跳转至内容
Merck
CN

SAB5700627

兔抗-TNF-α抗体

别名:

DIF, TNF, TNF alpha, TNF-α, TNFA, TNFSF2, TNLG1F

登录 查看组织和合同定价。

选择尺寸

变更视图

关于此项目

NACRES:
NA.41
UNSPSC Code:
12352203
Conjugate:
unconjugated
Clone:
polyclonal
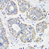
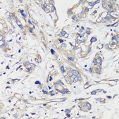
Application:
IF, IHC, WB
Citations:
-
技术服务
需要帮助?我们经验丰富的科学家团队随时乐意为您服务。
让我们为您提供帮助


biological source

rabbit

Quality Level

conjugate

unconjugated

antibody form

affinity isolated antibody

antibody product type

primary antibodies

clone

polyclonal

form

buffered aqueous solution

mol wt

25

species reactivity

human, rat, mouse

concentration

0.46 mg/ml

technique(s)

immunofluorescence: 1:50-1:200, immunohistochemistry: 1:50-1:200, western blot: 1:1000-1:2000

UniProt accession no.

shipped in

wet ice

storage temp.

−20°C

target post-translational modification

unmodified

Gene Information

human ... TNF(7124)

General description

该基因编码一种属于肿瘤坏死因子(TNF)超家族的多功能促炎细胞因子。该细胞因子主要由巨噬细胞分泌。它可以结合并通过其受体 TNFRSF1A/TNFR1 和 TNFRSF1B/TNFBR 发挥作用。该细胞因子参与调节广泛的生物过程,包括细胞增殖、分化、凋亡、脂质代谢和凝血。该细胞因子与多种疾病有关,包括自身免疫性疾病、胰岛素抵抗和癌症。在小鼠中进行的敲除研究也表明了该细胞因子的神经保护功能。

Immunogen

含有与人 TNF(NP_000585.2)氨基酸 1-233 对应的序列的重组融合蛋白。

Physical form

含 0.02% 叠氮化钠、50% 甘油,pH7.3 的 PBS。

Preparation Note

储存于-20℃。避免冻/融循环。


Still not finding the right product?

Explore all of our products under 兔抗-TNF-α抗体

或者

试用我们的 产品选型工具 工具缩小选择范围


存储类别

12 - Non Combustible Liquids

wgk

WGK 1

flash_point_f

Not applicable

flash_point_c

Not applicable

法规信息

低风险生物材料
常规特殊物品

此项目有



历史批次信息供参考:

分析证书(COA)

Lot/Batch Number

It looks like we've run into a problem, but you can still download Certificates of Analysis from our 文件 section.

如需帮助,请联系 客户支持

已有该产品?

在文件库中查找您最近购买产品的文档。

访问文档库



全球贸易项目编号

货号GTIN
SAB5700627-100UL04065265179607