biological source
goat
Quality Level
conjugate
peroxidase conjugate
antibody form
affinity isolated antibody
antibody product type
secondary antibodies
clone
polyclonal
species reactivity
human
technique(s)
direct ELISA: 1:40,000, dot blot: 1:100,000, immunohistochemistry (formalin-fixed, paraffin-embedded sections): 1:200, western blot (chemiluminescent): 1:100,000
shipped in
dry ice
storage temp.
−20°C
target post-translational modification
unmodified
General description
通过免疫特异性纯化从抗人IgG抗血清中分离抗体,该过程可基本上去除所有山羊血清蛋白,包括免疫球蛋白(其不可与人IgG的Fab片段特异性结合)。将抗人IgG与过氧化物酶缀合,然后进一步纯化以除去未缀合的物质。
Immunogen
Application
- 蛋白质印迹
- 直接酶联免疫吸附测定(ELISA)(1:40,000稀释),以分析产生重组Fab片段的转基因酵母培养物。
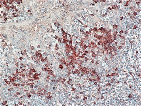
- 免疫组化
- 斑点杂交
- 免疫组化(福尔马林固定石蜡包埋切片,1:200)
在PBS中以1:10,000稀释抗人IgG抗体,并在室温下温育1小时。使用O-亚苯基-二胺底物溶液(Sigma)检测ELISA反应体系中的结合情况。
Physical form
Preparation Note
Disclaimer
Still not finding the right product?
试用我们的 产品选型工具 工具缩小选择范围
signalword
Warning
hcodes
Hazard Classifications
Skin Sens. 1
存储类别
12 - Non Combustible Liquids
wgk
WGK 2
flash_point_f
Not applicable
flash_point_c
Not applicable
法规信息
此项目有
商品
Review the key factors that should figure in your decision to choose a secondary antibody. Learn about species, subclass, isotype, label, and more.
相关内容
抗体的质量决定了整个免疫检测的成败, 是在选择抗体时首选的考虑因素。基于Sigma®、Chemicon®、Upstate®、Mil l ipore®、 Calbiochem®和Novagen®等子品牌的强强联合,默克在创新的 免疫原设计、免疫、挑选、筛选和验证等方面有着数十年的经验, 创造出许多被广泛使用的抗体,如4G10,Neun,组蛋白修饰等抗 体都是相关领域的“金标”抗体。 我们的技术和科研背景使默克成为高质量抗体的主要设计者和生产 者,而不仅仅是经销商。毋庸置疑,我们的每个小瓶中的抗体都包 含着大量的科学研究成果。
全球贸易项目编号
| 货号 | GTIN |
|---|---|
| A0293-1ML | 04061833327388 |
