Prestige Antibodies®在乳腺癌研究中的应用

人类蛋白质图谱表征人类蛋白质组
在克努特和爱丽丝瓦伦贝里基金会(Knut and Alice Wallenberg Foundation)的资助下,由Mathias Uhlén教授领导的瑞典研究团队于2003年发起了人类蛋白质图谱(Human Protein Atlas,HPA)项目。1,2这个独一无二的世界领先级项目利用抗体对人类蛋白质组进行了全面系统的探索。
HPA项目旨在绘制完整人类蛋白质组的表达图谱。为实现该目标,研究人员针对所有蛋白质编码人类基因开发了高度特异性的多克隆抗体,并利用组织阵列技术为大量组织和细胞建立了蛋白质谱图。所采用的应用包括免疫组化(IHC)、Western blot(WB)分析、蛋白质芯片检测和免疫荧光共聚焦显微镜(ICC-IF)。
人类蛋白质图谱,2014年11月
2014年11月发布的人类蛋白质图谱第13版公布了完整人类蛋白质组的组织图谱。大量数据被分为四个独立分册:组织图谱(Tissue Atlas)、癌症图谱(Cancer Atlas)、亚细胞图谱(Subcell Atlas)和细胞系图谱(Cell Line Atlas)。组织图谱中所有蛋白质的表达谱是基于针对大量人类组织的IHC分析, 该图谱现已囊括与每种基因的RNA测序数据相关的蛋白质表达数据。癌症图谱研究了多种癌症中的差异表达基因,而亚细胞图谱提供了通过共聚焦显微镜获得的亚细胞定位。细胞系图谱包含了关于常见细胞系中蛋白质表达的其他信息,该图谱已成为一款备受欢迎的研究工具。
该项目对来自48种不同正常人类组织、20种不同类型癌症和44个不同人类细胞系的样品进行了组织芯片检测。48种正常组织的样品均重复检测三次,并代表82种不同的细胞类型。所有正常组织图像均对表达水平进行了病理学注释并在正常组织图谱中展示,其提供了关于人类基因在mRNA和蛋白质水平上的表达谱的信息。mRNA表达数据来自于27种主要正常组织类型的RNA深度测序(RNA-Seq)数据。
癌症图谱包含基于大量人类癌症标本中蛋白质表达模式的基因表达数据。利用来自216个不同癌症样本的20种最常见人类癌症类型,针对所有包含的基因进行分析。所有癌症组织图片均经过病理学家手动注释,与正常组织图谱一样,蛋白质数据包括对应于16.621个基因的蛋白质表达水平,因为它们均具有可用抗体。
在乳腺组织样本和细胞中进行验证
在正常组织图谱中,每种抗体具有来自三名不同个体的正常乳腺样本的IHC图片。此外,癌症图谱为每种抗体提供了来自多达12名患者的乳腺肿瘤样本(重复2次)的IHC图片,细胞系图谱也为大部分抗体提供了来自MCF-7和SK-BR-3乳腺细胞的图片。
参考文献
Prestige Antibodies® 由Atlas Antibodies提供技术支持
Prestige Antibodies – HPA的基础
Prestige Polyclonals的高度特异性以及与其他蛋白质的低交叉反应性主要基于抗原序列的全面筛选、重组抗原的亲和纯化、多种实验方法验证和严格的审批流程。
显色
Prestige Antibodies的抗原是长度约为50-150个氨基酸的重组人蛋白表位识别标签(PrESTs)。通过使用专门软件对PrESTs进行设计,使这些蛋白质片段含有与天然蛋白质相同的独特表位,并适合激发高特异性抗体的生成。通过人类全基因组扫描,确保作为抗原的PrESTs与其它人类蛋白质的同源性最低。
审批
Prestige Antibodies的审批需综合考量IHC、WB或ICC-IF的实验结果、RNA测序结果以及通过生物信息学预测和参考文献获得的信息。由于文献通常无法判定结论,因此,HPA项目的一个重要目标就是针对同一个蛋白质靶标生产一对无重叠表位的抗体,从而利用这两个抗体相互验证。
Prestige Antibodies产品目录
如今,Prestige Polyclonals的抗体数量已经超过17000个,并且每年新增2,000个抗体。
抗体基于人类蛋白质图谱(HPA)项目开发和表征,以Prestige Antibodies和Atlas Antibodies品牌供给科研人员。
单克隆抗体开发
Prestige Antibodies还包括一定数量的小鼠单克隆抗体。单克隆抗体产品目录每年随新产品的推出而不断扩增。
独特的性质
经过特殊处理的克隆仅能识别独特的无重叠表位和/或同种型。利用与多克隆抗体同样严格的PrEST生产工艺和鉴定流程,使单克隆抗体在获批应用中表现出优异的性能,同时具有明确的特异性、有保证的连续性和稳定的供应。一般来说,这些单克隆抗体可进行高倍数稀释并有助于实现更标准的检测流程。
克隆选择
在对选定杂交瘤进行亚克隆和扩增之前,对大量ELISA阳性细胞上清液进行功能鉴定,为每个应用选择最佳克隆。
表位定位
使用合成重叠肽微珠阵列法对克隆进行表位定位,选出仅含无重叠表位的克隆。
表位定位
使用合成重叠肽微珠阵列法对克隆进行表位定位,选出仅含无重叠表位的克隆。
杂交瘤细胞培养
Atlas Antibodies在放大生产阶段使用体外培养方法,因此无需使用小鼠制备腹水。
抗体鉴定
Prestige单克隆抗体的鉴定从广泛的文献检索开始,选出最相关和最具临床意义的组织用于IHC鉴定。通常,IHC应用数据为每个抗体提供一种以上的组织类型。除阳性染色组织外,还会提供阴性对照组织染色以及相关的临床肿瘤组织染色。
Western blot(WB)鉴定包括来自内源性人类细胞或组织蛋白裂解物或重组全长人类蛋白裂解物(可选)的结果。
因此,每个单克隆抗体均附带其特定靶点的最相关的鉴定数据。
所有Prestige Polyclonals的产品编号以“HPA”开头,单克隆抗体以“AMAB”开头。

