跳转至内容
Merck
CN

AB2257

Anti-Vesicular GABA Transporter Antibody

serum, from rabbit

别名:

GABA and glycine transporter, Solute carrier family 32 member 1, Vesicular GABA transporter, solute carrier family 32 (GABA vesicular transporter), member 1, solute carrier family 32, member 1, vesicular inhibitory amino acid transporter

登录 查看组织和合同定价。

选择尺寸

变更视图

关于此项目

UNSPSC Code:
12352203
NACRES:
NA.41
eCl@ss:
32160702
Conjugate:
unconjugated
Clone:
polyclonal
Application:
IHC, WB
Citations:
4
技术服务
需要帮助?我们经验丰富的科学家团队随时乐意为您服务。
让我们为您提供帮助


biological source

rabbit

Quality Level

conjugate

unconjugated

antibody form

serum

antibody product type

primary antibodies

clone

polyclonal

species reactivity

rat

species reactivity (predicted by homology)

monkey, human

technique(s)

immunohistochemistry: suitable, western blot: suitable

NCBI accession no.

UniProt accession no.

shipped in

wet ice

target post-translational modification

unmodified

Gene Information

human ... SLC32A1(140679)
mouse ... Slc32A1(22348)

General description

Approx. 57 kDa
Vesicular GABA transporter (VGAT), the first vesicular amino acid transporter to be molecularly identified, differs in structure from previously cloned vesicular neurotransmitter transporters and defines a novel gene family. VGAT is highly concentrated in the nerve endings of GABAergic neurons in the brain and spinal cord but also in glycinergic nerve endings. In contrast, hippocampal mossy fiber boutons, which are glutamatergic but known to contain GABA, lack VGAT immunoreactivity. Although the great majority of nerve terminals containing GABA or glycine are immunopositive for VGAT, subpopulations of nerve endings rich in GABA or glycine appear to lack the protein. Additional vesicular transporters or alternative modes of release may therefore contribute to the inhibitory neurotransmission mediated by these two amino acids.

Immunogen

Epitope: C-terminus
KLH conjugated Vesicular GABA Transporter corresponding to the C-terminus.

Application

Anti-Vesicular GABA Transporter Antibody is an antibody against Vesicular GABA Transporter for use in WB, IH.
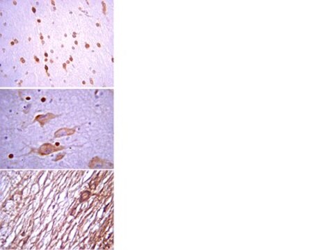
Immunohistochemistry Analysis:
1:50 - 1:500 dilution from a previous lot detected vesiluar GABA transporter using IHC-Select Detection with HRP-DAB.
Research Category
Neuroscience
Research Sub Category
Ion Channels & Transporters

Biochem/physiol Actions

Cat. # AB2257 recognizes VGAT.

Physical form

Antigen Affinity Purified
Rabbit polyclonal serum in buffer containing 0.1M Tris-Glycine (pH7.4) 15mM NaCl with 0.05% NaN3.

Preparation Note

Stable for 1 year at 2-8ºC from date of receipt.

Analysis Note

Control
Rat brain lysate.
Routinely evaluated by Western Blot on rat brain lysates.

Western Blot Analysis:
1:500 - 1:1,000 dilution of this lot detected vesicular GABA transporter on 10 µg of rat brain lysate.

Other Notes

Concentration: Please refer to the Certificate of Analysis for the lot-specific concentration.

Disclaimer

Unless otherwise stated in our catalog or other company documentation accompanying the product(s), our products are intended for research use only and are not to be used for any other purpose, which includes but is not limited to, unauthorized commercial uses, in vitro diagnostic uses, ex vivo or in vivo therapeutic uses or any type of consumption or application to humans or animals.


Still not finding the right product?

试用我们的 产品选型工具 工具缩小选择范围


存储类别

12 - Non Combustible Liquids

wgk

WGK 1

flash_point_f

Not applicable

flash_point_c

Not applicable



分析证书(COA)

输入产品批号来搜索 分析证书(COA) 。批号可以在产品标签上"批“ (Lot或Batch)字后找到。

已有该产品?

在文件库中查找您最近购买产品的文档。

访问文档库



In vivo imaging of intersynaptic vesicle exchange using VGLUT1 Venus knock-in mice.
Herzog, E; Nadrigny, F; Silm, K; Biesemann, C; Helling, I; Bersot, T; Steffens et al.
The Journal of Neuroscience null
Christina M Ragan et al.
Frontiers in global women's health, 2, 746518-746518 (2022-02-26)
Upregulation of the inhibitory neurotransmitter, GABA, is involved in many of the behavioral differences between postpartum and nulliparous female rodents. This is evidenced by studies showing that pharmacological blockade of GABAergic activity impairs maternal caregiving and postpartum affective behaviors. However
Gisella Vetere et al.
Nature neuroscience, 24(5), 685-693 (2021-03-31)
Memories are supported by distributed hippocampal-thalamic-cortical networks, but the brain regions that contribute to network activity may vary with memory age. This process of reorganization is referred to as systems consolidation, and previous studies have examined the relationship between the



全球贸易项目编号

货号GTIN
AB225704053252327384