Skip to Content
Merck
CN

ZRB2988

Anti-Integrin α1 Antibody, clone 1E20 ZooMAb® Rabbit Monoclonal

greener alternative

recombinant, expressed in HEK 293 cells

Synonym(s):

CD49 antigen-like family member A, CD49a, Integrin alpha-1, Laminin and collagen receptor, VLA-1

Sign In to View Organizational & Contract Pricing.

Select a Size

Change View

About This Item

UNSPSC Code:
12352203
Technique(s):
affinity binding assay: suitable, immunohistochemistry: suitable, western blot: suitable
Uniprot accession no.:
Application:
IHC, WB, affinity binding assay
Citations:
-
Technical Service
Need help? Our team of experienced scientists is here for you.
Let Us Assist


biological source

rabbit

Quality Level

recombinant

expressed in HEK 293 cells

conjugate

unconjugated

antibody form

purified antibody

antibody product type

primary antibodies

clone

1E20, recombinant monoclonal

description

recombinant, expressed in HEK 293 cells

product line

ZooMAb® learn more

form

lyophilized

mol wt

calculated mol wt 130.85 kDa, observed mol wt ~190 kDa

purified by

using Protein A

species reactivity

human

packaging

antibody small pack of 25

greener alternative product characteristics

Waste Prevention
Designing Safer Chemicals
Design for Energy Efficiency
Learn more about the Principles of Green Chemistry.

enhanced validation

recombinant expression
Learn more about Antibody Enhanced Validation

sustainability

Greener Alternative Product

technique(s)

affinity binding assay: suitable, immunohistochemistry: suitable, western blot: suitable

isotype

IgG

epitope sequence

C-terminal extracellular domain

Protein ID accession no.

UniProt accession no.

greener alternative category

shipped in

ambient

storage temp.

2-8°C

Gene Information

human ... ITGA1(3672)

General description

We are committed to bringing you greener alternative products, which adhere to one or more of the 12 Principles of Green Chemistry. This antibody is preservative-free, produced without the harm or sacrifice of animals and exceptionally stable to allow for ambient shipping and storage if needed, and thus aligns with "Waste Prevention", "Designing Safer Chemicals" and "Design for Energy Efficiency". Click here for more information.
ZooMAb® antibodies represent an entirely new generation of recombinant monoclonal antibodies. Each ZooMAb® antibody is manufactured using our proprietary recombinant expression system, purified to homogeneity, and precisely dispensed to produce robust and highly reproducible lot-to-lot consistency. Only top-performing clones are released for use by researchers. Each antibody is validated for high specificity and affinity across multiple applications, including its most commonly used application. ZooMAb® antibodies are reliably available and ready to ship when you need them.

Integrin alpha-1 (UniProt: P56199; also known as CD49 antigen-like family member A, Laminin and collagen receptor, VLA-1, CD49a) is encoded by the ITGA1 gene (Gene ID: 3672) in human. Integrin alpha-1 (ITGA1) is a cell surface protein that forms heterodimers with the beta-1 integrin subunit (ITGB1) to create the 1β1 integrin complex. Structurally, ITGA1 contains a von Willebrand factor type I domain, which is critical for binding to its primary ligands, collagen and laminin. This binding recognizes specific proline-hydroxylated sequences in collagen, enabling ITGA1 to mediate cell adhesion, migration, and extracellular matrix interactions. ITGA1 is predominantly expressed in tissues such as the placenta, heart, skeletal muscle, and skin. ITGA1 is involved in diverse biological processes, including tissue remodeling, wound healing, and immune responses. It regulates signaling pathways such as the RAS/ERK pathway, which promotes cell proliferation, and has been implicated in pro-invasive functions in cancer. In fibroblasts, ITGA1 enhances cell migration and invasion, suggesting its role in tumor progression. ITGA1 contributes to angiogenesis and endothelial cell behavior by influencing migration and tube formation, critical for vascular development and repair. ITGA1 is localized to the plasma membrane, where it interacts with extracellular matrix components and intracellular signaling proteins. Its activity is modulated by post-translational modifications and protein-protein interactions, including those with integrins and signaling molecules in the focal adhesion pathway. ITGA1′s dysregulation has been linked to pathologies such as fibrosis, inflammation, and cancers, including gliomas, where it has been used as a prognostic marker. In gliomas, ITGA1 expression is associated with tumor phenotype and overall survival. This ZooMAb® recombinant monoclonal antibody, generated by our proprietary technology, offers significantly enhanced specificity, affinity, reproducibility, and stability over conventional monoclonals.

