跳转至内容
Merck
CN

MABN1595

抗-5-羟色胺受体2A/HTR2A抗体,克隆9B11.1

clone 9B11.1, from mouse

别名:

5-hydroxytryptamine receptor 2A, 5-HT-2, 5-HT-2A, 5-HT2A, Serotonin receptor 2A

登录 查看组织和合同定价。

选择尺寸

变更视图

关于此项目

UNSPSC Code:
12352203
NACRES:
NA.41
eCl@ss:
32160702
Conjugate:
unconjugated
Clone:
9B11.1, monoclonal
Application:
IHC, WB
Citations:
3
技术服务
需要帮助?我们经验丰富的科学家团队随时乐意为您服务。
让我们为您提供帮助


biological source

mouse

Quality Level

conjugate

unconjugated

antibody form

purified immunoglobulin

antibody product type

primary antibodies

clone

9B11.1, monoclonal

species reactivity

mouse, rat, human

technique(s)

immunohistochemistry: suitable, western blot: suitable

isotype

IgG2aκ

NCBI accession no.

UniProt accession no.

shipped in

wet ice

target post-translational modification

unmodified

Gene Information

human ... HTR2A(3356)

General description

5-羟色胺受体2A(UniProt P28223;也称为5-HT-2、5-HT-2A、5-HT2A、5-羟色胺受体2A)由人类中的HTR2A(也称为HTR2)基因(基因ID 3356)编码。羟色胺(5-HT)在肠的肠嗜铬细胞和5-羟色胺能神经末梢合成。在外周,5-HT介导胃肠运动、血小板聚集和血管收缩。中枢神经系统的许多功能都受到5-HT的影响,包括睡眠、运动活动、感觉知觉、唤醒和食欲。12个GPCR和一个离子通道家族介导5-HT的生物学作用。5-HT2A受体与Gq/11偶联以增加细胞内钙,在5-HT作用的中央和周围部位广泛表达,并有助于5-HT的许多生理作用。LSD的致幻活性部分是由其作为5-HT2A受体的部分或完全激动剂的作用介导的,而非典型抗精神病药(如氯氮平)的活性似乎部分是由对5-HT2A受体的拮抗作用介导的。人5-HT2A受体包含四个胞外域(a.a.1-75、133-148、216-233、347-362)、七个跨膜片段(a.a.76-99、111-132、149-171、192-215、234-254、325-346、363-384)和四个胞质域(a.a.100-110、172-191、255-324、385-471)。
观测分子量〜52 kDa。计算分子量52.60 kDa(亚型1)和43.94 kDa(亚型2)。

Immunogen

GST标记的重组片段,对应于人5-羟色胺受体2A/HTR2A的第三个胞质结构域。
表位:第三胞质结构域。

Application

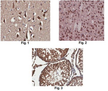
免疫组织化学分析:一个代表性批次以1:50稀释度在人大脑皮层、小鼠大脑皮层和大鼠睾丸组织切片中检测到2A/HTR2A。
研究子类别
GPCR,cAMP/cGMP&钙信号传导
研究类别
神经科学
该抗5-羟色胺受体2A/HTR2A抗体(克隆9B11.1)经验证可用于蛋白质印迹、免疫组织化学检测SHTR2A。

Biochem/physiol Actions

预期与UniProt(P28223)报告的人5-羟色胺受体2A的两种剪接亚型反应。

Physical form

形式:纯化
纯化的小鼠单克隆IgG2aκ抗体,溶于含0.1 M Tris-甘氨酸(pH 7.4)、150 mM NaCl和0.05%叠氮化钠的缓冲液中。
纯化蛋白G

Preparation Note

自接收之日起,在2-8°C下可稳定保存1年。

Analysis Note

通过蛋白质印迹法在人大脑皮层组织裂解物中进行评价。

蛋白质印迹分析:0.5 µg/mL的该抗体在10 µg人大脑皮层组织裂解物中检测到2A/HTR2A。

Other Notes

浓度:请参考特定批次的数据表。

Disclaimer

除非我们的目录或产品随附的其他公司文件中另有说明,否则我们的产品预期仅用于研究用途,不得用于任何其他目的,包括但不限于未经授权的商业用途、体外诊断用途、离体或体内治疗用途或对人类或动物的任何类型的消费或应用。


Still not finding the right product?

试用我们的 产品选型工具 工具缩小选择范围


存储类别

12 - Non Combustible Liquids

wgk

WGK 1

flash_point_f

Not applicable

flash_point_c

Not applicable



分析证书(COA)

输入产品批号来搜索 分析证书(COA) 。批号可以在产品标签上"批“ (Lot或Batch)字后找到。

已有该产品?

在文件库中查找您最近购买产品的文档。

访问文档库



Teita Asano et al.
British journal of pharmacology, 174(19), 3370-3381 (2017-07-28)
Visceral hypersensitivity is responsible for pathogenesis of irritable bowel syndrome (IBS). Therefore, its prevention can help avoid abdominal pain and discomfort in IBS. To find candidate drugs for visceral hypersensitivity, we screened existing medicines for their ability to prevent visceral
Lizhu Jiang et al.
Frontiers in molecular neuroscience, 12, 317-317 (2020-02-11)
Spaced training is robustly superior to massed training, which is a well-documented phenomenon in humans and animals. However, the mechanisms underlying the spacing effect still remain unclear. We have reported previously that spacing training exerts memory-enhancing effects by inhibiting forgetting
Jung Eun Kim et al.
Science advances, 7(10) (2021-03-05)
Stress is a key risk factor for dystonia, a debilitating motor disorder characterized by cocontractions of muscles leading to abnormal body posture. While the serotonin (5HT) system is known to control emotional responses to stress, its role in dystonia remains



全球贸易项目编号

货号GTIN
MABN159504055977331196