跳转至内容
Merck
CN

06-1063

Anti-Frizzled-7 Antibody

from rabbit, purified by affinity chromatography

别名:

frizzled homolog 7, Frizzled, homolog of, 7, frizzled-7, frizzled homolog 7

登录 查看组织和合同定价。

选择尺寸

变更视图

关于此项目

UNSPSC Code:
12352203
NACRES:
NA.41
eCl@ss:
32160702
Conjugate:
unconjugated
Clone:
polyclonal
Application:
ICC, IHC, WB
Citations:
4
技术服务
需要帮助?我们经验丰富的科学家团队随时乐意为您服务。
让我们为您提供帮助


biological source

rabbit

Quality Level

conjugate

unconjugated

antibody form

affinity isolated antibody

antibody product type

primary antibodies

clone

polyclonal

purified by

affinity chromatography

species reactivity

rat, human, mouse

technique(s)

immunocytochemistry: suitable, immunohistochemistry: suitable, western blot: suitable

NCBI accession no.

UniProt accession no.

shipped in

wet ice

target post-translational modification

unmodified

Gene Information

human ... FZD7(8324)

General description

Frizzled 7 is a multi-pass membrane protein belonging to the G-protein coupled receptor Fz/Smo family. It is a receptor for Wnt signaling, predominantly Wnt11, a crucial factor in the regulation of cellular migration and polarization during vertebrate gastrulation. Highest reported expression is in fetal kidney tissue and adult heart tissue. Lower levels have been observed in brain, placenta, adult heart, fetal lung, and squamous cell esophageal carcinomas.
The calculated molecular weight is 64 kDa Observed at ~83 kDa, most likely due to multiple glycosolation sites.

Immunogen

Epitope: Unknown
KLH-conjugated linear peptide corresponding to human Frizzled-7.

Application

Research Category
Signaling
Research Sub Category
Developmental Signaling
This Anti-Frizzled-7 Antibody is validated for use in WB, IH, IC for the detection of Frizzled-7.
Western Blot Analysis: A previous lot detected Frizzled-7 on 10 µg of HEK293 cell lysate and rat brain microsomal fraction tissue lysate.

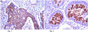
Immunohistochemistry Analysis: 1:300 dilution from a previous lot detected Frizzled-7 in human ductal in situ and GI tract tissue.

Immunocytochemistry Analysis: 1:500 dilution from a previous lot detected Frizzled-7 in A431 cells.

Biochem/physiol Actions

Recognizes Frizzled-7

Physical form

Affinity purified
Purified rabbit polyclonal in buffer containing 0.1 M Tris-Glycine (pH 7.4, 150 mM NaCl) with 0.05% sodium azide.

Preparation Note

Stable for 1 year at 2-8°C from date of receipt.

Analysis Note

Control
Mouse brain microsomal fraction tissue lysate
Evaluated by Western Blot in mouse brain microsomal fraction tissue lysate.

Western Blot Analysis: 1 µg/mL of this antibody detected Frizzled-7 on 10 µg of mouse brain microsomal fraction tissue lysate.

Other Notes

Concentration: Please refer to the Certificate of Analysis for the lot-specific concentration.

Disclaimer

Unless otherwise stated in our catalog or other company documentation accompanying the product(s), our products are intended for research use only and are not to be used for any other purpose, which includes but is not limited to, unauthorized commercial uses, in vitro diagnostic uses, ex vivo or in vivo therapeutic uses or any type of consumption or application to humans or animals.


Still not finding the right product?

试用我们的 产品选型工具 工具缩小选择范围


存储类别

12 - Non Combustible Liquids

wgk

WGK 1

flash_point_f

Not applicable

flash_point_c

Not applicable



分析证书(COA)

输入产品批号来搜索 分析证书(COA) 。批号可以在产品标签上"批“ (Lot或Batch)字后找到。

已有该产品?

在文件库中查找您最近购买产品的文档。

访问文档库



Taybor W Parker et al.
Scientific reports, 10(1), 2957-2957 (2020-02-23)
Wnt/β-catenin signaling is essential for intestinal homeostasis and is aberrantly activated in most colorectal cancers (CRC) through mutation of the tumor suppressor Adenomatous Polyposis Coli (APC). APC is an essential component of a cytoplasmic protein complex that targets β-catenin for
Bovine induced pluripotent stem cells are more resistant to apoptosis than testicular cells in response to mono-(2-ethylhexyl) phthalate.
Lin, YC; Kuo, KK; Wuputra, K; Lin, SH; Ku, CC; Yang, YH; Wang, SW; Wang, SW; Wu, DC; Wu et al.
International Journal of Molecular Sciences null
María E Ferrari et al.
Journal of cell science, 131(13) (2018-06-15)
The formation of complex dendritic arbors is crucial for the assembly of functional networks as abnormal dendrite formation underlies several neurodevelopmental and psychiatric disorders. Many extracellular factors have been postulated as regulators of dendritic growth. Wnt proteins play a critical



全球贸易项目编号

货号GTIN
06-106304053252376115