biological source
mouse
conjugate
unconjugated
antibody form
diluted ascites fluid
antibody product type
primary antibodies
clone
MRQ-10, monoclonal
description
For In Vitro Diagnostic Use in Select Regions (See Chart)
form
buffered aqueous solution
species reactivity
human
packaging
vial of 0.1 mL concentrate (309M-14), vial of 0.5 mL concentrate (309M-15), bottle of 1.0 mL predilute (309M-17), vial of 1.0 mL concentrate (309M-16), bottle of 7.0 mL predilute (309M-18)
manufacturer/tradename
Cell Marque®
technique(s)
immunohistochemistry (formalin-fixed, paraffin-embedded sections): 1:50-1:200
isotype
IgG
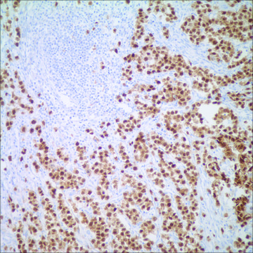
control
seminoma
shipped in
wet ice
storage temp.
2-8°C
visualization
nuclear
Gene Information
human ... POU5F1(5460)
General description
Oct-4 is a transcription factor that functions in the regulation and maintenance of pluripotency in embryonic stem and primordial germ cells. Oct-4 immunoreactivity has been demonstrated in gonadal and extra-gonadal seminomas, dysgerminomas, and embryonal carcinomas. In addition, the immunohistochemical detection of Oct-4 assists in the evaluation of intratubular germ cell neoplasia (IGCN).
Oct-4 is a transcription factor that maintains and regulates pluripotency in embryonic stem and germ cells. Anti-Oct-4 has shown a very high sensitivity and specificity in seminoma/dysgerminoma, embryonal carcinoma, and the germ cell component of gonadoblastoma by nuclear immunostaining. Clear cell carcinoma may enter the differential diagnosis of dysgerminoma as both may grow in nests or tubules, contain clear cells, and have a prominent inflammatory infiltrate (lymphocytes in dysgerminoma and plasma cells in clear cell carcinoma). In one study that looked at anti-Oct-4 staining in clear cell carcinomas, 4 of 14 tumors were found to be focally positive. In another study, 49 endometrioid carcinomas were Oct-4 negative. Rarely dysgerminoma may have a morphologic appearance that overlaps with sex cord-stromal tumors, especially poorly differentiated Sertoli cell tumors. In two studies however, all sex cord-stromal tumors of the testis and granulosa cell tumors of the ovary were Oct-4 negative.
Physical form
Solution in Tris Buffer, pH 7.3-7.7, with 1% BSA and <0.1% Sodium Azide
Preparation Note
Download the IFU specific to your product lot and formatNote: This requires a keycode which can be found on your packaging or product label.
Analysis Note
![]() IVD | ![]() IVD | ![]() IVD | ![]() RUO |
Other Notes
For Technical Service please contact: 800-665-7284 or email: service@cellmarque.com
Oct-4 Positive Control Slides, Product No. 309S, are available for immunohistochemistry (formalin-fixed, paraffin-embedded sections).
Legal Information
Cell Marque is a registered trademark of Merck KGaA, Darmstadt, Germany
Still not finding the right product?
试用我们的 产品选型工具 工具缩小选择范围
存储类别
12 - Non Combustible Liquids
wgk
WGK 2
flash_point_f
Not applicable
flash_point_c
Not applicable
法规信息
监管及禁止进口产品
此项目有
Patricia M Baker et al.
International journal of gynecological pathology : official journal of the International Society of Gynecological Pathologists, 24(1), 39-55 (2005-01-01)
Immunohistochemistry has become an important tool in the diagnosis of ovarian tumors. This article reviews the role of immunohistochemistry in the differential diagnosis of the three main categories of ovarian tumors, with emphasis on recently developed antibodies. In the surface
K Biermann et al.
Histopathology, 49(3), 290-297 (2006-08-22)
To compare the suitability of new seminoma markers including transcription factors AP-2gamma, OCT3/4 and M2A for detection of metastatic and extragonadal seminomas with the two well-known markers c-KIT and PLAP. The immunohistochemical distribution of PLAP, c-KIT, M2A, AP-2gamma and OCT3/4
Martine Cools et al.
The Journal of clinical endocrinology and metabolism, 91(6), 2404-2413 (2006-04-13)
The purpose of the study was to define the histological origin of gonadoblastomas, allowing the identification of high-risk patients. Sixty paraffin-embedded gonadectomy or gonadal biopsy samples of 43 patients with gonadal dysgenesis were selected from our archives. We studied the
全球贸易项目编号
| 货号 | GTIN |
|---|---|
| 309M-18 | 0841683134794 |
| 309M-14 | 0841683121039 |
| 309M-15 | 0841683121046 |
| 309M-16 | 0841683121053 |
| 309M-16-RUO | 04061836531454 |
| 309M-17 | 0841683134787 |



