跳转至内容
Merck
CN

MABF31

Anti-Alpha Defensin-5 (HD5) Antibody, clone 8C8

clone 8C8, from mouse

别名:

defensin, alpha 5, Paneth cell-specific, defensin, alpha 5, preproprotein, defensin-5, defensin 5, Defensin, alpha 5

登录 查看组织和合同定价。

选择尺寸

变更视图

关于此项目

UNSPSC Code:
12352203
NACRES:
NA.41
eCl@ss:
32160702
Conjugate:
unconjugated
Clone:
8C8, monoclonal
Application:
IHC, WB
Citations:
1
技术服务
需要帮助?我们经验丰富的科学家团队随时乐意为您服务。
让我们为您提供帮助


biological source

mouse

Quality Level

conjugate

unconjugated

antibody form

purified antibody

antibody product type

primary antibodies

clone

8C8, monoclonal

species reactivity

human

technique(s)

immunohistochemistry: suitable, western blot: suitable

isotype

IgG2bκ

NCBI accession no.

UniProt accession no.

shipped in

wet ice

target post-translational modification

unmodified

Gene Information

human ... DEFA5(1670)

General description

10 kDa calculated
Human alpha defensin-5 (HD5) is one of six peptides belonging to the alpha defensin family. Defensins are small peptides involved in immunological defense against viral and microbial infections through either direct interaction with pathogens or in combination with other immune system factors. There are three subfamilies of defensins (α, β, and θ). α defensins are only observed in mammals and are mainly β-sheet structures. Alpha defensin-5 (HD5) is primarily expressed in the Paneth cells found within the small intestine, and has been shown to possess activity against both Gram-positive and Gram-negative microbes. Studies have shown alpha defensin-5 (HD5) to be a strong antagonist towards human Papillomavirus infection. It may also play a role Crohn’s disease.

Immunogen

Recombinant protein corresponding to human alpha defensin-5 (HD5).

Application

Anti-Alpha Defensin-5 (HD5) Antibody, clone 8C8 detects level of Alpha Defensin-5 (HD5) & has been published & validated for use in IH & WB.
Western Blot Analysis: 0.5 ug/mL from a previous lot detected alpha defensin-5 (HD5) in human small intestine tissue lysate. The urea-treated method is recommended instead of SDS page (Shen, B. et al., 2005).

Physical form

Format: Purified

Analysis Note

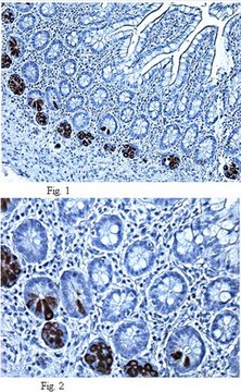
Evaluated by Immunohistochemistry in normal human tranverse colon tissue.

Immunohistochemistry Analysis: A 1:200 dilution of this antibody detected alpha defensin-5 (HD5) in normal human tranverse colon tissue.
Control
Normal human tranverse colon tissue

Other Notes

Concentration: Please refer to the Certificate of Analysis for the lot-specific concentration.


Still not finding the right product?

试用我们的 产品选型工具 工具缩小选择范围


存储类别

12 - Non Combustible Liquids

wgk

WGK 1

flash_point_f

Not applicable

flash_point_c

Not applicable



分析证书(COA)

输入产品批号来搜索 分析证书(COA) 。批号可以在产品标签上"批“ (Lot或Batch)字后找到。

已有该产品?

在文件库中查找您最近购买产品的文档。

访问文档库



Charles Vragniau et al.
Journal of virology, 91(6) (2017-01-13)
Defensins are small antimicrobial peptides capable of neutralizing human adenovirus (HAdV) in vitro by binding capsid proteins and blocking endosomal escape of virus. In humans, the alpha defensin HD5 is produced by specialized epithelial cells of the gastrointestinal and genito-urinary



全球贸易项目编号

货号GTIN
MABF3104053252680854