biological source
rabbit
Quality Level
conjugate
unconjugated
antibody form
affinity isolated antibody
antibody product type
primary antibodies
clone
polyclonal
form
buffered aqueous solution
species reactivity
human
technique(s)
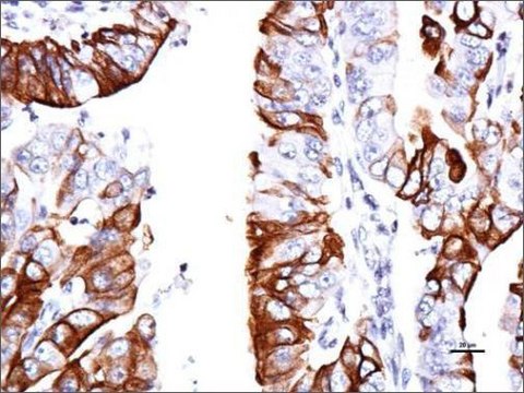
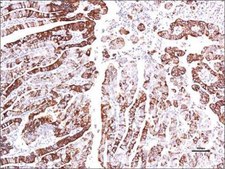
immunofluorescence: suitable, immunohistochemistry: suitable, western blot: 1:500-1:3,000
NCBI accession no.
shipped in
wet ice
storage temp.
−20°C
Gene Information
human ... GPER(2852)
Immunogen
Synthetic peptide corresponding to a region within amino acids 307 and 375 of GPR30 according to NP_001035055
Application
Suggested starting dilutions are as follows: IHC-P: 1:100-1:1000, WB: 1:1000-1:10000. Not yet tested in other applications. Optimal working dilutions should be determined experimentally by the end user.
Biochem/physiol Actions
This gene is a member of the G-protein coupled receptor 1 family and encodes a multi-pass membrane protein that localizes to the endoplasmic reticulum. The protein binds estrogen, resulting in intracellular calcium mobilization and synthesis of phosphatidylinositol 3,4,5-trisphosphate in the nucleus. This protein therefore plays a role in the rapid nongenomic signaling events widely observed following stimulation of cells and tissues with estrogen. Alternate transcriptional splice variants which encode the same protein have been characterized. [provided by RefSeq]
Features and Benefits
Evaluate our antibodies with complete peace of mind. If the antibody does not perform in your application, we will issue a full credit or replacement antibody. Learn more.
Physical form
0.1M Tris, 0.1M Glycine, 10% Glycerol (pH7). 0.01% Thimerosal was added as a preservative.
Disclaimer
Unless otherwise stated in our catalog or other company documentation accompanying the product(s), our products are intended for research use only and are not to be used for any other purpose, which includes but is not limited to, unauthorized commercial uses, in vitro diagnostic uses, ex vivo or in vivo therapeutic uses or any type of consumption or application to humans or animals.
Still not finding the right product?
试用我们的 产品选型工具 工具缩小选择范围
signalword
Warning
hcodes
Hazard Classifications
Aquatic Chronic 3 - Skin Sens. 1
存储类别
12 - Non Combustible Liquids
wgk
WGK 2
flash_point_f
Not applicable
flash_point_c
Not applicable
法规信息
新产品
此项目有
Sayaka Kubota et al.
Biological & pharmaceutical bulletin, 45(8), 1133-1141 (2022-08-01)
Early embryo and sperm transport through the oviductal isthmus depends on the contraction and relaxation of the smooth muscle layers. Dysfunction of the oviduct transport is considered to be one of the causes of infertility. For human infertility, Chinese medicine
全球贸易项目编号
| 货号 | GTIN |
|---|---|
| SAB2700363-100UL | 04061837268298 |