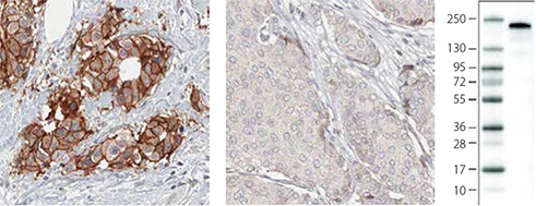
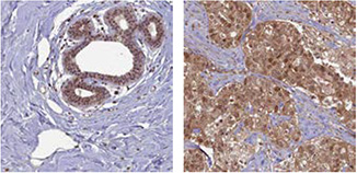
使用HER2抗体(AMAb90627)对人类乳腺肿瘤进行免疫组化染色,结果显示HER2阳性导管癌肿瘤细胞呈强细胞膜阳性(结合中度的细胞质阳性),而HER2阴性导管癌肿瘤细胞无细胞膜阳性。通过Western Blot分析,在乳腺癌细胞SK-BR-3中检测到HER2。
孕激素受体

使用PGR抗体(HPA004751)对正常人类宫体(子宫)组织进行IHC染色,结果显示腺细胞呈强细胞核阳性。在提供的乳腺癌样品中,肿瘤细胞染色结果也显示细胞核阳性。ICC-IF结果显示U-251MG细胞核被染色。
雌激素受体

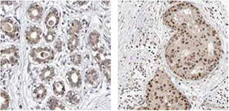
使用ESR1抗体(HPA000449)进行IHC染色,结果显示人乳腺组织中的腺细胞和乳腺癌样品中的肿瘤细胞均呈现明显的细胞核阳性。

