跳转至内容
Merck
CN

113R-2

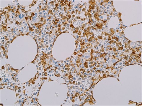
CD13 (EP117) Rabbit Monoclonal Primary Antibody

别名:

Aminopeptidase-N

登录 查看组织和合同定价。

选择尺寸

变更视图

关于此项目

UNSPSC Code:
12352203
Conjugate:
unconjugated
Clone:
EP117, monoclonal
Application:
IHC (p)
Citations:
6
技术服务
需要帮助?我们经验丰富的科学家团队随时乐意为您服务。
让我们为您提供帮助


biological source

rabbit

Quality Level

conjugate

unconjugated

antibody form

culture supernatant

antibody product type

primary antibodies

clone

EP117, monoclonal

description

For In Vitro Diagnostic Use in Select Regions (See Chart)

form

buffered aqueous solution

species reactivity

human

packaging

vial of 0.1 mL concentrate (113R-24), vial of 0.1 mL concentrate Research Use Only (113R-24-RUO), vial of 0.5 mL concentrate (113R-25), vial of 1.0 mL concentrate (113R-26), vial of 1.0 mL concentrate Research Use Only (113R-26-RUO), vial of 1.0 mL pre-dilute Research Use Only (113R-27-RUO), vial of 1.0 mL pre-dilute ready-to-use (113R-27), vial of 7.0 mL pre-dilute ready-to-use (113R-28), vial of 7.0 mL pre-dilute ready-to-use Research Use Only (113R-28-RUO)

manufacturer/tradename

Cell Marque®

concentration

0.1-5 μg/mL (predilute), 2.5-125 μg/mL (concentrate)

technique(s)

immunohistochemistry (formalin-fixed, paraffin-embedded sections): 1:25-1:100 (concentrated)

isotype

IgG

control

liver

shipped in

wet ice

storage temp.

2-8°C

visualization

cytoplasmic, membranous

Gene Information

human ... ANPEP(290)

General description

CD13 (aminopeptidase-N) is a transmembrane protease present in many tissues and cell types (e.g., endothelial and epithelial cells, fibroblasts, and leukocytes). CD13 is expressed in various solid and hematological malignancies in humans and is useful in identifying acute myeloid leukemia when used in a panel including antibodies against CD13(+), CD34(+), CD117(+), CD16(-), and CD33(+). This protein is also expressed in myeloid sarcoma and anti-CD13 is useful in its identification using a panel.

In addition, it has been reported that CD13 is expressed in both normal and neoplastic liver tissue, where it exhibits a canalicular distribution pattern similar to that seen for polyclonal CEA and CD10. Thus, anti-CD13 can be useful as an additional marker in differentiating between HCC and non-hepatocellular neoplasms.

Physical form

Solution in Tris Buffer, pH 7.3-7.7, with 1% BSA and <0.1% Sodium Azide

Preparation Note

Download the IFU specific to your product lot and format
Note: This requires a keycode which can be found on your packaging or product label.

Download the latest released IFU
Note: This IFU may not apply to your specific product lot.

Analysis Note

United States - IVD
Canada - IVD
European Union - IVD
Japan - RUO

Other Notes

CD13 Positive Control Slides, Product No. 113S, are available for immunohistochemistry (formalin-fixed, paraffin-embedded sections).
For Technical Service please contact: 800-665-7284 or email: service@cellmarque.com

Legal Information

Cell Marque is a registered trademark of Merck KGaA, Darmstadt, Germany


Still not finding the right product?

试用我们的 产品选型工具 工具缩小选择范围


存储类别

12 - Non Combustible Liquids

wgk

WGK 2

法规信息

监管及禁止进口产品

此项目有



历史批次信息供参考:

分析证书(COA)

Lot/Batch Number

没有发现合适的版本?

如果您需要特殊版本,可通过批号或批次号查找具体证书。

已有该产品?

在文件库中查找您最近购买产品的文档。

访问文档库



Aminopeptidase-N/CD13 is a potential proapoptotic target in human myeloid tumor cells.
Piedfer M, et al.
Faseb Journal, 25, 2831-2842 (2011)
Canalicular immunostaining of aminopeptidase N (CD13) as a diagnostic marker for hepatocellular carcinoma.
Rocken C, et al.
Journal of Clinical Pathology, 58, 1069-1075 (2005)
Acute promyelocytic leukemia: four distinct patterns by flow cytometry immunophenotyping.
Gorczyca, W.
Polish Journal of Pathology : Official Journal of the Polish Society of Pathologists, 1, 8-17 (2012)