form
liquid
manufacturer/tradename
Novagen®
storage condition
OK to freeze
shipped in
wet ice
General description
YeastBuster<TMSYMBOL></TMSYMBOL> Protein Extraction Reagent is formulated for a fast, efficient and gentle extraction of active proteins from yeast cells. The reagent avoids harsh conditions of vigorous mechanical or chemical treatment that often result in heat degradation of target proteins. The proprietary formulation utilizes a mix of mild detergent, protein stabilization buffer, and tris(hydroxypropyl) phosphine (THP) reducing agent (THP concentrate provided separately). This powerful combination eliminates the inconsistencies associated with tedious mechanical disruption of yeast cells with glass bead abrasives, ultrasonication and pressure disruption, or enzymatic digestion with β-1,3-glucanase lytic enzymes. The reagent has been tested with Saccharomyces cerevisiae, Pichia pastoris, P. stipidis, and Schizosaccharomyces pombe strains and with plant cells.
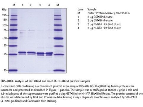
In practice, cells are harvested by centrifugation and suspended in YeastBuster. Following a brief incubation, insoluble cell debris is removed by centrifugation, and the clarified extract is ready to use. In addition to greater total protein yields in crude extracts and recovery of enzymatically active protein, the extracts are fully compatible with GST•Bind<TMSYMBOL></TMSYMBOL> and Ni-NTA HIS-BIND® immobilized metal affinity chromatography (IMAC) purification methods. The reagent is available in 100- and 500-ml sizes.
In practice, cells are harvested by centrifugation and suspended in YeastBuster. Following a brief incubation, insoluble cell debris is removed by centrifugation, and the clarified extract is ready to use. In addition to greater total protein yields in crude extracts and recovery of enzymatically active protein, the extracts are fully compatible with GST•Bind<TMSYMBOL></TMSYMBOL> and Ni-NTA HIS-BIND® immobilized metal affinity chromatography (IMAC) purification methods. The reagent is available in 100- and 500-ml sizes.



Efficient extraction of protein from yeast without mechanical disruption and enzymatic lysis
Features and Benefits
- Gentle, rapid, efficient extraction of proteins from yeast cells
- Eliminates the inconsistencies associated with abrasive grinding, ultrasonication, and pressure disruption of yeast cells
- Higher yield of total and enzymatically active proteins
- Fully compatible with Ni-NTA His•Bind and GST•Bind affinity purification methods
Other Notes
•100 ml or 500 mlYeastBuster Protein Extraction Reagent
•1 ml or 5 ml100X THP Solution
•1 ml or 5 ml100X THP Solution
Due to the nature of the Hazardous Materials in this shipment, additional shipping charges may be applied to your order. Certain sizes may be exempt from the additional hazardous materials shipping charges. Please contact your local sales office for more information regarding these charges.
Legal Information
HIS-BIND is a registered trademark of Merck KGaA, Darmstadt, Germany
NOVAGEN is a registered trademark of Merck KGaA, Darmstadt, Germany
Disclaimer
Toxicity: Multiple Toxicity Values, refer to MSDS (O)
signalword
Warning
hcodes
pcodes
Hazard Classifications
STOT RE 2 Oral
target_organs
Kidney
存储类别
12 - Non Combustible Liquids
wgk
WGK 2
flash_point_c
Not applicable
商品
YeastBuster™ Protein Extraction Reagent for Fast, Efficient Extraction of Proteins from Yeast
相关内容
细胞裂解和蛋白质溶解是进行有效分析和高效处理的关键步骤,默克分享提取方法包括酶法、化学法、机械法或几种方法的联合使用。
Cell lysis and protein extraction methods overview various techniques, from detergent solubilization to mechanical disruption, supporting research needs.
Mark Zander et al.
Nature plants, 6(3), 290-302 (2020-03-15)
Understanding the systems-level actions of transcriptional responses to hormones provides insight into how the genome is reprogrammed in response to environmental stimuli. Here, we investigated the signalling pathway of the hormone jasmonic acid (JA), which controls a plethora of critically
全球贸易项目编号
| 货号 | GTIN |
|---|---|
| 71186-3 | 04055977254044 |
| 71186-4 | 04055977254051 |