Immunogen

KLH-conjugated linear peptide corresponding to 16 amino acids from the C-terminal extracellular domain of human Integrin 1.

Application

Quality Control Testing

Evaluated by Western Blotting in HeLa cell lysate.

Western Blotting Analysis: A 1:10,000 dilution of this antibody detected Integrin 1 in HeLa cell lysate.

Tested Applications

Western Blotting Analysis : A 1:10,000 dilution from a representative lot detected Integrin 1 in HUH-7 cell lysate, human liver and human stomach tissue lysates.

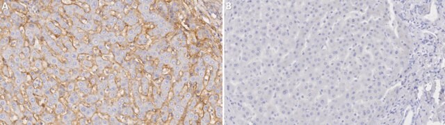
Immunohistochemistry (Paraffin) Analysis: A 1:1,000 dilution from a representative lot detected Integrin 1 in human liver tissue sections.

Affinity Binding Assay: A representative lot of this antibody bound with Integrin 1 peptide with at least one hundred thousand-fold (100,000X) higher affinity than with non-specific control peptide.

Note: Actual optimal working dilutions must be determined by end user as specimens and experimental conditions may vary with the end user.

Biochem/physiol Actions

Clone 1E20 is a ZooMAb® rabbit recombinant monoclonal antibody that detects Integrin 1. It targets an epitope within 16 amino acids from the C-terminal extracellular domain.

Physical form

Purified recombinant rabbit monoclonal antibody IgG, lyophilized in PBS with 5% Trehalose, normal appearance a coarse or translucent resin. The PBS/trehalose components in the ZooMAb formulation can have the appearance of a semi-solid (bead like gel) after lyophilization. This is a normal phenomenon. Please follow the recommended reconstitution procedure in the data sheet to dissolve the semi-solid, bead-like, gel-appearing material. The resulting antibody solution is completely stable and functional as proven by full functional testing. Contains no biocide or preservatives, such as azide, or any animal by-products. Larger pack sizes provided as multiples of 25 µL.

Preparation Note

300 µg/mL after reconstitution at 25 µL per vial. Please refer to guidance on suggested starting dilutions and/or titers per application and sample type.
Recommend storage of lyophilized product at 2-8°C; Before reconstitution, micro-centrifuge vials briefly to spin down material to bottom of the vial; Reconstitute each vial by adding 25 µL of filtered lab grade water or PBS; Reconstituted antibodies can be stored at 2-8°C, or -20°C for long term storage. Avoid repeated freeze-thaws.

Legal Information

ZooMAb is a registered trademark of Merck KGaA, Darmstadt, Germany

Disclaimer

Unless otherwise stated in our catalog or other company documentation accompanying the product(s), our products are intended for research use only and are not to be used for any other purpose, which includes but is not limited to, unauthorized commercial uses, in vitro diagnostic uses, ex vivo or in vivo therapeutic uses or any type of consumption or application to humans or animals.


Still not finding the right product?

Try our Product Selector Tool to narrow your options


Storage Class

11 - Combustible Solids

flash_point_f

Not applicable

flash_point_c

Not applicable

Regulatory Information

新产品

This item has



Choose from one of the most recent versions:

Certificates of Analysis (COA)

Lot/Batch Number

It looks like we've run into a problem, but you can still download Certificates of Analysis from our Documents section.

If you need assistance, please contact Customer Support

Already Own This Product?

Find documentation for the products that you have recently purchased in the Document Library.

Visit the Document Library



Global Trade Item Number

SKUGTIN
ZRB2988-25UL04065273635492
ZRB2988-4X25UL04065273635508