Select a Size
About This Item
biological source
rabbit
Quality Level
recombinant
expressed in HEK 293 cells
conjugate
unconjugated
antibody form
purified antibody
antibody product type
primary antibodies
clone
1D10, recombinant monoclonal
description
recombinant, expressed in HEK 293 cells
product line
ZooMAb® learn more
form
lyophilized
mol wt
calculated mol wt 29.41 kDa, observed mol wt ~35-38 kDa
purified by
using Protein A
species reactivity
mouse, rat, human
packaging
antibody small pack of 25
enhanced validation
recombinant expression
Learn more about Antibody Enhanced Validation
technique(s)
affinity binding assay: suitable, immunocytochemistry: suitable, immunohistochemistry: suitable, western blot: suitable
isotype
IgG
epitope sequence
N-terminal half
Protein ID accession no.
UniProt accession no.
shipped in
ambient
storage temp.
2-8°C
Gene Information
human ... FOSL1(8061)
General description
Fos-related antigen 1 (UniProt: P15407; also known as FRA-1) is encoded by the FOSL1 (also known as FRA1) gene (Gene ID: 8061) in human. Fos-related antigen 1 (FOSL1) oncoprotein belongs to the activator protein-1 (AP-1) transcription factor family, which regulates gene expression involved in cell proliferation, differentiation, and survival. FOSL1 forms heterodimers with JUN (c-Jun, JunB, and JunD) proteins, mediating transcriptional activity. FOSL1 contains a basic leucine zipper (bZIP) domain that facilitates DNA binding and dimerization with JUN family members. Unlike c-Fos, FOSL1 lacks a transactivation domain, relying on its partners for transcriptional regulation. FOSL1 plays a critical role in immune responses, particularly in inflammatory pathways. It is involved in Th17 cell differentiation and autoimmune diseases such as rheumatoid arthritis through STAT3-mediated signaling. FOSL1 also modulates tumor progression by promoting epithelial-to-mesenchymal transition (EMT) and metastasis. microRNAs (miRNAs) and long non-coding RNAs (lncRNAs) contribute to the regulation of FOSL1 expression by directly interacting with its mRNA transcripts. Overexpression of FRA1 has been observed in several cancers, including breast, lung, and pancreatic carcinomas, where it contributes to tumor invasiveness and resistance to apoptosis. This ZooMAb® recombinant monoclonal antibody, generated by our proprietary technology, offers significantly enhanced specificity, affinity, reproducibility, and stability over conventional monoclonals. (Ref: Khedri, A., et al., (2024), Int. J. Mol. Sci, 25(10); 5362).
Immunogen
Application
Evaluated by Western Blotting in L6 cell lysate.
Western Blotting Analysis: A 1:10,000 dilution of this antibody detected FOSL1 in L6 cell lysate.
Tested Applications
Western Blotting Analysis: A 1:10,000 dilution from a representative lot detected FOSL1 in U-87 MG cell, MDA-MB-231 cell, and NIH/3T3 cell lysates.
Immunocytochemistry Analysis: A 1:1,000 dilution from a representative lot detected FOSL1 in U-87 MG cells.
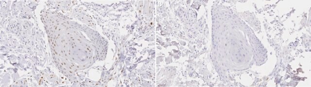
Immunohistochemistry (Paraffin) Analysis: A 1:100 dilution from a representative lot detected FOSL1 in human melanoma tissue sections.
Affinity Binding Assay: A representative lot of this antibody bound with FOSL1 peptide with at least one thousand-fold (1,000X) higher affinity than with non-specific control peptide.
Note: Actual optimal working dilutions must be determined by end user as specimens and experimental conditions may vary with the end user.
Biochem/physiol Actions
Physical form
Preparation Note
Legal Information
Disclaimer
Still not finding the right product?
Try our Product Selector Tool to narrow your options
Storage Class
11 - Combustible Solids
flash_point_f
Not applicable
flash_point_c
Not applicable
Regulatory Information
This item has
Choose from one of the most recent versions:
Already Own This Product?
Find documentation for the products that you have recently purchased in the Document Library.
Global Trade Item Number
| SKU | GTIN |
|---|---|
| ZRB3379-4X25UL | 04065273707236 |
| ZRB3379-25UL | 04065273707229 |