Skip to Content
Merck
CN

ZRB3152

Anti-Stathmin Antibody, clone 1F5 ZooMAb® Rabbit Monoclonal

greener alternative

recombinant, expressed in HEK 293 cells

Synonym(s):

Leukemia-associated phosphoprotein p18, Metablastin, Oncoprotein 18, Op18, Phosphoprotein p19, Prosolin, Protein Pr22, pp17, pp19

Sign In to View Organizational & Contract Pricing.

Select a Size

Change View

About This Item

UNSPSC Code:
12352203
NACRES:
NA.41
Conjugate:
unconjugated
Clone:
1F5, recombinant monoclonal
Application:
ICC, IHC, WB, affinity binding assay
Citations:
-
Technical Service
Need help? Our team of experienced scientists is here for you.
Let Us Assist


biological source

rabbit

Quality Level

recombinant

expressed in HEK 293 cells

conjugate

unconjugated

antibody form

purified antibody

antibody product type

primary antibodies

clone

1F5, recombinant monoclonal

description

recombinant, expressed in HEK 293 cells

product line

ZooMAb® learn more

form

lyophilized

mol wt

calculated mol wt 17.3 kDa, observed mol wt ~17 kDa

purified by

using Protein A

species reactivity

rat, mouse, human, monkey

species reactivity (predicted by homology)

porcine

packaging

antibody small pack of 25

greener alternative product characteristics

Waste Prevention
Designing Safer Chemicals
Design for Energy Efficiency
Learn more about the Principles of Green Chemistry.

enhanced validation

recombinant expression
Learn more about Antibody Enhanced Validation

sustainability

Greener Alternative Product

technique(s)

affinity binding assay: suitable, immunocytochemistry: suitable, immunohistochemistry: suitable, western blot: suitable

isotype

IgG

epitope sequence

C-terminal

Protein ID accession no.

UniProt accession no.

greener alternative category

shipped in

ambient

storage temp.

2-8°C

Gene Information

human ... STMN1(3925)

General description

ZooMAb® antibodies represent an entirely new generation of recombinant monoclonal antibodies. Each ZooMAb® antibody is manufactured using our proprietary recombinant expression system, purified to homogeneity, and precisely dispensed to produce robust and highly reproducible lot-to-lot consistency. Only top-performing clones are released for use by researchers. Each antibody is validated for high specificity and affinity across multiple applications, including its most commonly used application. ZooMAb® antibodies are reliably available and ready to ship when you need them.
Stathmin (UniProt: P16949; also known as Leukemia-associated phosphoprotein p18, Metablastin, Oncoprotein 18, Op18, Phosphoprotein p19 (pp19), Prosolin, Protein Pr22, pp17) is encoded by the STMN1 (also known as C1orf215, LAP18, OP18) gene (Gene ID: 3925) in human. Stathmin plays a critically important role in the regulation of the microtubule cytoskeleton. As a regulatory protein, It helps in the destabilization of MT filaments during the assembly/disassembly of the mitotic spindle, functioning to inhibit the assembly of MTs while promoting their disassembly. Stathmin primarily resides in the cytoplasm but can also be localized to the nucleus and cytoskeletal structures, depending on the cellular context. It is ubiquitously expressed, with strongest expression in fetal and adult brain, spinal cord, and cerebellum, followed by thymus, bone marrow, testis, and fetal liver. Two isoforms of Stathmin have been described that are produced by alternative splicing. It is considered to be involved in the regulation of both learned and innate fear. Ser-16 phosphorylation is thought to be necessary for neurogenic axon formation. Stathmin also plays a key role in neuronal differentiation and plasticity. Dysregulation of stathmin is associated with brain and neurodevelopmental disorders. It is reported that Stathmin-1 expression is higher in high-grade lung neuroendocrine tumor (HGNET) tissues than in non-small cell lung cancer (NSCLC) tissues. Overexpression of stathmin has also been observed in several human cancers including prostate, leukemia, ovarian, breast, lymphoma, and neuroblastoma. Interestingly, stathmin overexpression has been specifically linked to a poor prognosis, suggesting stathmin may be of potential interest as a prognostic marker. This ZooMAb® recombinant monoclonal antibody, generated by our proprietary technology, offers significantly enhanced specificity, affinity, reproducibility, and stability over conventional monoclonals. (Ref.: Chauvin, S., et al. (2015). Progress in Neurobiology. 126:1-18; Shimizu, K., et al. (2019). The Annals of Thoracic Surgery. 108(1):235-243).
We are committed to bringing you greener alternative products, which adhere to one or more of the 12 Principles of Green Chemistry. This antibody is preservative-free, produced without the harm or sacrifice of animals and exceptionally stable to allow for ambient shipping and storage if needed, and thus aligns with "Waste Prevention", "Designing Safer Chemicals" and "Design for Energy Efficiency". Click here for more information.