使用ESR1抗体(HPA000450)进行IHC染色,结果显示人子宫体组织中的腺细胞和基质细胞以及乳腺癌样品中的肿瘤细胞均呈强细胞核阳性。
Ki67

使用MKI67抗体(HPA000451)进行IHC染色,结果显示人淋巴结反应中心的部分细胞呈强细胞核阳性。在乳腺癌中,肿瘤细胞的ICC-IF染色结果也显示细胞核阳性,人U-2OS细胞染色显示核仁阳性。

使用MKI67抗体(HPA001164)对人扁桃体组织进行IHC染色,结果显示反应中心细胞的细胞核被染色。在乳腺癌的肿瘤细胞中,染色主要发生于细胞核,而U-2OS细胞的ICC-IF染色结果显示核仁呈强阳性。

使用单克隆MKI67抗体(AMAb90870)对人结肠淋巴结进行IHC染色,结果显示反应中心细胞呈强细胞核和核仁免疫反应性。子宫组织染色显示部分腺细胞呈细胞核阳性。

使用BRCA1抗体(HPA034966)进行IHC染色,结果显示正常人乳腺组织中的腺细胞和乳腺癌样品中的肿瘤细胞呈阳性。

使用BRCA2抗体(HPA026815)对正常人乳腺组织进行IHC染色,结果显示腺细胞呈阳性。在乳腺癌样品中,肿瘤细胞呈细胞核染色阳性。
ACAT1

使用ACAT1抗体(HPA004428)对人肝脏组织进行免疫组化染色,结果显示肝细胞呈强细胞质阳性。通过Western Blot分析,在人类细胞RT-4和U251-MG以及肝脏和扁桃体组织裂解物中检测到ACAT1。人类细胞A-431的ICC-IF染色结果显示线粒体呈阳性。
CD44

使用CD44抗体(HPA005785)对人食道组织进行免疫组化染色,结果显示鳞状上皮细胞呈强细胞质和细胞膜阳性。通过Western Blot分析,在人类细胞U-251MG中检测到CD44。人类细胞U-251MG的ICC-IF染色结果显示细胞膜呈阳性。
* 对人类和啮齿动物样本均进行WB分析
参考文献
MammaPrint、Oncotype、EndoPredict和uPA检测中基因产物的抗体
本节介绍了Prestige Antibody产品目录中靶向诊断性MammaPrint、Oncotype、EndoPredict和uPA检测所含基因产物的抗体。MammaPrint是一项基因表达谱测试,基于Agendia 公司推出的Amsterdam 70-基因乳腺癌基因标记检测。该测试可评估乳腺癌向身体其他部位转移的风险。MammaPrint的目标是将患者分为“低风险”和“高风险”类别。Oncotype DX(由Genomic Health开发)是美国临床实践中最常用的基因表达谱分析方法,它能够检测肿瘤中的21个基因并确定复发分数(Recurrence Score)。
BIRC5/Survivin

使用BIRC5抗体(HPA002830)进行IHC染色,结果显示人扁桃体组织中的生发中心细胞和结直肠中的肿瘤细胞呈细胞核阳性。
CD68/Macrosialin

使用CD68抗体(HPA048982)对人肺组织进行IHC染色,结果显示巨噬细胞和造血组织(如脾脏)呈强细胞质阳性。
DTL

使用DTL抗体(HPA028016)对人骨髓进行IHC染色,结果显示骨髓造血细胞呈强细胞核阳性。通过ICC-IF染色,检测到U-251 MG细胞的细胞核被染色。
GSTM5

使用GSTM5抗体(HPA048652)进行IHC染色,结果显示人直肠腺细胞呈细胞质阳性;同时,通过WB分析,在RT-4和U-251 MG细胞裂解物以及肝脏组织裂解物中检测到预期大小的条带。
* 对人类和啮齿动物样本均进行WB分析
MMP9

使用MMP9抗体(HPA001238)对人肺组织进行IHC染色,结果显示骨髓组织中的巨噬细胞和骨髓造血细胞呈强细胞核阳性。


使用MTDH抗体(HPA010932)进行IHC染色,结果显示人大脑皮层组织中的神经元细胞呈强细胞质阳性。对A-431细胞的ICC-IF染色结果显示,内质网被抗体染色。

