微生物的颜色法鉴定
颜色是我们生活中用于区分的一种重要工具。
生化试验通常使用显色系统。
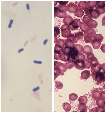
对于微生物学家而言,最基础的染色方法是由丹麦细菌学家Hans Christian Gram在1884年开发的。革兰氏染色可确定细菌的形态,并将其分为两大类。染成紫色的细菌被称为“革兰氏阳性”。染成粉色的则被称为“革兰氏阴性”。这种染色技术可提供有关细胞壁结构的信息,因为革兰氏阳性菌只含有一种肽聚糖网格,而革兰氏阴性菌则还具有额外的脂质双层。该信息对预测抗生素反应很重要,因为很多抗生素只对革兰氏阳性菌起效。革兰氏染色对于细菌鉴定仍然重要,是生化试验的选择基础。(表1和图1)。

图 1.革兰氏染色(左边是革兰氏阳性蜡样芽孢杆菌,右边是革兰氏阴性柠檬酸杆菌)。
水或食品质控中确定或测定细菌通常需要快速、简便、低成本的方法。可满足要求的方法一种是用显色和荧光底物与选择性培养基结合。另一种是使用生化检测试剂。所有生化试验都基于对不同微生物特征酶活性的选择性检测。检测目的是辨别病原体、挑出具体问题和指示特定水平存在的目标生物。多数情况下鉴定流程图(图2)可以帮助展示简单方法。这样的ID流程图里当然有其他不使用颜色法的试验,比如过氧化氢酶试验(生成气泡)、生长或抑制试验、显微镜试验等。
最出名和最常用的试验之一是利用有色络合物的吲哚试验(Kovac试剂)。通过色氨酸酶从色氨酸分子中分离吲哚(苯并吡咯)的能力被用来鉴定肠杆菌科。色氨酸酶将色氨酸分解为吲哚、丙酮酸和NH3。试剂中的p-氨基苯甲醛与吲哚结合形成溶于酒精、乙醚和氯仿的樱桃红络合物。

图 2.革兰氏染色(左边是革兰氏阳性蜡样芽孢杆菌,右边是革兰氏阴性柠檬酸杆菌)。

图 3.革兰氏染色(左边是革兰氏阳性蜡样芽孢杆菌,右边是革兰氏阴性柠檬酸杆菌)。
而试剂中的异戊醇或丁醇使其处于上层液相,阳性反应中会显樱桃红色。建议使用不含葡萄糖的生长培养基和高色氨酸含量的蛋白胨。Kovac试剂被加入到24-48小时的旧培养物中,比如在胰蛋白胨水中孵育的(70194)。如接种更多少量体积的细胞材料,孵育时间可以减少到4小时。轻微摇晃加速萃取,阳性反应会在不到一分钟内显樱桃红色。阴性反应没有颜色变化。
另一常用方法是用指示剂检测酶反应。最常用指示剂是pH指示剂,也有其他的比如氧化还原指示剂。最简单方法是检测某类糖发酵,比如右旋糖、乳糖或其他糖类。利用这种方法的有许多培养基,比如带溴甲酚紫指示剂的叠氮化物葡萄糖肉汤(图4)与酚红肉汤, 检测原理是发酵生成的酸会在pH指示剂下变色。

图 4.革兰氏染色(左边是革兰氏阳性蜡样芽孢杆菌,右边是革兰氏阴性柠檬酸杆菌)。
其他方法生成硫化氢比如柠檬酸铁铵(培养基)或乙酸铅(检测条)。一个有趣的方法是β-内酰胺酶检测试剂盒,用于微生物β-内酰胺酶活性的快速酸量滴定法检测。它的原理是苄青霉素中β-内酰胺环的水解,从而导致青霉噻唑酸的生成。该过程会使细菌悬浮液酸化,并改变酸度指示剂的颜色。含β-内酰胺酶的微生物溶液颜色会由红转黄。10-30分钟后可读取结果(图5)。
利用颜色反应区分鉴定的产品有很多,所有这类Sigma-Aldrich产品见下面的产品组:
鉴定试验和试剂
i. 生化试剂
ii.生化测试片和测试条
iii.试验试剂盒
培养基
I.生化鉴定培养基
ii.显色培养基
iii.荧光培养基

图 5.ß-内酰胺酶检测试剂盒(阳性反应体现为颜色变黄)
材料
如要继续阅读,请登录或创建帐户。
暂无帐户?