Quality Level
manufacturer/tradename
ApopTag, Chemicon®
detection method
colorimetric
shipped in
dry ice
General description
ApopTag 过氧化物酶试剂盒经鉴定可用于以下标本的组织化学和细胞化学染色:福尔马林固定,石蜡包埋的组织,低温恒温器切片,细胞悬液,细胞离心涂片和细胞培养物。已经开发了整个固定方法(34,45)。(数据表见章节V.参考文献)。
Chemicon和许多其他实验室已经证明了ApopTag过氧化物酶试剂盒的染色特异性。Chemicon已经测试了多种类型的模型细胞和组织系统,包括:(a)人前列腺,胸腺和大肠(内部数据);(b)去势后大鼠腹侧前列腺(21),(c)用地塞米松体外处理的大鼠胸腺淋巴细胞(3,13),(d)14天小鼠胚胎肢体(1)和(e)大鼠乳腺断奶后退化(36)。在胸腺细胞和前列腺模型中,琼脂糖凝胶电泳用于评估DNA梯形的数量,该梯形的峰值与染色细胞的最大百分比一致。来自全球实验室的许多期刊出版物已经确定了ApopTag 试剂盒的有用性。(数据表见章节V.参考文献,引用ApopTag试剂盒的出版物)。
Application
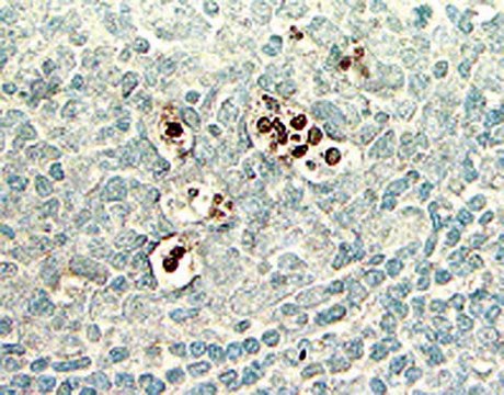
ApopTag 原位凋亡检测试剂盒通过利用末端脱氧核苷酸转移酶(TdT)修饰DNA片段来标记研究样品中的凋亡细胞,从而通过特异性染色检测凋亡细胞。
本手册包含ApopTag Plus原位细胞凋亡检测试剂盒的信息和方案。
程序原理
ApopTag 过氧化物酶试剂盒中提供的试剂旨在用化学标记和未标记的核苷酸原位标记游离的3′OH DNA末端。反应缓冲液中包含的核苷酸通过末端脱氧核苷酸转移酶(TdT)酶促添加到DNA中(13,31)。TdT催化不依赖模板的核苷酸三磷酸添加到双链或单链DNA的3′-OH末端。掺入的核苷酸以随机序列形成由地高辛缀合的核苷酸和未标记的核苷酸组成的寡聚物。优化ApopTag 过氧化物酶试剂盒中标记核苷酸与未标记核苷酸的比例,以促进抗地高辛配基抗体的结合。尚未测量添加的低聚物的确切长度。
然后允许用地高辛配基-核苷酸标记的DNA片段结合与过氧化物酶报告分子偶联的抗地高辛配基抗体(图1A)。结合的过氧化物酶抗体偶联物通过显色底物酶促产生永久性、强烈的局部染色,从而在免疫组织化学或免疫细胞化学(即组织或细胞)中提供灵敏的检测。这种混合的分子生物学组织化学系统可以对位于凋亡小体中的非常高浓度的3′-OH末端进行敏感和特异性染色。
ApopTag 系统与先前描述的凋亡原位标记技术(13、16、38、46)显著不同,在该技术中,抗生物素蛋白与细胞生物素的结合可能是错误的来源。已发现地高辛/抗地高辛系统对抗生物素蛋白/生物素系统同样敏感(22)。地高辛的唯一天然来源是洋地黄植物。用于结合抗地高辛抗体的免疫化学相似配体在动物组织中通常是微不足道的,从而确保了低背景染色。亲和纯化的绵羊多克隆抗体是ApopTag 试剂盒中使用的特异性抗地高辛试剂。该抗体与主要脊椎动物类固醇表现出<1%的交叉反应性。此外,该抗体的Fc部分已通过蛋白水解消化去除,以消除对细胞Fc受体的任何非特异性吸附。
使用ApopTag 试剂盒的结果已广泛发表(请参阅章节V.参考文献,引用ApopTag试剂盒的出版物)。ApopTag 产品线在实验设计中提供了各种选择。研究人员可以根据可用的专业知识和设备选择通过明场或荧光显微镜或流式细胞仪检测染色。当使用ApopTag试剂盒时,也有机会在凋亡的背景下研究其他相关的蛋白质。通过使用与过氧化物酶以外的酶偶联的抗体和适当的底物选择,可以使用ApopTag过氧化物酶试剂盒同时检查另一种蛋白质和细胞凋亡。
Preparation Note
注意事项
1.以下试剂盒组件包含二甲胂酸钾(二甲基胂酸)作为缓冲液:平衡缓冲液(90416),反应缓冲液(90417)和TdT酶(90418)。如果吞食,这些成分是有害的;避免接触皮肤和眼睛(戴上手套,眼镜),并立即清洗接触区域。
2.已证明DAB(3,3′二氨基联苯胺)底物(90423)是潜在的致癌物,应避免皮肤接触。如果发生皮肤接触,请用大量dH2O冲洗。
3. 抗体偶联物(90420)含有0.08%叠氮化钠作为防腐剂。
4. TdT酶(90418)含有甘油,在-20°C时不会结冰。对于最长有效期,请勿将该试剂在分装前加热至室温。
Other Notes
反应缓冲液91417 2.0 mL-15°C至-25°C
TdTs酶90418 0.672 mL-15°C至-25°C
终止/洗涤缓冲液90419 20 mL-15°C至-25°C
抗地高辛-过氧化物酶*90420 3.0 mL 2°C至8°C
塑料盖玻片90421 100 ea.室温
质控玻片90422 2每个室温
DAB底物90423 130 μL 2°C至8°C
DAB稀释缓冲液90424 6.5 mL 2°C至8°C
*亲和纯化的绵羊多克隆抗体
每个试剂盒的样品数量:当根据说明使用时,提供足够的材料对40个约5 cm2的组织标本进行染色。当试剂盒用于载玻片标本时,反应缓冲液将在其他试剂之前完全消耗。
Legal Information
Disclaimer
hcodes
Hazard Classifications
Aquatic Chronic 2 - Carc. 1B - Muta. 2 - STOT RE 2 Inhalation
signalword
Danger
target_organs
Respiratory Tract
存储类别
6.1C - Combustible acute toxic Cat.3 / toxic compounds or compounds which causing chronic effects
wgk
WGK 3
商品
细胞凋亡测定使用膜联蛋白V、Caspase和TUNEL DNA片段化检测法检测程序性细胞死亡。
Cellular apoptosis assays to detect programmed cell death using Annexin V, Caspase and TUNEL DNA fragmentation assays.
相关内容
"Recognizing both the tremendous opportunities and the challenges facing cancer research, we are dedicated to developing and refining tools and technologies for the study of cancer. With our comprehensive portfolio, including the Upstate®, Chemicon®, and Calbiochem® brands of reagents and antibodies, researchers can count on dependable, high quality solutions for analyzing all the hallmarks of cancer."