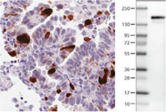
使用单克隆MTDH抗体(AMAb90762)进行IHC染色,结果显示乳腺和结直肠癌样品中的肿瘤细胞呈强细胞质反应性。
P5C脱氢酶/ALDH4A1

使用ALDH4A1抗体(HPA006401)进行IHC染色,结果显示人肾脏和肝脏组织呈强细胞质阳性并具有颗粒性。
* 对人类和啮齿动物样本均进行WB分析
PITRM1/MP1

使用PITRM1抗体(HPA006753)进行IHC染色,结果显示人心肌细胞呈强细胞质阳性。人类细胞U-251 MG的ICC-IF染色结果显示线粒体呈阳性。
PRC1

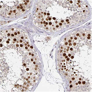
使用PRC1抗体(HPA034521)对人睾丸组织进行IHC染色,结果显示生精小管的细胞呈强细胞核阳性。A-431细胞的ICC-IF染色显示细胞核、细胞膜和微管被染色。
SCOT/OXCT1

使用OXCT1抗体(HPA012047)对人心肌和肾脏进行IHC染色,结果显示心肌细胞和肾小管细胞分别呈强细胞质阳性。A-431细胞的ICC-IF染色显示线粒体被染色。
* 对人类和啮齿动物样本均进行WB分析

采用抗KLHL26抗体(HPA023074)进行IHC分析,结果显示不同病人的乳腺癌样本具有不同的膜或胞浆染色模式。

ACSF2抗体(HPA024693)表明在不同病人的乳腺癌细胞中具有颗粒蛋白胞浆阳性,并呈强至阴性。

抗GCM1抗体(HPA011343)分析在乳腺癌细胞中呈膜阳性但在正常乳腺组织中为阴性。

抗AGR3抗体(HPA053942)表明在11/12例乳腺癌病人中具有强的胞浆阳性而1例病人是完全的阴性。
* 对人类和啮齿动物样本均进行WB分析
乳腺癌
乳腺癌作为第二常见的癌症,是迄今为止女性中最常见的癌症。乳腺癌的发病率正稳步上升,但死亡率并没有相应增加。如果能在早期被检测到,对于生活在发达国家的患者预后相对较好,一般五年生存率约为85%。
乳腺癌及治疗
虽然癌症通常被称为单一疾病,但它确实是一种多维度疾病。多年来,这种理解已经在发生变化,但许多患者并未接受针对其疾病的最佳治疗。对于癌症患者接受更个性化的治疗,仍然需要新的和更好的方法来对患者进行分层。经典的预后因素如肿瘤分期和分级并不足以对患者的预后进行正确的预估。来自癌症生物标志物的其他信息有望对这种预估作出极大的改善,并最终导致更为个性化的治疗,从而避免对患者进行治疗不足和过度治疗。
乳腺癌患者的主要治疗方法是手术,并通常与辅助治疗相结合。然而,辅助治疗与实质性成本相关并有时会伴有严重的副作用,而且医生已经将过度治疗的减少确定为当今乳腺癌治疗中的主要临床需要。因此,将患者分层为不同的预后类别是非常重要的,因为它可以帮助医生为给定患者选择最为合适的治疗方案。
大多数乳腺癌是激素受体反应性的,即表达雌激素受体(ER)或孕酮受体(PR)。带有这些受体表达的肿瘤患者可以接受辅助内分泌治疗,例如他莫昔芬。
乳腺癌也可表达HER2蛋白(人表皮生长因子受体2),表达该蛋白的肿瘤患者可接受曲妥珠单抗的辅助治疗。
辅助治疗也可以包括化学疗法或放射疗法。
RBM3
RNA结合基序蛋白3(RBM3)是一种RNA和DNA结合蛋白,其功能尚未完全阐明。该蛋白质已被证明在亚低温中可作为一种早期事件而实现表达,并也在与细胞应激相关的其他条件下发生表达,例如葡萄糖剥夺和缺氧。在应激条件下,RBM3被认为可通过帮助维持生存所需的蛋白合成来对细胞实现保护1。近期研究还显示RBM3可减弱前列腺癌细胞中的干细胞样特性2。
通过人类蛋白质图谱(HPA),RBM3作为一种潜在的肿瘤学生物标志物可通过作为HPA项目 (proteinatlas.org)的一部分在被调查的几种癌症中因为存在差异表达模式而得以鉴定3,4。
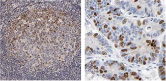
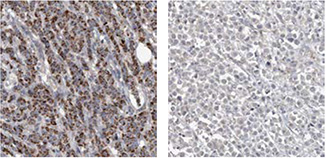
使用抗RBM3抗体HPA003624的IHC分析显示其在正常乳腺组织中的弱表达模式,但在乳腺癌组织中则呈分层模式(图1)。研究人员还进一步研究了其在较大乳腺癌队列中的表达,以及RBM3的表达显示出与延长的生存率相关5。

