跳转至内容
Merck
CN

HPA004728

Anti-TGM3 antibody produced in rabbit

Prestige Antibodies® Powered by Atlas Antibodies, affinity isolated antibody, buffered aqueous glycerol solution

别名:

Anti-Protein-glutamine γ-glutamyltransferase E precursor antibody produced in rabbit, Anti-TG(E) antibody produced in rabbit, Anti-TGE antibody produced in rabbit, Anti-TGase E antibody produced in rabbit, Anti-Transglutaminase-3 antibody produced in rabbit

登录 查看组织和合同定价。

选择尺寸

变更视图

关于此项目

UNSPSC Code:
12352203
NACRES:
NA.43
Human Protein Atlas Number:
Conjugate:
unconjugated
Clone:
polyclonal
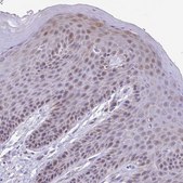
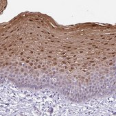
Application:
IHC
Citations:
3
技术服务
需要帮助?我们经验丰富的科学家团队随时乐意为您服务。
让我们为您提供帮助


biological source

rabbit

Quality Level

conjugate

unconjugated

antibody form

affinity isolated antibody

antibody product type

primary antibodies

clone

polyclonal

product line

Prestige Antibodies® Powered by Atlas Antibodies

form

buffered aqueous glycerol solution

species reactivity

human

enhanced validation

orthogonal RNAseq
Learn more about Antibody Enhanced Validation

technique(s)

immunoblotting: 0.04-0.4 μg/mL, immunohistochemistry: 1:200-1:500

immunogen sequence

GSDQERQVFQKALGKLKPNTPFAATSSMGLETEEQEPSIIGKLKVAGMLAVGKEVNLVLLLKNLSRDTKTVTVNMTAWTIIYNGTLVHEVWKDSATMSLDPEEEAEHPIKISYAQYEKYLKSDNMI

UniProt accession no.

shipped in

wet ice

storage temp.

−20°C

target post-translational modification

unmodified

Gene Information

human ... TGM3(7053)

Immunogen

Protein-glutamine γ-glutamyltransferase E precursor recombinant protein epitope signature tag (PrEST)

Application

Anti-TGM3 antibody produced in rabbit, a Prestige Antibody, is developed and validated by the Human Protein Atlas (HPA) project . Each antibody is tested by immunohistochemistry against hundreds of normal and disease tissues. These images can be viewed on the Human Protein Atlas (HPA) site by clicking on the Image Gallery link. The antibodies are also tested using immunofluorescence and western blotting. To view these protocols and other useful information about Prestige Antibodies and the HPA, visit sigma.com/prestige.

Biochem/physiol Actions

TGM3 (transglutaminase 3) is a zymogen widely distributed to various cells including epithelia. It catalyzes the cross linking of protein-bound glutamines and lysines in the presence of calcium. It tightly binds to the Ca(2+) ion that opens a channel. Through this channel, it exposes two tryptophan residues near active site that controls substrate access. Binding of calcium ions control the activity level. TGM3 has been reported as an effective prognostic biomarker for esophageal squamous cell carcinoma (ESCC).

Features and Benefits

Prestige Antibodies® are highly characterized and extensively validated antibodies with the added benefit of all available characterization data for each target being accessible via the Human Protein Atlas portal linked just below the product name at the top of this page. The uniqueness and low cross-reactivity of the Prestige Antibodies® to other proteins are due to a thorough selection of antigen regions, affinity purification, and stringent selection. Prestige antigen controls are available for every corresponding Prestige Antibody and can be found in the linkage section.

Every Prestige Antibody is tested in the following ways:
  • IHC tissue array of 44 normal human tissues and 20 of the most common cancer type tissues.
  • Protein array of 364 human recombinant protein fragments.

Physical form

Solution in phosphate-buffered saline, pH 7.2, containing 40% glycerol and 0.02% sodium azide

Other Notes

Corresponding Antigen APREST86826

Legal Information

Prestige Antibodies is a registered trademark of Merck KGaA, Darmstadt, Germany

Disclaimer

Unless otherwise stated in our catalog or other company documentation accompanying the product(s), our products are intended for research use only and are not to be used for any other purpose, which includes but is not limited to, unauthorized commercial uses, in vitro diagnostic uses, ex vivo or in vivo therapeutic uses or any type of consumption or application to humans or animals.


Still not finding the right product?

试用我们的 产品选型工具 工具缩小选择范围


存储类别

10 - Combustible liquids

wgk

WGK 1

flash_point_f

Not applicable

flash_point_c

Not applicable

ppe

Eyeshields, Gloves, multi-purpose combination respirator cartridge (US)

法规信息

常规特殊物品
低风险生物材料

此项目有



历史批次信息供参考:

分析证书(COA)

Lot/Batch Number

没有发现合适的版本?

如果您需要特殊版本,可通过批号或批次号查找具体证书。

已有该产品?

在文件库中查找您最近购买产品的文档。

访问文档库



Bijan Ahvazi et al.
The EMBO journal, 21(9), 2055-2067 (2002-05-01)
Transglutaminase (TGase) enzymes catalyze the formation of covalent cross-links between protein-bound glutamines and lysines in a calcium-dependent manner, but the role of Ca(2+) ions remains unclear. The TGase 3 isoform is widely expressed and is important for epithelial barrier formation.
Norihisa Uemura et al.
International journal of cancer, 124(9), 2106-2115 (2009-01-15)
To develop a prognostic biomarker for esophageal squamous cell carcinoma (ESCC), we examined the proteomic profile of ESCC using two-dimensional difference gel electrophoresis (2D-DIGE), and identified proteins associated with prognosis by mass spectrometry. The prognostic performance of the identified proteins
Bijan Ahvazi et al.
The Journal of biological chemistry, 278(26), 23834-23841 (2003-04-08)
The transglutaminase 3 enzyme is widely expressed in many tissues including epithelia. We have shown previously that it can bind three Ca2+ ions, which in site one is constitutively bound, while those in sites two and three are acquired during



全球贸易项目编号

货号GTIN
HPA004728-100UL04061837135330