跳转至内容
Merck
CN

SAB4300292

Anti-GSK3A (Ab-21) antibody produced in rabbit

affinity isolated antibody

别名:

Anti-DKFZp686D0638 antibody produced in rabbit, Anti-glycogen synthase kinase 3 alpha antibody produced in rabbit

登录 查看组织和合同定价。

选择尺寸

变更视图

关于此项目

NACRES:
NA.41
UNSPSC Code:
12352203
Conjugate:
unconjugated
Clone:
polyclonal
Application:
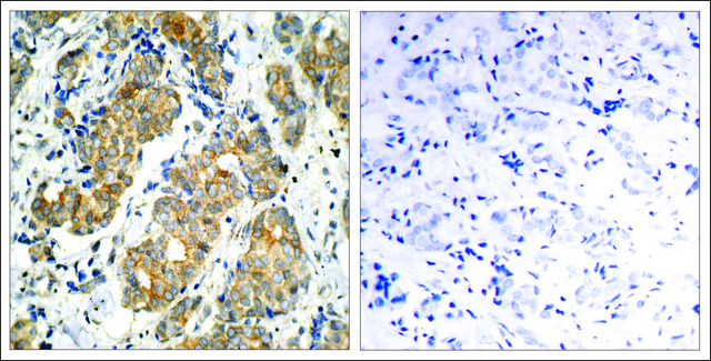
IF, IHC (p), WB
Citations:
1
技术服务
需要帮助?我们经验丰富的科学家团队随时乐意为您服务。
让我们为您提供帮助


biological source

rabbit

Quality Level

conjugate

unconjugated

antibody form

affinity isolated antibody

antibody product type

primary antibodies

clone

polyclonal

form

buffered aqueous solution

mol wt

~51 kDa

species reactivity

human, mouse, rat

concentration

1 mg/mL

technique(s)

immunohistochemistry (formalin-fixed, paraffin-embedded sections): 1:50-1:100, indirect immunofluorescence: 1:100-1:200, western blot: 1:500-1:1000

isotype

IgG

immunogen sequence

(T-S-S-F-A)

NCBI accession no.

UniProt accession no.

shipped in

wet ice

storage temp.

−20°C

target post-translational modification

unmodified

Gene Information

human ... GSK3A(2931)

General description

Implicated in the hormonal control of several regulatory proteins including glycogen synthase, MYB and the transcription factor JUN.

Immunogen

Peptide sequence around aa. 19-23 (T-S-S-F-A), according to the protein GSK3A.

Features and Benefits

Evaluate our antibodies with complete peace of mind. If the antibody does not perform in your application, we will issue a full credit or replacement antibody. Learn more.

Physical form

Solution in phosphate-buffered saline containing 0.02% sodium azide and 50% glycerol

Disclaimer

Unless otherwise stated in our catalog or other company documentation accompanying the product(s), our products are intended for research use only and are not to be used for any other purpose, which includes but is not limited to, unauthorized commercial uses, in vitro diagnostic uses, ex vivo or in vivo therapeutic uses or any type of consumption or application to humans or animals.


Still not finding the right product?

试用我们的 产品选型工具 工具缩小选择范围


存储类别

10 - Combustible liquids

wgk

WGK 1

flash_point_f

Not applicable

flash_point_c

Not applicable

法规信息

新产品

此项目有



历史批次信息供参考:

分析证书(COA)

Lot/Batch Number

没有发现合适的版本?

如果您需要特殊版本,可通过批号或批次号查找具体证书。

已有该产品?

在文件库中查找您最近购买产品的文档。

访问文档库



Rahul Bhattacharjee et al.
Biology of reproduction, 92(3), 65-65 (2015-01-09)
The signaling enzyme glycogen synthase kinase 3 (GSK3) exists as two isoforms-GSK3A and GSK3B. Protein phosphorylation by GSK3 has important signaling roles in several cells. In our past work, we found that both isoforms of GSK3 are present in mouse



全球贸易项目编号

货号GTIN
SAB4300292-100UG04061832703169