跳转至内容
Merck
CN

HPA023644

Anti-STAR antibody produced in rabbit

Prestige Antibodies® Powered by Atlas Antibodies, affinity isolated antibody, buffered aqueous glycerol solution, ab1

别名:

Anti-NET29, Anti-STARD1, Anti-TMPIT, Anti-steroidogenic acute regulatory protein

登录 查看组织和合同定价。

选择尺寸

变更视图

关于此项目

UNSPSC Code:
12352203
NACRES:
NA.41
Human Protein Atlas Number:
Conjugate:
unconjugated
Clone:
polyclonal
Application:
IHC
Citations:
7
技术服务
需要帮助?我们经验丰富的科学家团队随时乐意为您服务。
让我们为您提供帮助


biological source

rabbit

Quality Level

conjugate

unconjugated

antibody form

affinity isolated antibody

antibody product type

primary antibodies

clone

polyclonal

product line

Prestige Antibodies® Powered by Atlas Antibodies

form

buffered aqueous glycerol solution

species reactivity

human

enhanced validation

independent
orthogonal RNAseq
Learn more about Antibody Enhanced Validation

technique(s)

immunohistochemistry: 1:200-1:500

immunogen sequence

QDNGDKVMSKVVPDVGKVFRLEVVVDQPMERLYEELVERMEAMGEWNPNVKEIKVLQKIGKDTFITHELA

UniProt accession no.

shipped in

wet ice

storage temp.

−20°C

target post-translational modification

unmodified

Gene Information

human ... STAR(6770)

General description

Steroidogenic acute regulatory protein is located on human chromosome 8p11.2.

Immunogen

steroidogenic acute regulatory protein recombinant protein epitope signature tag (PrEST)

Application

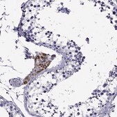
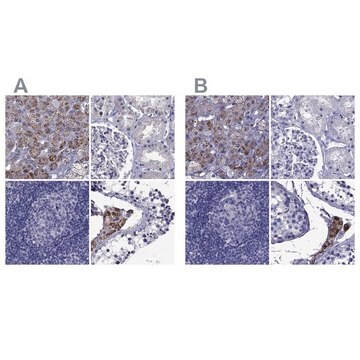
Anti-STAR antibody produced in rabbit has been used to detect StAR in Paraffin-embedded adrenal samples using immunohistochemistry.

Biochem/physiol Actions

Steroidogenic acute regulatory protein (StAR) is essential for the transfer of cholesterol to mitochondria for adrenal and gonadal steroidogenesis. StAR gene analysis can help in the diagnosis of lipoid congenital adrenal hyperplasia (LCAH). It is also identified that activins A,B,AB downregulates StAR and thereby reduces the production of progesterone in human granulosa cells. Hypoxia mediated upregulation of StAR stimulates the synthesis of aldosterone in pulmonary artery endothelial cells which contributes to pulmonary vascular fibrosis. Activation of StAR helps in prevention of atherosclerotic cardiovascular disease.

Features and Benefits

Prestige Antibodies® are highly characterized and extensively validated antibodies with the added benefit of all available characterization data for each target being accessible via the Human Protein Atlas portal linked just below the product name at the top of this page. The uniqueness and low cross-reactivity of the Prestige Antibodies® to other proteins are due to a thorough selection of antigen regions, affinity purification, and stringent selection. Prestige antigen controls are available for every corresponding Prestige Antibody and can be found in the linkage section.

Every Prestige Antibody is tested in the following ways:
  • IHC tissue array of 44 normal human tissues and 20 of the most common cancer type tissues.
  • Protein array of 364 human recombinant protein fragments.

Physical form

Solution in phosphate-buffered saline, pH 7.2, containing 40% glycerol and 0.02% sodium azide.

Other Notes

Corresponding Antigen APREST76259

Legal Information

Prestige Antibodies is a registered trademark of Merck KGaA, Darmstadt, Germany

Disclaimer

Unless otherwise stated in our catalog or other company documentation accompanying the product(s), our products are intended for research use only and are not to be used for any other purpose, which includes but is not limited to, unauthorized commercial uses, in vitro diagnostic uses, ex vivo or in vivo therapeutic uses or any type of consumption or application to humans or animals.


Still not finding the right product?

Explore all of our products under

或者

试用我们的 产品选型工具 工具缩小选择范围


存储类别

10 - Combustible liquids

wgk

WGK 1

flash_point_f

Not applicable

flash_point_c

Not applicable

法规信息

新产品

此项目有



历史批次信息供参考:

分析证书(COA)

Lot/Batch Number

没有发现合适的版本?

如果您需要特殊版本,可通过批号或批次号查找具体证书。

已有该产品?

在文件库中查找您最近购买产品的文档。

访问文档库



Effect of the NBD-group position on interaction of fluorescently-labeled cholesterol analogues with human steroidogenic acute regulatory protein STARD1
Tugaeva,, et al.
Biochemical and Biophysical Research Communications, 497(1), 58-64 (2018)
Sofia S Pereira et al.
Endocrine connections, 2(3), 137-145 (2013-08-09)
Malignant adrenocortical tumors (ACTs) are rare and highly aggressive; conversely, benign tumors are common and frequently found incidentally (the so-called incidentalomas). Currently, the use of molecular markers in the diagnosis of ACTs is still controversial. The aim of this study
Upregulation of steroidogenic acute regulatory protein by hypoxia stimulates aldosterone synthesis in pulmonary artery endothelial cells to promote pulmonary vascular fibrosis
Maron, Br, et al.
Circulation, CIRCULATIONAHA-CIRCULATION113 (2014)



全球贸易项目编号

货号GTIN
HPA023644-25UL04061841472940
HPA023644-100UL04061836287177