Immunogen

KLH-conjugated linear peptide corresponding to 15 amino acids from the C-terminal region of human Stathmin.

Application

Quality Control Testing
Evaluated by Western Blotting in COS-7 cell lysate.
Western Blotting Analysis: A 1:10,000 dilution of this antibody detected Stathmin in COS-7 cell lysate.
Tested Applications;
Western Blotting Analysis: A 1:10,000 dilution from a representative lot detected Stathmin in lysates from EL4 cells, human brain tissue, and rat brain tissue.
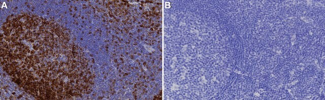
Immunohistochemistry (Paraffin) Analysis: A 1:1,000 dilution from a representative lot detected Stathmin in human tonsil tissue sections.

Immunocytochemistry Analysis: A 1:1,000 dilution from a representative lot detected Stathmin in U-2 OS cells.

Affinity Binding Assay: A representative lot of this antibody bound Stathmin peptide with at least ten thousand-fold (10,000X) higher affinity than with non-specific control peptide.

Biochem/physiol Actions

Clone 1F5 is a ZooMAb® recombinant rabbit monoclonal antibody that specifically detects Stathmin. It targets an epitope within 15 amino acids from the C-terminal region.

Physical form

Purified recombinant rabbit monoclonal antibody IgG, lyophilized in PBS with 5% Trehalose, normal appearance a coarse or translucent resin. The PBS/trehalose components in the ZooMAb formulation can have the appearance of a semi-solid (bead like gel) after lyophilization. This is a normal phenomenon. Please follow the recommended reconstitution procedure in the data sheet to dissolve the semi-solid, bead-like, gel-appearing material. The resulting antibody solution is completely stable and functional as proven by full functional testing. Contains no biocide or preservatives, such as azide, or any animal by-products. Larger pack sizes provided as multiples of 25 µL.

Preparation Note

300 µg/mL after reconstitution at 25 µL per vial. Please refer to guidance on suggested starting dilutions and/or titers per application and sample type.
Recommend storage of lyophilized product at 2-8°C; Before reconstitution, micro-centrifuge vials briefly to spin down material to bottom of the vial; Reconstitute each vial by adding 25 µL of filtered lab grade water or PBS; Reconstituted antibodies can be stored at 2-8°C, or -20°C for long term storage. Avoid repeated freeze-thaws.

Legal Information

ZooMAb is a registered trademark of Merck KGaA, Darmstadt, Germany

Disclaimer

Unless otherwise stated in our catalog or other company documentation accompanying the product(s), our products are intended for research use only and are not to be used for any other purpose, which includes but is not limited to, unauthorized commercial uses, in vitro diagnostic uses, ex vivo or in vivo therapeutic uses or any type of consumption or application to humans or animals.


Still not finding the right product?

Try our Product Selector Tool to narrow your options


Storage Class

11 - Combustible Solids

wgk

WGK 2

Regulatory Information

常规特殊物品

This item has



Choose from one of the most recent versions:

Certificates of Analysis (COA)

Lot/Batch Number

It looks like we've run into a problem, but you can still download Certificates of Analysis from our Documents section.

If you need assistance, please contact Customer Support

Already Own This Product?

Find documentation for the products that you have recently purchased in the Document Library.

Visit the Document Library



Global Trade Item Number

SKUGTIN
ZRB3152-25UL04065272414302
ZRB3152-4X25UL04065272414319