图 1.使用抗RBM3抗体(HPA003624)的免疫组化分析显示在正常乳腺组织中的弱表达(A)和差异表达,在肿瘤乳腺样品(B,C)中从弱到强的变化。
RBM3作为乳腺癌的预后标志物
在确定RBM3可作为潜在的预后生物标志物后,研究人员进一步研究了较大乳腺癌队列中RBM3蛋白的表达1。在一组500名患有II期浸润性乳腺癌的绝经前女性患者中发现RBM3的表达与小低级别的雌激素受体(ER)阳性肿瘤相关。在分析ER阳性患者的亚组时,RBM3可作为无复发生存(RFS)的独立预测因子。如图2所示,与表达低水平RBM3的肿瘤患者相比,表达高水平RBM3蛋白的肿瘤患者的生存率有所提高。
在来自各种形式癌症的许多不同患者群组中对RBM3蛋白表达进行了进一步的分析。发现RBM3表达水平与乳腺1、结肠2、卵巢3,4、睾丸5、尿路上皮和6前列腺癌以及恶性黑素瘤7患者的生存率存在显着关联。
总结来说,RBM3在乳腺癌以及其他多种癌症中可作为优秀的预后标志物。

图 2.根据ER阳性乳腺癌患者中RBM3的表达而进行的无复发生存(RFS)Kaplan-Meier(生存期)分析。根据高和低的RBM3表达将患者分成两组。
RBM3抗体
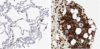
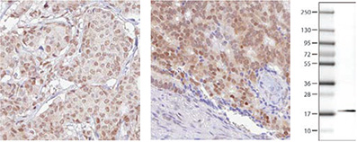
Atlas Antibodies的产品目录中有两种抗RBM3抗体:多克隆抗体HPA003624和PrecisA Monoclonal单克隆抗体AMAb90655。单克隆抗RBM3抗体AMAb90655在人类细胞系的Western Bot分析中显示出优异的特异性,并可常规用于在IHC中对福尔马林固定的石蜡包埋组织进行染色(图3)。

