跳转至内容
Merck
CN

AB9260

抗-Ki-67抗体

Chemicon®, from rabbit

别名:

Anti-Ki-67

登录 查看组织和合同定价。

选择尺寸

变更视图

关于此项目

UNSPSC Code:
12352203
NACRES:
NA.41
eCl@ss:
32160702
Conjugate:
unconjugated
Clone:
polyclonal
Application:
IHC, WB
Citations:
146
技术服务
需要帮助?我们经验丰富的科学家团队随时乐意为您服务。
让我们为您提供帮助


biological source

rabbit

Quality Level

conjugate

unconjugated

antibody form

affinity isolated antibody

antibody product type

primary antibodies

clone

polyclonal

purified by

affinity chromatography

species reactivity

mouse, human

species reactivity (predicted by homology)

rat

manufacturer/tradename

Chemicon®

technique(s)

immunohistochemistry: suitable (paraffin), western blot: suitable

NCBI accession no.

UniProt accession no.

shipped in

wet ice

target post-translational modification

unmodified

Gene Information

human ... MKI67(4288)
mouse ... Mki67(17345)
rat ... Mki67(291234)

General description

预测值:在~345或395 kDa处可观察到359 kDa MW
Ki67抗原是与原型细胞周期相关的核蛋白,通过在活跃细胞周期的所有阶段(G1、S、G2和M阶段)的增殖细胞来表达。在静息(G0)细胞中不表达。Ki67抗体可用于确定肿瘤中的细胞生长分数(通过免疫组织化学定量确定总静息细胞数中Ki67阳性细胞数 = Ki67指数 )。在肿瘤组织中,预后值与氚胸苷标记指数相当。低Ki67指数与组织学低级别肿瘤之间具有很强的相关性。Ki67通常用作细胞周期和增殖的神经标志物。

Immunogen

来自人Ki-67的合成肽

Application

使用已证明可在IHC(P)&WB中起作用的抗Ki-67抗体(兔多克隆抗体)检测Ki-67。
免疫细胞化学:
使用AB9260兔 pAB对A431细胞进行共聚焦荧光分析。肌动蛋白丝用Alexa Fluor488-鬼笔环肽标记。核用DAPI染色。(核染色)。

蛋白质印迹分析:
先前批次的该抗体已用于蛋白质印迹法。

最佳工作稀释度必须由最终用户确定。

Biochem/physiol Actions

识别Ki-67

Physical form

在含有10 mM PBS,pH值7.4,含有BSA和叠氮化钠的的缓冲液中纯化的兔多克隆抗体。

Analysis Note

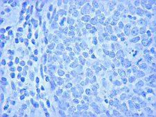
免疫组化(石蜡):
代表性批次数据。
该抗体以1:300的稀释度用于福尔马林固定、石蜡包埋的组织中于室温下放置10分钟。福尔马林固定组织的染色需要将组织在10 mM柠檬酸盐缓冲液,pH值6.0中煮沸10分钟,然后在室温下冷却20分钟。
对照
阳性对照:乳腺癌,淋巴结组织,正常扁桃体。

Other Notes

浓度:请参考批次特异性浓缩物的分析证书。

Legal Information

CHEMICON is a registered trademark of Merck KGaA, Darmstadt, Germany


Still not finding the right product?

试用我们的 产品选型工具 工具缩小选择范围


存储类别

12 - Non Combustible Liquids

wgk

WGK 2

flash_point_f

Not applicable

flash_point_c

Not applicable



分析证书(COA)

输入产品批号来搜索 分析证书(COA) 。批号可以在产品标签上"批“ (Lot或Batch)字后找到。

已有该产品?

在文件库中查找您最近购买产品的文档。

访问文档库







全球贸易项目编号

货号GTIN
AB926008436037123436