Quality Level
form
liquid
usage
sufficient for 250 reactions, sufficient for 2500 reactions, sufficient for 50 reactions
feature
dNTPs included: no, hotstart, Standard PCR
concentration
1 unit/μL
technique(s)
PCR: suitable
color
red
input
purified DNA
suitability
suitable for PCR
shipped in
wet ice
storage temp.
−20°C
General description
Since the red tracer has no effect on the amplification process, a sample can be easily re-amplified such as in “nested PCR”. The presence of the dye also has no effect on automated DNA sequencing; ligase mediated ligations, exonucleolytic PCR product digestion, and transformation. Though exceptions may exist, the dye is generally inert in restriction enzyme digestions. If necessary, the dye can be removed from the amplicon by routine purification methodologies.
Application
- insulin-enterotoxin ricin fusion gene (INS-RTB)
- endothelial cells DNA derived from reverse transcribed RNA
- leg genomic DNA from cricket flies
- mitochondrial gene by conventional PCR
Features and Benefits
- Reduces non-specific amplification
- Increased target yield and specificity
- Higher the amplification irrespective of the target concentration
- Reduce set-up time and eliminate concerns associated with manual or wax hot start methods
- Visual confirmation that the enzyme has been added and that proper component mixing of the reaction has occurred
- Samples can be loaded directly onto an agarose gel for electrophoresis without loading buffers or tracking dyes
- Assembled PCR reactions can be placed at room temperature for up to 2 hours
Packaging
Other Notes
Legal Information
signalword
Warning
hcodes
Hazard Classifications
Eye Irrit. 2 - Skin Irrit. 2 - STOT SE 3
target_organs
Respiratory system
存储类别
10 - Combustible liquids
wgk
WGK 3
flash_point_f
Not applicable
flash_point_c
Not applicable
ppe
Eyeshields, Gloves, type ABEK (EN14387) respirator filter
法规信息
此项目有
实验方案
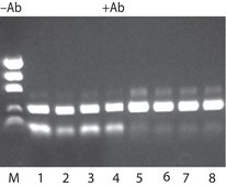
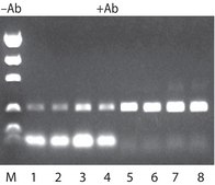
使用抗体介导热启动聚合酶的实验方案。一种具有短活化阶段的方法(<1min), and results in higher yields and more specificity over standard PCR methods.
介绍RedTaq的应用和优势,包括用于基因组DNA PCR的标准RedTaq、热启动RedTaq和RedTaq。
JumpStart™ Taq DNA Polymerase is an antibody-inactivated, hot start enzyme.
商品
热启动PCR的目的在于抑制PCR反应,从而减少非特异性扩增、防止引物二聚体形成并提高产物产量。
了解聚合酶链反应(PCR)的历史,从促进它的发现的基本原理到获得诺贝尔化学奖,以及实时PCR(qPCR)和数字PCR等最近的发展。
The purpose of Hot Start PCR is to inhibit the PCR reaction in order to reduce nonspecific amplification, prevent the formation of primer dimers, and increase product yields.
全球贸易项目编号
| 货号 | GTIN |
|---|---|
| D8187-250UN | 04061835572793 |
| D8187-2.5KU | 04061835572786 |
| D8187-50UN | 04061833589267 |