图 3.使用AMAb90655 对乳腺癌(左)和前列腺癌(右)中RBM3表达的免疫组化分析显示肿瘤细胞中的核阳性。WB图像显示使用AMAb90655在人内细胞系RT4裂解物中与预期相符的17 kDa条带。
参考文献
颗粒蛋白
颗粒蛋白是一种从单一前体蛋白质切割下来的分泌糖基化肽家族。信号肽的切割可产生成熟的颗粒蛋白,其可以进一步切割成多种活性肽。这些裂解产物被命名为颗粒蛋白A、颗粒蛋白B、颗粒蛋白C等。肽和完整的颗粒蛋白均可调节细胞的生长。颗粒蛋白家族的不同成员可作为抑制剂、刺激剂或对细胞生长具有双重作用。颗粒蛋白家族成员在正常发育、伤口愈合和肿瘤发生中是重要的[由RefSeq提供, Jul 2008]。
在Elkabets等人的论文中,通过研究将GRN表达的骨髓细胞招募到小鼠中的反应性肿瘤中来研究GRN表达在反应性肿瘤发作中的作用1。某些肿瘤可以促进位于远端解剖部位的其他肿瘤或转移细胞的生长,这被称为肿瘤诱发。在这项研究中,经严格培养的人类乳腺癌细胞被植入到小鼠体内,并显示这些细胞刺激了其他致瘤性较低的惰性转化细胞的生长。GRN被鉴定为诱发骨髓细胞中最为上调的基因。表达GRN的细胞诱导驻留的成纤维细胞表达促进恶性肿瘤进展的基因。也存在关于抗癌疗法是否可能涉及靶向GRN或活化的GRN表达细胞,从而破坏促进癌症进展的这些通信细胞系的推测。
通过使用抗GRN抗体HPA028747分析来自一组乳腺癌患者的肿瘤组织,显示高GRN表达与最具攻击性的三阴性、基底样肿瘤亚型相关并可降低患者生存率(图4)。
参考文献

图 4.使用抗体 HPA028747证明GRN的表达与侵袭性肿瘤亚型相关并可降低乳腺癌患者的存活率。左图显示了每种类别(三阴性[TN] /基底或非基底)具有高GRN阳性率,而右侧的Kaplan-Meier分析则显示GRN阳性(绿色)或GRN阴性(蓝色)表达和生存期之间的相关性。

使用抗GRN抗体(HPA008763)对人胰腺组织进行IHC染色,在外分泌腺细胞中显示出强烈的胞浆阳性。ICC-IF显示A-431细胞中囊泡的阳性。

使用抗GRN抗体HPA028747的IHC分析显示在正常十二指肠组织中腺体细胞的强胞浆阳性和U-251MG细胞中的囊泡阳性。
Anillin
Anillin作为微丝的亚基是一种肌动蛋白结合蛋白,而微丝是细胞骨架成分之一。Anillin在大多数细胞中表达并参与基本的细胞功能,例如运动、分裂和信号转导。对anillin表达的研究表明它在多种人类肿瘤中过表达。
Breast Cancer Anillin在乳腺癌中作为治疗预测性预后生物标志物
使用抗ANLN抗体HPA005680对由467例来自被诊断患有乳腺癌患者样品组成的患者队列进行Anillin表达分析。与表达低水平anillin的肿瘤患者相比,表达高水平anillin的肿瘤患者的无复发生存率(RFS)降低(图5A)。在分析乳腺癌特异性生存期时,可以看到anillin的表达与降低的生存率之间具有相同关联性(BCSS,图5B)。在O'Leary等人的一项研究中,通过Cox回归分析证实了anillin对预后的影响。在单变量和多变量分析中,高anillin表达与BCSS和RFS降低相关,并会根据肿瘤大小和等级、诊断年龄、淋巴结、ER-、PR-、HER2-和Ki67状态发生调整。
总结来说,anillin在乳腺癌中是一种较差的预后标志物

图 5.根据乳腺癌患者的aniliin表达,无复发(A)和乳腺癌特异性存活(B)的Kaplan-Meier(生存)分析。根据高和低的aillin表达将患者分成两组。
参考文献


抗ANLN抗体(HPA005680)通过IHC在人睾丸生精小管细胞中显示出强的细胞核阳性。在ICC-IF中,A-431细胞的细胞核(但不是核仁)染色阳性,而在WB中抗体在RT-4和U-251 MG的细胞裂解物中检测到符合预测大小的条带。

ANLN抗体AMAb90660在肺腺癌的一部分肿瘤细胞中显示出强的核免疫反应性,并且在人类细胞系U-251 MG中具有符合预测大小的条带。

AMAb90662 ANLN抗体在结直肠癌的一部分肿瘤细胞中显示出强的核免疫反应性,并且在人U-251 MG细胞中显示出符合预测大小的条带。
如要继续阅读,请登录或创建帐户。
暂无帐户?