跳转至内容
Merck
CN

AB5411

抗硝基酪氨酸抗体

Chemicon®, from rabbit

别名:

硝酪氨酸抗体

登录 查看组织和合同定价。

选择尺寸

变更视图

关于此项目

UNSPSC Code:
12352203
NACRES:
NA.41
eCl@ss:
32160702
Clone:
polyclonal
Species reactivity:
mouse, human
Application:
IHC, WB
Citations:
95
技术服务
需要帮助?我们经验丰富的科学家团队随时乐意为您服务。
让我们为您提供帮助


biological source

rabbit

Quality Level

antibody form

purified immunoglobulin

antibody product type

primary antibodies

clone

polyclonal

species reactivity

mouse, human

species reactivity (predicted by homology)

all

manufacturer/tradename

Chemicon®

technique(s)

immunohistochemistry: suitable (paraffin), western blot: suitable

shipped in

wet ice

target post-translational modification

unmodified

Gene Information

human ... NOS1(4842)

General description

细胞产生的高活性氮来源于一氧化氮,如过氧亚硝酸盐、二氧化氮和硝基氯,导致酪氨酸的硝化作用驻留在组织蛋白中。 蛋白质硝基酪氨酸形成的程度提供了一段时间内活性氮种类和潜在细胞损伤的生产指标。 硝基酪氨酸可以通过蛋白质水解物的氨基酸分析来测量,并通过免疫细胞化学技术使用针对硝基酪氨酸半抗原的抗体来进行检测、半定量估计和细胞和组织定位。

Immunogen

硝化KLH。

Application

使用经验证可用于IH(P) & WB的抗硝基酪氨酸抗体检测硝基酪氨酸。
研究子类别
氧化应激
研究类别
神经科学
蛋白质印迹:
前一批的1:10 - 1:10 00稀释液成功地用于蛋白质印迹,以检测硝化BSA和硝化卵清蛋白。

免疫组织化学:
1:50-1:100石蜡包埋、10%中性缓冲福尔马林固定小鼠肝脏(经酵母聚糖处理的动物)和正常人小脑组织。组织必须用热诱导表位检索(HIER)预处理。AB5411孵育10分钟,使用Chemicon IHCSelect, HRP-DAB试剂盒(目录号DAB150)产生反应。

最佳工作稀释度必须由最终使用者进行确定。

Biochem/physiol Actions

与其他物种的反应性尚未确定。
识别硝化酪氨酸残基。

Physical form

形式:纯化
纯化兔多克隆抗体溶于含有0.1%叠氮化钠的缓冲液中。
纯化蛋白A

Preparation Note

自收到之日起,在2-8ºC条件下可稳定保存1年。

Analysis Note

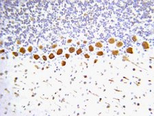
免疫组织化学(石蜡)分析:
小鼠大脑(酵母聚糖)的硝基酪氨酸(AB5411)染色,组织用pH 6.0的柠檬酸缓冲液预处理。 使用带有 HRP-DAB 的 IHC-Select Detection 将多克隆抗体稀释至 1:500。免疫反应在海马体中可见。
硝基酪氨酸单克隆的最佳染色: 用酵母聚糖治疗小鼠大脑。
对照
阳性对照:酪氨酸残基可以使用过氧亚硝酸盐(目录号20-107)直接在组织切片上原位硝化,以产生阳性对照。组织切片脱蜡后,在载玻片上滴入pH值为7.4的PBS,其中混合10微升过氧亚硝酸盐溶液。注意溶液的pH值保持在7.4。

Other Notes

替代:AB5386
浓度:请参考批次特异性浓缩物的检验报告。

Legal Information

CHEMICON is a registered trademark of Merck KGaA, Darmstadt, Germany

Disclaimer

除非我们的产品目录或产品附带的其他公司文档另有说明,否则我们的产品仅供研究使用,不得用于任何其他目的,包括但不限于未经授权的商业用途、体外诊断用途、离体或体内治疗用途或任何类型的消费或应用于人类或动物。


Still not finding the right product?

Explore all of our products under 抗硝基酪氨酸抗体

或者

试用我们的 产品选型工具 工具缩小选择范围


存储类别

12 - Non Combustible Liquids

wgk

WGK 2

flash_point_f

Not applicable

flash_point_c

Not applicable



分析证书(COA)

输入产品批号来搜索 分析证书(COA) 。批号可以在产品标签上"批“ (Lot或Batch)字后找到。

已有该产品?

在文件库中查找您最近购买产品的文档。

访问文档库


相关内容

"Redox reactions are powerful chemical processes that involve the reduction and oxidation of proteins and metabolites found in living things. The mechanisms that regulate them are key to maintaining homeostasis and the balance between good health and disease pathology. Oxidative stress is the state where the delicate balance of redox biology is upset, and the pathology of oxidative stress are the cellular consequences to such an imbalance."

查看所有相关内容

Mardjaneh Karbalaei Sadegh et al.
British journal of pharmacology, 162(5), 1156-1170 (2010-11-26)
Caveolin-1-deficiency is associated with substantial urogenital alterations. Here, a mechanical, histological and biochemical characterization of female detrusors from wild-type and caveolin-1-deficient (KO) mice was made to increase the understanding of detrusor changes caused by lack of caveolae. Length-tension relationships were
Selective inactivation of NF-kappaB in the liver using NF-kappaB decoy suppresses CCl4-induced liver injury and fibrosis.
Son, G; Iimuro, Y; Seki, E; Hirano, T; Kaneda, Y; Fujimoto, J
American Journal of Physiology: Gastrointestinal and Liver Physiology null
Hyperglycemia accelerates apparent diffusion coefficient-defined lesion growth after focal cerebral ischemia in rats with and without features of metabolic syndrome.
Tarr, D; Graham, D; Roy, LA; Holmes, WM; McCabe, C; Mhairi Macrae, I; Muir, KW; Dewar, D
Journal of Cerebral Blood Flow and Metabolism null



全球贸易项目编号

货号GTIN
AB541104053252284434