跳转至内容
Merck
CN

O4886

单克隆抗-视蛋白 小鼠抗

clone RET-P1, ascites fluid

别名:

小鼠抗视蛋白, 抗视蛋白抗体, 视蛋白检测抗体

登录 查看组织和合同定价。

选择尺寸

变更视图

关于此项目

UNSPSC Code:
12352203
NACRES:
NA.41
MDL number:
Conjugate:
unconjugated
Clone:
RET-P1, monoclonal
Application:
ELISA (i), EM, ICC, IHC (f), RIA, WB
Citations:
52
技术服务
需要帮助?我们经验丰富的科学家团队随时乐意为您服务。
让我们为您提供帮助


biological source

mouse

Quality Level

conjugate

unconjugated

antibody form

ascites fluid

antibody product type

primary antibodies

clone

RET-P1, monoclonal

mol wt

antigen 39 kDa by immunoblotting (IB of rat retina produces closely spaced doublet)

contains

15 mM sodium azide

species reactivity

goldfish, mouse, tiger salamander, rat, amphibian, quail, dove, duck, rabbit, bovine, human, turtle

technique(s)

electron microscopy: suitable, immunocytochemistry: suitable using cultured cells, immunohistochemistry (frozen sections): 1:10,000 using frozen sections of rat eye, indirect ELISA: suitable, radioimmunoassay: suitable, western blot: suitable

isotype

IgG1

UniProt accession no.

shipped in

dry ice

storage temp.

−20°C

target post-translational modification

unmodified

Gene Information

human ... RHO(6010)
mouse ... Rho(212541)
rat ... Rho(24717)

General description

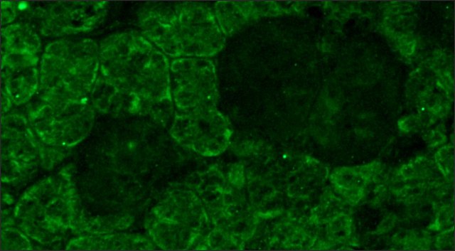
小鼠单克隆克隆RET-P1抗视蛋白抗体可识别位于视紫红质分子N端的氨基酸残基4-10中的表位。 在大鼠视网膜的免疫印迹中,该抗体标记了39 kDa的紧密间隔的双峰和78和115 kDa的强度较低的条带,代表视紫红质单体和聚集体。 除了几个较低的分子量条带外,更高的分子量条带在垂体(251和288 kDa)和下丘脑(269和331 kDa)中也被染色。 该产品专门标记大鼠感光细胞表面的细胞体,外段和内段(棒状而非锥状)。 它与牛、鸭、两栖动物、金鱼、兔子、大鼠、乌龟、虎蝾螈、小鼠、鸽子、鹌鹑和人视紫红质/视蛋白反应。
感光器负责视觉处理的初始步骤,将光子吸收信号转换为突触传递。 脊椎动物视杆中负责吸收光量子的视觉色素是视紫红质(也称为视蛋白)。 视紫红质包含>95%的杆外段(ROS)固有膜蛋白,并且是一种糖蛋白,在N端的氨基酸残基2和15处具有两个天冬酰胺连接的寡糖基团。 视紫红质吸收光,随后的构象变化导致通过特定的G蛋白中间体转导蛋白激活环状GMP磷酸二酯酶。
视蛋白属于视紫红质受体。该基因位于人染色体3q22.1上。视蛋白基因主要表达于视杆细胞。

Immunogen

大鼠视网膜膜。

Application

小鼠单克隆克隆RET-P1抗视蛋白抗体用于标记视蛋白/视紫红质,以通过免疫细胞化学和免疫组织化学(IHC)技术进行检测和定量,例如免疫印迹,培养细胞的免疫细胞化学,免疫组织化学(多聚甲醛/戊二醛固定,多聚甲醛灌注固定,冰冻切片),免疫电子显微镜,ELISA,竞争性ELISA和固相RIA。 它被用作探针,用来确定视蛋白/视紫红质在视紫红质位置、功能特性和控制杆感光细胞分化的分子机制研究中的存在和作用。
小鼠的单克隆抗视蛋白抗体可用于免疫荧光和组织学。

Biochem/physiol Actions

视紫红质基因的突变与色素性视网膜炎(RP)和先天性夜盲症有关。

Disclaimer

除非我们的产品目录或产品附带的其他公司文档另有说明,否则我们的产品仅供研究使用,不得用于任何其他目的,包括但不限于未经授权的商业用途、体外诊断用途、离体或体内治疗用途或任何类型的消费或应用于人类或动物。


Still not finding the right product?

试用我们的 产品选型工具 工具缩小选择范围


存储类别

10 - Combustible liquids

wgk

WGK 1

flash_point_f

Not applicable

flash_point_c

Not applicable

ppe

Eyeshields, Gloves, multi-purpose combination respirator cartridge (US)

法规信息

动物来源生物产品
常规特殊物品

此项目有



历史批次信息供参考:

分析证书(COA)

Lot/Batch Number

没有发现合适的版本?

如果您需要特殊版本,可通过批号或批次号查找具体证书。

已有该产品?

在文件库中查找您最近购买产品的文档。

访问文档库


相关内容






全球贸易项目编号

货号GTIN
O4886-100UL04061833253670
O4886-.2ML04061837721175