跳转至内容
Merck
CN

AB152

抗酪氨酸羟化酶抗体

CHEMICON®, rabbit polyclonal

别名:

Tyrosine 3-hydroxylase, Tyrosine 3-monooxygenase, tyrosine hydroxylase, TH

登录 查看组织和合同定价。

选择尺寸

变更视图

关于此项目

UNSPSC Code:
12352203
eCl@ss:
32160702
NACRES:
NA.41
Clone:
polyclonal
Species reactivity:
human, mollusk, feline, ferret, Aplysia (marine mollusc), rat, squid, Drosophila, mouse
Application:
ELISA, IF, IHC (p), IP, WB
Citations:
925
技术服务
需要帮助?我们经验丰富的科学家团队随时乐意为您服务。
让我们为您提供帮助


产品名称

抗酪氨酸羟化酶抗体, Chemicon®, from rabbit

biological source

rabbit

Quality Level

antibody form

affinity isolated antibody

antibody product type

primary antibodies

clone

polyclonal

purified by

affinity chromatography

species reactivity

human, mollusk, feline, ferret, Aplysia (marine mollusc), rat, squid, Drosophila, mouse

manufacturer/tradename

Chemicon®

technique(s)

ELISA: suitable, immunofluorescence: suitable, immunohistochemistry (formalin-fixed, paraffin-embedded sections): suitable, immunoprecipitation (IP): suitable, western blot: suitable

NCBI accession no.

UniProt accession no.

shipped in

dry ice

target post-translational modification

unmodified

Gene Information

human ... TH(7054)
rat ... Th(25085)

General description

62 kDa
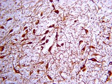
酪氨酸羟化酶(也称为酪氨酸3-羟化酶和酪氨酸3-单加氧酶)在肾上腺素能神经元生理过程中起重要作用。它是从酪氨酸生物合成儿茶酚胺多巴胺和去甲肾上腺素的第一种酶和限速酶。因此,TH是一种有用的多巴胺能和去甲肾上腺素能神经元标志物。TH酶活性维持需要亚铁离子作为辅因子,且人们普遍认为其受到磷酸化作用调控。目前至少鉴定出了四种因可变剪接而产生的人TH异构体。

Immunogen

大鼠嗜铬细胞瘤来源的变性酪氨酸羟化酶(经十二烷基硫酸钠变性)。

Application

免疫组化:
前一批抗体采用1:100-1:1000稀释度,4°C条件,持续1-3天。通过间接免疫荧光和免疫过氧化物酶而对新鲜冷冻和石蜡包埋的组织样品进行染色。

免疫荧光:
前一批抗体采用1:100-1:1000稀释度。

免疫沉淀
前一批抗体用于免疫沉淀。ELISA:
前一批抗体用于ELISA。终端用户需自行确定最佳的稀释度。
抗-酪氨酸羟化酶抗体可检测TH含量,已有ELISA、IF、IH、IH(P)、IP和WB应用文献发表并经过验证。
研究子类别
神经递质 & 受体

神经元 & 胶质标记
研究类别
神经科学

Biochem/physiol Actions

抗酪氨酸羟化酶抗体可与绝大多数哺乳动物以及多种非哺乳动物物种发生反应。该抗体经证不可用于石蜡包埋的人体组织。
酪氨酸羟化酶。通过蛋白质印迹,AB152可选择性标记约62kDa(已还原)处,与酪氨酸羟化酶对应的单个条带。此抗体可与绝大多数哺乳动物以及多种非哺乳动物物种发生反应。该抗体经证不可用于石蜡包埋的人体组织。

Physical form

亲和纯化
溶于含10mM HEPES(pH 7.5)、150mM NaCl(pH 7.5)、100 ug/mL BSA和50%甘油溶液的缓冲液的纯化兔多克隆抗体。

Preparation Note

自收到之日起,将未稀释的分装样品 -20ºC-70ºC储存,最多可保存6个月。应避免反复冻/融循环。请勿储存在自动除霜冰箱中。

Analysis Note

对照
阳性对照:脑(纹状体,交感神经末梢)和肾上腺。
阴性对照:肝脏。
通过蛋白质印迹对PC12裂解液进行常规评估。

蛋白质印迹分析:
利用该批次的1:1000稀释液检测10 μg PC12裂解液中的酪氨酸羟化酶。

Legal Information

CHEMICON is a registered trademark of Merck KGaA, Darmstadt, Germany

Disclaimer

除非我们的产品目录或产品附带的其他公司文档另有说明,否则我们的产品仅供研究使用,不得用于任何其他目的,包括但不限于未经授权的商业用途、体外诊断用途、离体或体内治疗用途或任何类型的消费或应用于人类或动物。


Still not finding the right product?

Explore all of our products under 抗酪氨酸羟化酶抗体

或者

试用我们的 产品选型工具 工具缩小选择范围


存储类别

10 - Combustible liquids



分析证书(COA)

输入产品批号来搜索 分析证书(COA) 。批号可以在产品标签上"批“ (Lot或Batch)字后找到。

已有该产品?

在文件库中查找您最近购买产品的文档。

访问文档库


实验方案

Tips and troubleshooting for FFPE and frozen tissue immunohistochemistry (IHC) protocols using both brightfield analysis of chromogenic detection and fluorescent microscopy.

商品

抗体可与特定的抗原结合,产生独特的抗体-抗原复合物。本文讨论这一连接键的性质,以及其作为分子标签的研究应用。

免疫荧光法(IF)通过在抗体标记上荧光分子,然后使用激光器激发荧光,包括蛋白质的定位、验证翻译后修饰或活化以及与其他蛋白质的邻近和复合等操作。

探索抗体处理基础知识,包括有关结构、类别和正常免疫球蛋白系列的技术信息。

查看所有文章

相关内容

抗体的质量决定了整个免疫检测的成败, 是在选择抗体时首选的考虑因素。基于Sigma®、Chemicon®、Upstate®、Mil l ipore®、 Calbiochem®和Novagen®等子品牌的强强联合,默克在创新的 免疫原设计、免疫、挑选、筛选和验证等方面有着数十年的经验, 创造出许多被广泛使用的抗体,如4G10,Neun,组蛋白修饰等抗 体都是相关领域的“金标”抗体。 我们的技术和科研背景使默克成为高质量抗体的主要设计者和生产 者,而不仅仅是经销商。毋庸置疑,我们的每个小瓶中的抗体都包 含着大量的科学研究成果。


Splanchnic sympathectomy prevents translocation and spreading of E coli but not S aureus in liver cirrhosis.
Worlicek M, Knebel K, Linde HJ, Moleda L, Scholmerich J, Straub RH, Wiest R
Gut null
Axon guidance of mouse olfactory sensory neurons by odorant receptors and the beta2 adrenergic receptor.
Feinstein, P; Bozza, T; Rodriguez, I; Vassalli, A; Mombaerts, P
Cell null
Low density of sympathetic nerve fibers relative to substance P-positive nerve fibers in lesional skin of chronic pruritus and prurigo nodularis.
Haas S, Capellino S, Phan NQ, Bohm M, Luger TA, Straub RH, Stander S
Journal of Dermatological Science null



全球贸易项目编号

货号GTIN
AB15204053252287138