跳转至内容
Merck
CN

ABN131

抗-GABA抗体

from rabbit, purified by affinity chromatography

登录 查看组织和合同定价。

选择尺寸

变更视图

关于此项目

UNSPSC Code:
12352203
NACRES:
NA.41
eCl@ss:
32160702
Clone:
polyclonal
Species reactivity:
rat
Application:
ELISA, IHC
Citations:
3
技术服务
需要帮助?我们经验丰富的科学家团队随时乐意为您服务。
让我们为您提供帮助


biological source

rabbit

Quality Level

antibody form

affinity isolated antibody

antibody product type

primary antibodies

clone

polyclonal

purified by

affinity chromatography

species reactivity

rat

species reactivity (predicted by homology)

all

technique(s)

ELISA: suitable, immunohistochemistry: suitable (paraffin)

shipped in

wet ice

target post-translational modification

unmodified

Gene Information

rat ... Gabra1(29705)

General description

神经递质可以定义为在被突触后细胞表面的受体结合之前由突触前神经元释放的化学物质。众所周知,神经系统利用神经递质进行细胞信号传导。神经递质可分为两组;低分子量递质分子,例如生物胺,嘌呤或氨基酸,以及生物活性肽,在哺乳动物的中枢神经系统中已鉴定出其中50多个成员。许多低分子量神经递质是在常见的细胞代谢产物的轴突末端产生,并包装到突触囊泡中。含有神经递质的囊泡的转运和传递是一个高度调控的复杂过程。GABA(g-氨基丁酸)是中枢神经系统中的主要抑制性神经递质,与某些神经障碍和精神疾病的发病机理有关。GABA是由谷氨酸在谷氨酸脱羧酶催化的反应中产生的。GABA与GABAA和GABAB受体相互作用,GABAA和GABAB受体广泛分布在整个神经系统和多种细胞类型中。神经递质分子及其前体的免疫定位,神经元分布和囊泡区室化对于理解神经系统中神经递质的调节,调控和功能非常重要。

Application

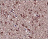
免疫组化分析:代表性批次的1:500的稀释液在大鼠脑组织中检测到GABA(注意:在血管组织中可能观察到非特异性染色。)。

ELISA分析:来自独立实验室的代表性批次在竞争性ELISA中检测到GABA。
抗GABA抗体是一种高度特异性的兔多克隆抗体,其靶向GABA&已在IHC(石蜡)&酶免疫测定(ELISA)中进行了测试。

Analysis Note

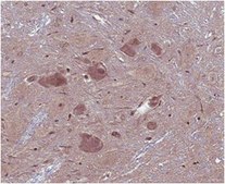
对照
大鼠下丘脑组织
通过免疫组化(石蜡)对大鼠脑组织切片进行了评价。

免疫组化(石蜡)分析:该抗体的1:250 的稀释液在大鼠脑组织切片中检测到GABA。

Other Notes

替代品:AB131
浓度:请参考批次特异性浓缩物的分析证书。


Still not finding the right product?

Explore all of our products under 抗-GABA抗体

或者

试用我们的 产品选型工具 工具缩小选择范围


存储类别

12 - Non Combustible Liquids

wgk

WGK 1

flash_point_f

Not applicable

flash_point_c

Not applicable



分析证书(COA)

输入产品批号来搜索 分析证书(COA) 。批号可以在产品标签上"批“ (Lot或Batch)字后找到。

已有该产品?

在文件库中查找您最近购买产品的文档。

访问文档库







全球贸易项目编号

货号GTIN
ABN13104053252861185