grade
Molecular Biology
form
dry
usage
25 reactions
greener alternative product characteristics
Design for Energy Efficiency
Learn more about the Principles of Green Chemistry.
greener alternative category
storage temp.
room temp
General description
SampleMatrix® by Biomatrica® is a proprietary core technology to stabilize and protect biological materials at room temperature without degradation. The SampleMatrix technology was designed by combining extremophile biology that enables long-term survival of organisms in extremely dry environments, with synthetic chemistry.
DNAstable® preserves DNA samples at room temperature. Each tube or plate contains DNAstable® as a coating at the bottom of the tube or well, which protects picogram to microgram amounts of RNA. This medium is completely dissolvable and ensures total sample recovery.
We are committed to bringing you Greener Alternative Products, which adhere to one or more of The 12 Principles of Greener Chemistry. This product was Designed for Energy Efficiency. To see how Stanford incorporated Biomatrica Technology and saved substantial amounts of energy, see their published study:
Biomatrica technology enables safe storage of biological material at room temperature.
DNAstable® preserves DNA samples at room temperature. Each tube or plate contains DNAstable® as a coating at the bottom of the tube or well, which protects picogram to microgram amounts of RNA. This medium is completely dissolvable and ensures total sample recovery.
We are committed to bringing you Greener Alternative Products, which adhere to one or more of The 12 Principles of Greener Chemistry. This product was Designed for Energy Efficiency. To see how Stanford incorporated Biomatrica Technology and saved substantial amounts of energy, see their published study:
Biomatrica technology enables safe storage of biological material at room temperature.
Features and Benefits
- Stabilize store and ship purified DNA at room temperature
- Long-term stabilization, storage and shipment of DNA at room temperature
- High yield DNA recovery and use without further purification
- Compatible with most downstream applications, e.g., PCR, sequencing, and microarrays
- Available in a variety of compact formats, e.g., tubes, multi-well plates & custom.
- Cost-effective, eco-friendly solution to freezer crawl and lab space management
Packaging
- 25 Tubes DNAstable®
- 1.5 mL flip-cap microfuge tube made of durable polypropylene
- Barcode labeled for sample tracking
- Quick Reference Protocol
- Enclosed in resealable moisture-barrier foil pouch
- 1 extra moisture-barrier pouch included
Legal Information
Biomatrica is a registered trademark of Biomatrica
DNAstable is a registered trademark of Biomatrica
SampleMatrix is a registered trademark of Biomatrica
存储类别
12 - Non Combustible Liquids
wgk
WGK 3
flash_point_f
Not applicable
flash_point_c
Not applicable
法规信息
新产品
此项目有
实验方案
Northern和Southern印迹简介:两种将大分子转移到膜支持物的常用方法。该文章还提供了Northern印迹和Southern印迹的实验方案。
The product bulletin providin detailed use protocol for easy DNA transfection.
Product manual provides detailed protocol for easy DNA transfection.
商品
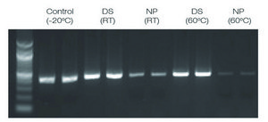
Forensic laboratories routinely use STR genotyping for identity testing of biological samples. However, forensic samples often contain low copy numbers of target DNA, making it difficult to obtain complete STR profiles.
Eunice Wan et al.
Current issues in molecular biology, 12(3), 135-142 (2009-10-06)
Maintaining the long-term integrity of nucleic acids in the laboratory has traditionally required the use of freezers. However, novel nucleic acid stabilization technologies may allow for the storage of DNA and RNA at room temperature in a cost-effective, environmentally friendly
Natalia V Ivanova et al.
Molecular ecology resources, 13(5), 890-898 (2013-06-25)
The globalization of DNA barcoding will require core analytical facilities to develop cost-effective, efficient protocols for the shipment and archival storage of DNA extracts and PCR products. We evaluated three dry-state DNA stabilization systems: commercial Biomatrica(®) DNAstable(®) plates, home-made trehalose
Susanne E Howlett et al.
Forensic science international. Genetics, 8(1), 170-178 (2013-12-10)
Preserving DNA is important for validation of prospective and retrospective analyses, requiring many expensive types of equipment (e.g., freezers and back-up generators) and energy. While freezing is the most common method for storing extracted DNA evidence or well-characterized DNA samples
全球贸易项目编号
| 货号 | GTIN |
|---|---|
| 93021-001-1KT | 04061833271599 |