higher affinity than with non-specific control peptide.

Note: Actual optimal working dilutions must be determined by end user as specimens, and experimental conditions may vary with the end user.

Biochem/physiol Actions

Clone 1I11 is a ZooMAb® recombinant rabbit monoclonal antibody that specifically detects RAD50. It targets an epitope within 25 amino acids from the internal region.

Physical form

Purified recombinant rabbit monoclonal antibody IgG, lyophilized in PBS with 5% Trehalose, normal appearance a coarse or translucent resin. The PBS/trehalose components in the ZooMAb formulation can have the appearance of a semi-solid (bead like gel) after lyophilization. This is a normal phenomenon. Please follow the recommended reconstitution procedure in the data sheet to dissolve the semi-solid, bead-like, gel-appearing material. The resulting antibody solution is completely stable and functional as proven by full functional testing. Contains no biocide or preservatives, such as azide, or any animal by-products. Larger pack sizes provided as multiples of 25 µL.

Preparation Note

300 µg/mL after reconstitution at 25 µL per vial. Please refer to guidance on suggested starting dilutions and/or titers per application and sample type.
Recommend storage of lyophilized product at 2-8°C; Before reconstitution, micro-centrifuge vials briefly to spin down material to bottom of the vial; Reconstitute each vial by adding 25 µL of filtered lab grade water or PBS; Reconstituted antibodies can be stored at 2-8°C, or -20°C for long term storage. Avoid repeated freeze-thaws.

Legal Information

ZooMAb is a registered trademark of Merck KGaA, Darmstadt, Germany

Disclaimer

Unless otherwise stated in our catalog or other company documentation accompanying the product(s), our products are intended for research use only and are not to be used for any other purpose, which includes but is not limited to, unauthorized commercial uses, in vitro diagnostic uses, ex vivo or in vivo therapeutic uses or any type of consumption or application to humans or animals.


Still not finding the right product?

Try our Product Selector Tool to narrow your options


Storage Class

11 - Combustible Solids

wgk

WGK 1

flash_point_f

Not applicable

flash_point_c

Not applicable

Regulatory Information

常规特殊物品

This item has



Choose from one of the most recent versions:

Certificates of Analysis (COA)

Lot/Batch Number

It looks like we've run into a problem, but you can still download Certificates of Analysis from our Documents section.

If you need assistance, please contact Customer Support

Already Own This Product?

Find documentation for the products that you have recently purchased in the Document Library.

Visit the Document Library



Global Trade Item Number

SKUGTIN
ZRB2842-25UL04065272587143
ZRB2842-4X25UL04065272587150