跳转至内容
Merck
CN

HPA015104

Anti-MTDH antibody produced in rabbit

Prestige Antibodies® Powered by Atlas Antibodies, affinity isolated antibody, buffered aqueous glycerol solution

别名:

Anti-3D3/lyric antibody produced in rabbit, Anti-AEG-1 antibody produced in rabbit, Anti-Astrocyte elevated gene-1 protein antibody produced in rabbit, Anti-Lysine-rich CEACAM1 co-isolated protein antibody produced in rabbit, Anti-Metadherin antibody produced in rabbit, Anti-Metastasis adhesion protein antibody produced in rabbit, Anti-Protein LYRIC antibody produced in rabbit

登录 查看组织和合同定价。

选择尺寸

变更视图

关于此项目

UNSPSC Code:
12352203
NACRES:
NA.41
Human Protein Atlas Number:
Conjugate:
unconjugated
Clone:
polyclonal
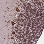
Application:
IF, IHC
Citations:
7
技术服务
需要帮助?我们经验丰富的科学家团队随时乐意为您服务。
让我们为您提供帮助


biological source

rabbit

Quality Level

conjugate

unconjugated

antibody form

affinity isolated antibody

antibody product type

primary antibodies

clone

polyclonal

product line

Prestige Antibodies® Powered by Atlas Antibodies

form

buffered aqueous glycerol solution

species reactivity

human

enhanced validation

independent
Learn more about Antibody Enhanced Validation

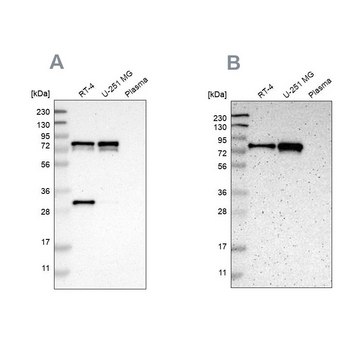
technique(s)

immunoblotting: 0.04-0.4 μg/mL, immunofluorescence: 0.25-2 μg/mL, immunohistochemistry: 1:200-1:500

immunogen sequence

NSSRHDGKEVDEGAWETKISHREKRQQRKRDKVLTDSGSLDSTIPGIENTITVTTEQLTTASFPVGSKKNKGDSHLNVQVSNFKSGKGDSTLQVSSGLNENLTVNGGGWNEKSVKLSSQISAGEEKWNSVSPA

UniProt accession no.

shipped in

wet ice

storage temp.

−20°C

target post-translational modification

unmodified

Gene Information

human ... MTDH(92140)

General description

MTDH (metadherin) is a transmembrane protein, which spans the membrane once, and has a molecular weight of 64kDa. It is also called astrocyte elevated gene-1 (AEG-1) and lysine-rich CEACAM1 coisolated (LYRIC). It was initially isolated from primary human fetal astrocytes, as a transcript induced by human immunodeficiency virus (HIV)-1. This gene is localized to human chromosome 8q22.1, and is expressed in human brain, with higher expression in neurons as compared to glial cells. This gene has 12 exons and 11 introns.

Immunogen

Protein LYRIC recombinant protein epitope signature tag (PrEST)

Application

Anti-MTDH antibody produced in rabbit, a Prestige Antibody, is developed and validated by the Human Protein Atlas (HPA) project . Each antibody is tested by immunohistochemistry against hundreds of normal and disease tissues. These images can be viewed on the Human Protein Atlas (HPA) site by clicking on the Image Gallery link. The antibodies are also tested using immunofluorescence and western blotting. To view these protocols and other useful information about Prestige Antibodies and the HPA, visit sigma.com/prestige.

Biochem/physiol Actions

MTDH (metadherin) is highly expressed in multiple cancers such as, esophageal squamous cell carcinoma, hepatocellular carcinoma (HCC), breast, gastric, renal, prostate, colorectal cancer, non-small cell lung cancer, and glioma. It promotes angiogenesis, autophagy, tumor invasion and metastasis. It is responsible for resistance to chemotherapy and tamoxifen, and its up-regulation in invasive breast cancer is related to poor prognosis. In HER2+ breast cancer, it is responsible for resistance to trastuzumab. It chromosomal location is a susceptibility locus to migraine, and thus, this gene might be associated to migraine. It is up-regulated in astrocytomas, and higher the expression level, higher the grade of astrocytoma. Thus, this protein has potential as diagnostic and prognostic marker for astrocytomas. It is essential for the tumorigenesis of hepatocellular carcinoma (HCC), via the activation of NF-κB.

Features and Benefits

Prestige Antibodies® are highly characterized and extensively validated antibodies with the added benefit of all available characterization data for each target being accessible via the Human Protein Atlas portal linked just below the product name at the top of this page. The uniqueness and low cross-reactivity of the Prestige Antibodies® to other proteins are due to a thorough selection of antigen regions, affinity purification, and stringent selection. Prestige antigen controls are available for every corresponding Prestige Antibody and can be found in the linkage section.

Every Prestige Antibody is tested in the following ways:
  • IHC tissue array of 44 normal human tissues and 20 of the most common cancer type tissues.
  • Protein array of 364 human recombinant protein fragments.

Physical form

Solution in phosphate-buffered saline, pH 7.2, containing 40% glycerol and 0.02% sodium azide

Other Notes

Corresponding Antigen APREST72055

Legal Information

Prestige Antibodies is a registered trademark of Merck KGaA, Darmstadt, Germany

Disclaimer

Unless otherwise stated in our catalog or other company documentation accompanying the product(s), our products are intended for research use only and are not to be used for any other purpose, which includes but is not limited to, unauthorized commercial uses, in vitro diagnostic uses, ex vivo or in vivo therapeutic uses or any type of consumption or application to humans or animals.


Still not finding the right product?

或者

试用我们的 产品选型工具 工具缩小选择范围


存储类别

10 - Combustible liquids

wgk

WGK 1

flash_point_f

Not applicable

flash_point_c

Not applicable

ppe

Eyeshields, Gloves, multi-purpose combination respirator cartridge (US)

法规信息

常规特殊物品
低风险生物材料

此项目有



历史批次信息供参考:

分析证书(COA)

Lot/Batch Number

没有发现合适的版本?

如果您需要特殊版本,可通过批号或批次号查找具体证书。

已有该产品?

在文件库中查找您最近购买产品的文档。

访问文档库


相关内容

Prestige Antibodies Immunofluorescence Procedure


Chadia L Robertson et al.
Cancer research, 74(21), 6184-6193 (2014-09-07)
Activation of the oncogene AEG-1 (MTDH, LYRIC) has been implicated recently in the development of hepatocellular carcinoma (HCC). In mice, HCC can be initiated by exposure to the carcinogen DEN, which has been shown to rely upon activation of NF-κB
Ioanna Giopanou et al.
BioMed research international, 2014, 178410-178410 (2014-06-26)
NF-κB signaling promotes cancer progression in a large number of malignancies. Metadherin, a coactivator of the NF-κB transcription complex, was recently identified to regulate different signaling pathways that are closely related to cancer. We assessed the immunohistochemical expression of p50
Yuka Isozaki et al.
International journal of oncology, 41(3), 985-994 (2012-07-04)
The aim of this study was to determine whether histone acetylation regulates tumor suppressive microRNAs (miRNAs) in esophageal squamous cell carcinoma (ESCC) and to identify genes which are regulated by these miRNAs. We identified a miRNA that was highly upregulated



全球贸易项目编号

货号GTIN
HPA015104-100UL04061837137136
HPA015104-25UL04061842804542